Suppr超能文献

肾激肽作为大鼠氨基酸诱导的高灌注和超滤介导因子的证据。

Evidence for renal kinins as mediators of amino acid-induced hyperperfusion and hyperfiltration in the rat.

作者信息

Jaffa A A, Vio C P, Silva R H, Vavrek R J, Stewart J M, Rust P F, Mayfield R K

机构信息

Department of Medicine, Medical University of South Carolina, Charleston 29425.

出版信息

J Clin Invest. 1992 May;89(5):1460-8. doi: 10.1172/JCI115736.

Abstract

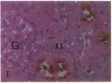
This study examined the role of tissue kallikrein and kinins in renal vasodilation produced by infusion of amino acids (AA). In rats fed a 9% protein diet for 2 wk, intravenous infusion of a 10% AA solution over 60-90 min reduced total renal vascular resistance and increased glomerular filtration rate (GFR) by 25-40% and renal plasma flow (RPF) by 23-30% from baseline. This was associated with a two- to threefold increase in urinary kinin excretion rate. Acute treatment of rats with aprotinin, a kallikrein inhibitor, resulted in deposition of immunoreactive aprotinin in kallikrein-containing connecting tubule cells and inhibited renal kallikrein activity by 90%. A protinin pretreatment abolished the rise in urinary kinins and prevented significant increases in GFR and RPF in response to AA. In a second group of rats pretreated with a B2 kinin receptor antagonist, [DArg Hyp3, Thi5,8 D Phe7]bradykinin, AA infusion raised urinary kinins identically as in untreated controls, but GFR and RPF responses were absent. Aprotinin or the kinin antagonist produced no consistent change in renal function in rats that were not infused with AA.AA-induced increases in kinins were not associated with an increase in renal kallikrein activity. Notably, tissue active kallikrein level fell 50% in AA-infused rats. These studies provide evidence that kinins generated in the kidney participate in mediating renal vasodilation during acute infusion of AA.

摘要

本研究探讨了组织激肽释放酶和激肽在输注氨基酸(AA)所引起的肾血管舒张中的作用。给大鼠喂食9%蛋白质饮食2周后,在60 - 90分钟内静脉输注10%的AA溶液,可使总肾血管阻力降低,肾小球滤过率(GFR)较基线水平增加25 - 40%,肾血浆流量(RPF)增加23 - 30%。这与尿激肽排泄率增加两到三倍有关。用激肽释放酶抑制剂抑肽酶对大鼠进行急性处理,导致免疫反应性抑肽酶沉积在含激肽释放酶的连接小管细胞中,并使肾激肽释放酶活性抑制90%。抑肽酶预处理消除了尿激肽的升高,并阻止了GFR和RPF因AA而显著增加。在第二组用B2激肽受体拮抗剂[DArg Hyp3, Thi5,8 D Phe7]缓激肽预处理的大鼠中,输注AA使尿激肽升高的情况与未处理的对照组相同,但GFR和RPF无反应。在未输注AA的大鼠中,抑肽酶或激肽拮抗剂对肾功能没有产生一致的变化。AA诱导的激肽增加与肾激肽释放酶活性增加无关。值得注意的是,在输注AA的大鼠中,组织活性激肽释放酶水平下降了50%。这些研究提供了证据,表明肾脏中产生的激肽在急性输注AA期间参与介导肾血管舒张。

https://cdn.ncbi.nlm.nih.gov/pmc/blobs/9dc3/443016/3d77eca97645/jcinvest00049-0106-a.jpg

文献检索

告别复杂PubMed语法,用中文像聊天一样搜索,搜遍4000万医学文献。AI智能推荐,让科研检索更轻松。

立即免费搜索

文件翻译

保留排版,准确专业,支持PDF/Word/PPT等文件格式,支持 12+语言互译。

免费翻译文档

深度研究

AI帮你快速写综述,25分钟生成高质量综述,智能提取关键信息,辅助科研写作。

立即免费体验