Suppr超能文献

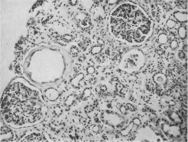
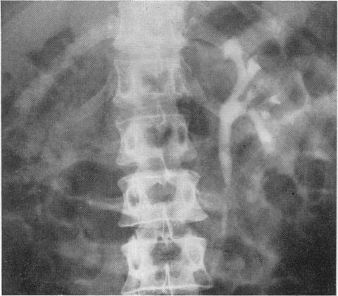
The diagnosis and treatment of renal-artery stenosis.

作者信息

BROWN J J, PEART W S, OWEN K, ROBERTSON J I, SUTTON D

出版信息

Br Med J. 1960 Jul 30;2(5195):327-38. doi: 10.1136/bmj.2.5195.327.

Abstract
摘要
https://cdn.ncbi.nlm.nih.gov/pmc/blobs/5f2b/2097523/9866992fb37c/brmedj03035-0023-a.jpg

文献AI研究员

20分钟写一篇综述,助力文献阅读效率提升50倍。

立即体验

用中文搜PubMed

大模型驱动的PubMed中文搜索引擎

马上搜索

文档翻译

学术文献翻译模型,支持多种主流文档格式。

立即体验