Suppr超能文献

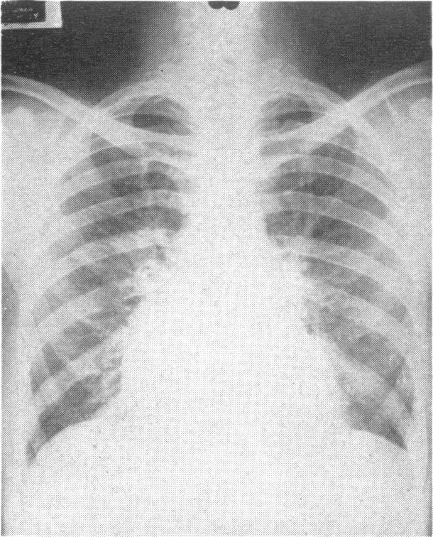
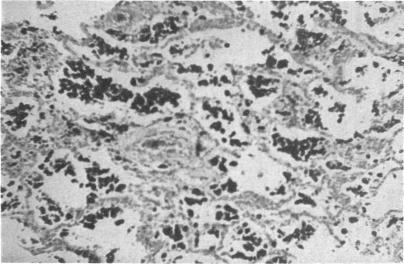
Association of cardiac pulmonary haemosiderosis and fibrosis.

作者信息

ELLMAN P, OLIVER R A

出版信息

Br Med J. 1959 Nov 14;2(5158):988-90. doi: 10.1136/bmj.2.5158.988.

Abstract
摘要
https://cdn.ncbi.nlm.nih.gov/pmc/blobs/0af4/1990695/e7aad5a1e7f1/brmedj02945-0041-a.jpg

文献AI研究员

20分钟写一篇综述,助力文献阅读效率提升50倍。

立即体验

用中文搜PubMed

大模型驱动的PubMed中文搜索引擎

马上搜索

文档翻译

学术文献翻译模型,支持多种主流文档格式。

立即体验