Suppr超能文献

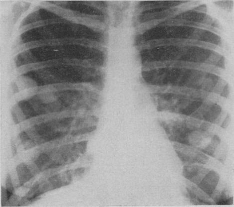
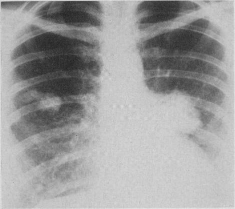
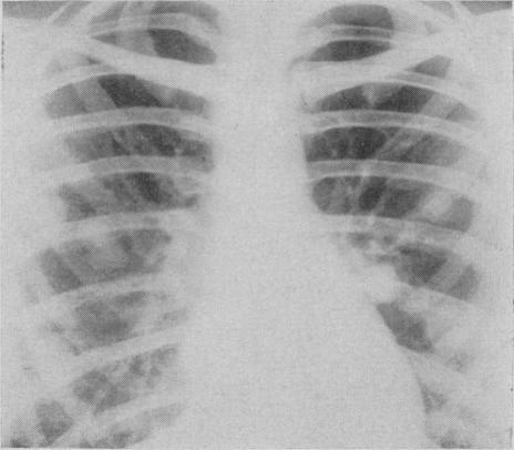
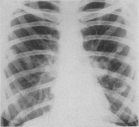
Pulmonary histoplasmosis.

作者信息

WALKER W J, JANES E C

出版信息

Can Med Assoc J. 1959 Sep 15;81(6):486-8.

Abstract
摘要
https://cdn.ncbi.nlm.nih.gov/pmc/blobs/fcb2/1831226/ccae1425ed8e/canmedaj00813-0044-a.jpg

相似文献

1
Pulmonary histoplasmosis.
Can Med Assoc J. 1959 Sep 15;81(6):486-8.
2
[3 cases of pulmonary histoplasmosis].
J Fr Med Chir Thorac. 1961 Apr-May;15:469-76.
3
Pulmonary histoplasmosis; a report of two cases.
Calif Med. 1957 Jan;86(1):47-50.
5
A report of 12 selected cases of pulmonary histoplasmosis.
Thorax. 1960 Sep;15(3):204-11. doi: 10.1136/thx.15.3.204.
6
Pulmonary histoplasmosis, importance of diagnostic methods, with report of an early case.
J Am Med Assoc. 1960 Jun 25;173:902-4. doi: 10.1001/jama.1960.73020260007009c.
7
Calcified pulmonary histoplasmosis.
Tubercle. 1961 Jun;42:241-4. doi: 10.1016/s0041-3879(61)80101-3.
8
Pulmonary aspergillosis with cavitation secondary to histoplasmosis.
Am Rev Respir Dis. 1960 Jul;82:101-11. doi: 10.1164/arrd.1960.82.1.101.
9
Enlarging pulmonary histoplasmoma.
Am Rev Respir Dis. 1960 Nov;82:721-6. doi: 10.1164/arrd.1960.82.5.721.
10
Acute pulmonary histoplasmosis.
South Med J. 1959 Aug;52(8):912-9. doi: 10.1097/00007611-195908000-00006.

引用本文的文献

1
OCULAR HISTOPLASMOSIS.
Can Med Assoc J. 1963 Dec 21;89(25):1270-3.

本文引用的文献

1
Pathologic findings in benign pulmonary histoplasmosis: preliminary report. II.
Dis Chest. 1958 Sep;34(3):257-73. doi: 10.1378/chest.34.3.257.
2
The disease spectrum of human histoplasmosis.
Ann Intern Med. 1958 Sep;49(3):544-55. doi: 10.7326/0003-4819-49-3-544.
3
Experiences with the therapy of sixty cases of deep mycotic infections.
Dis Chest. 1957 Dec;32(6):597-614. doi: 10.1378/chest.32.6.597.
4
Histoplasmosis in southwestern Ontario.
Can Med Assoc J. 1957 Nov 1;77(9):855-61.
5
Histoplasmosis; some clinical, epidemiological and laboratory aspects.
Med Clin North Am. 1955;12:171-99. doi: 10.1016/s0025-7125(16)34770-8.

文献AI研究员

20分钟写一篇综述,助力文献阅读效率提升50倍。

立即体验

用中文搜PubMed

大模型驱动的PubMed中文搜索引擎

马上搜索

文档翻译

学术文献翻译模型,支持多种主流文档格式。

立即体验