Suppr超能文献

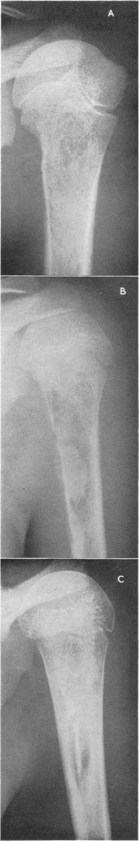
Place of surgery in early stages of acute osteomyelitis.

作者信息

HARRIS N H

出版信息

Br Med J. 1962 May 26;1(5290):1440-4. doi: 10.1136/bmj.1.5290.1440.

Abstract
摘要
https://cdn.ncbi.nlm.nih.gov/pmc/blobs/aa07/1958595/592c811252bc/brmedj02869-0035-a.jpg

文献AI研究员

20分钟写一篇综述,助力文献阅读效率提升50倍。

立即体验

用中文搜PubMed

大模型驱动的PubMed中文搜索引擎

马上搜索

文档翻译

学术文献翻译模型,支持多种主流文档格式。

立即体验