Suppr超能文献

关于传染性红斑细胞学诊断的观察

Observations on the cytological diagnosis of an infectious erythema.

作者信息

MUSETEANU C, VISINESCU D

出版信息

J Clin Pathol. 1963 May;16(3):256-8. doi: 10.1136/jcp.16.3.256.

Abstract

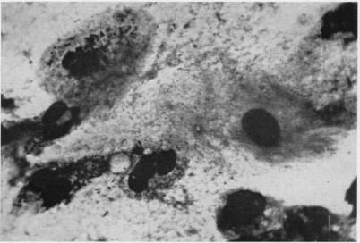
The clinical features of an infectious erythema which affected children and young people are described. Other writers have described the same disease and have suggested a viral origin. A cytological method is described which may establish the diagnosis, and the cytological appearances might also be useful in differentiating between erythema and measles.

摘要

本文描述了一种影响儿童和年轻人的感染性红斑的临床特征。其他作者也描述过相同的疾病,并提出其起源于病毒。文中介绍了一种可用于确诊的细胞学方法,其细胞学表现或许也有助于鉴别红斑和麻疹。

https://cdn.ncbi.nlm.nih.gov/pmc/blobs/7be7/480554/f089c209b0c8/jclinpath00074-0069-a.jpg

相似文献

1
Observations on the cytological diagnosis of an infectious erythema.
J Clin Pathol. 1963 May;16(3):256-8. doi: 10.1136/jcp.16.3.256.
2
[Childhood postinfectious erythema multiforme].
Arch Pediatr. 2016 Nov;23(11):1184-1190. doi: 10.1016/j.arcped.2016.08.004. Epub 2016 Sep 20.
4
Erythema multiforme due to Mycoplasma pneumoniae infection in two children.
Pediatr Dermatol. 2006 Nov-Dec;23(6):546-55. doi: 10.1111/j.1525-1470.2006.00307.x.
6
[OUR RESEARCH ON THE VIRAL ORIGIN OF POLYMORPHOUS ERYTHEMAS].
G Ital Dermatol. 1964 May-Jun;105:231-42.
7
[Erythema multiforme: what is your diagnosis? Measles].
Med Mal Infect. 2013 Jul;43(7):271; 302-3. doi: 10.1016/j.medmal.2013.06.010. Epub 2013 Jul 31.
8
Erythema multiforme after orf virus infection.
Pediatr Dermatol. 2018 Jul;35(4):e237-e238. doi: 10.1111/pde.13526. Epub 2018 May 15.

本文引用的文献

1
[Studies on the etiology of exanthema infectiosum variabile].
Dtsch Med Wochenschr. 1960 Mar 4;85:388-93. doi: 10.1055/s-0028-1112446.
2
A rapid cytological method for the diagnosis of measles.
J Clin Pathol. 1959 Jul;12(4):335-7. doi: 10.1136/jcp.12.4.335.
4
A clinical study of an exanthem due to ECHO virus type 9.
J Pediatr. 1959 Apr;54(4):459-67. doi: 10.1016/s0022-3476(59)80104-9.
6
An outbreak of aseptic meningitis with a rubella-like rash probably caused by ECHO virus type 4.
Arch Gesamte Virusforsch. 1958;8(3):306-17. doi: 10.1007/BF01243745.
7
An outbreak of aseptic meningitis with a rubella-like rash probably caused by ECHO virus type 9.
Arch Gesamte Virusforsch. 1958;8(3):294-305. doi: 10.1007/BF01243744.
8
[Erythema infectiosum].
Klin Wochenschr. 1958 Jan 15;36(2):49-55. doi: 10.1007/BF01486242.

文献AI研究员

20分钟写一篇综述,助力文献阅读效率提升50倍。

立即体验

用中文搜PubMed

大模型驱动的PubMed中文搜索引擎

马上搜索

文档翻译

学术文献翻译模型,支持多种主流文档格式。

立即体验