Suppr超能文献

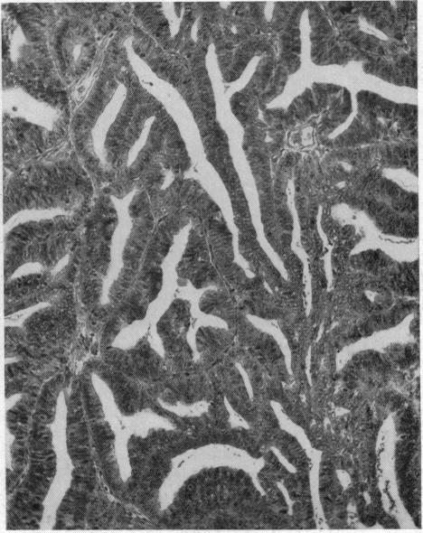
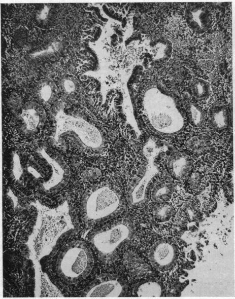
CARCINOMA OF THE ENDOMETRIUM.

作者信息

MORTON D G

出版信息

Calif Med. 1963 Oct;99(4):252-7.

Abstract
摘要
https://cdn.ncbi.nlm.nih.gov/pmc/blobs/3add/1515097/db00475432ad/califmed00088-0032-a.jpg

文献AI研究员

20分钟写一篇综述,助力文献阅读效率提升50倍。

立即体验

用中文搜PubMed

大模型驱动的PubMed中文搜索引擎

马上搜索

文档翻译

学术文献翻译模型,支持多种主流文档格式。

立即体验