Suppr超能文献

新生儿播散性单纯疱疹

DISSEMINATED HERPES SIMPLEX IN NEWBORN INFANTS.

作者信息

BIRD T, ENNIS J E, WORT A J, GARDNER P S

出版信息

J Clin Pathol. 1963 Sep;16(5):423-31. doi: 10.1136/jcp.16.5.423.

Abstract

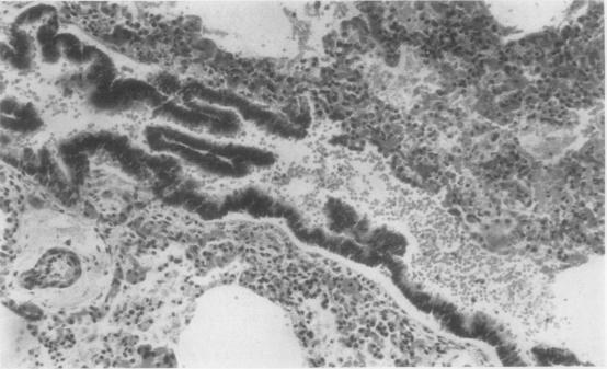
Six cases of disseminated herpes simplex virus infection in newborn infants have been collected. The morbid anatomical and histological findings are described for the various tissues of the body. For the first time, the typical lesions were found in the lung. This and the other findings are discussed from the aetiological point of view.

摘要

收集了6例新生儿播散性单纯疱疹病毒感染病例。描述了身体各组织的病理解剖和组织学发现。首次在肺中发现典型病变。从病因学角度对这一发现及其他发现进行了讨论。

https://cdn.ncbi.nlm.nih.gov/pmc/blobs/c28a/480602/2b96034478e9/jclinpath00076-0030-a.jpg

相似文献

1
DISSEMINATED HERPES SIMPLEX IN NEWBORN INFANTS.
J Clin Pathol. 1963 Sep;16(5):423-31. doi: 10.1136/jcp.16.5.423.
4
PRIMARY DISSEMINATED HERPES SIMPLEX OF THE NEWBORN.
JAMA. 1965 Feb 8;191:455-60. doi: 10.1001/jama.1965.03080060029005.
5
Herpes simplex virus infections in preterm infants.
Pediatrics. 2006 Dec;118(6):e1612-20. doi: 10.1542/peds.2005-1228.
7
Herpes simplex type II infection in monozygotic twins.
Am J Perinatol. 1995 Mar;12(2):75-7. doi: 10.1055/s-2007-994406.
10
Maternal oral herpes: isolation policy.
Pediatrics. 1979 Feb;63(2):247-9.

引用本文的文献

1
PROGRESSIVE MULTIFOCAL LEUCOENCEPHALOPATHY.
J Neurol Neurosurg Psychiatry. 1965 Jun;28(3):260-71. doi: 10.1136/jnnp.28.3.260.
4
Occupational hazards in hospitals: risk of infection.
Br J Ind Med. 1987 Jul;44(7):435-42. doi: 10.1136/oem.44.7.435.

本文引用的文献

文献AI研究员

20分钟写一篇综述,助力文献阅读效率提升50倍。

立即体验

用中文搜PubMed

大模型驱动的PubMed中文搜索引擎

马上搜索

文档翻译

学术文献翻译模型,支持多种主流文档格式。

立即体验