Suppr超能文献

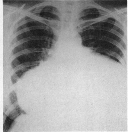
MASSIVE PERICARDIAL EFFUSION WITH CHOLESTEROL CRYSTALS TREATED BY PERICARDECTOMY.

作者信息

GRIFFIN S G, SWAN W G

出版信息

Br Heart J. 1963 Nov;25(6):825-8. doi: 10.1136/hrt.25.6.825.

Abstract
摘要
https://cdn.ncbi.nlm.nih.gov/pmc/blobs/542a/1018072/9831d3678d92/brheartj00353-0130-a.jpg

文献AI研究员

20分钟写一篇综述,助力文献阅读效率提升50倍。

立即体验

用中文搜PubMed

大模型驱动的PubMed中文搜索引擎

马上搜索

文档翻译

学术文献翻译模型,支持多种主流文档格式。

立即体验