Suppr超能文献

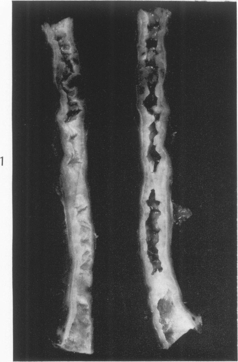
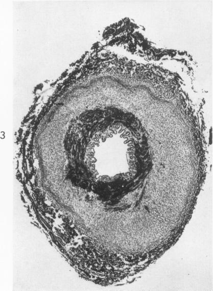
FIBROMUSCULAR HYPERPLASIA OF RENAL ARTERIES IN HYPERTENSION.

作者信息

WELLINGTON J S

出版信息

Am J Pathol. 1963 Dec;43(6):955-67.

Abstract
摘要
https://cdn.ncbi.nlm.nih.gov/pmc/blobs/8555/1949776/ab6cca205c58/amjpathol00313-0051-a.jpg

文献AI研究员

20分钟写一篇综述,助力文献阅读效率提升50倍。

立即体验

用中文搜PubMed

大模型驱动的PubMed中文搜索引擎

马上搜索

文档翻译

学术文献翻译模型,支持多种主流文档格式。

立即体验