POWELL A H, BETTEZ P H
Can Med Assoc J. 1964 Jan 4;90(1):5-9.
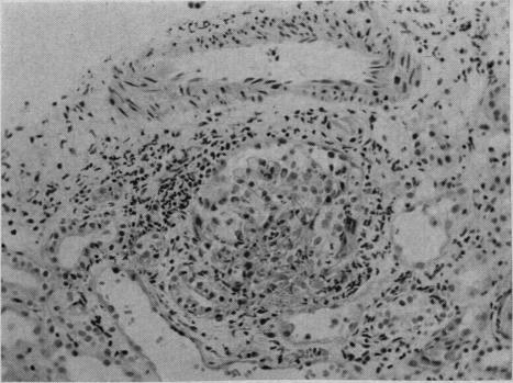
Three cases of Goodpasture's syndrome (pulmonary hemosiderosis and glomerulonephritis) are described. Each presented with unexplained hemoptysis and subsequently developed glomerulonephritis which caused uremia. These cases include the youngest and the oldest individuals yet reported with the condition. Steroid therapy was administered to one patient but apparently did not influence the course of the disease. The variations in the clinical course and the pathology of the disease are discussed.