Suppr超能文献

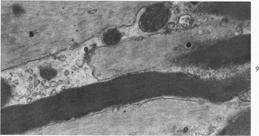
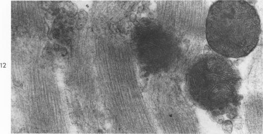
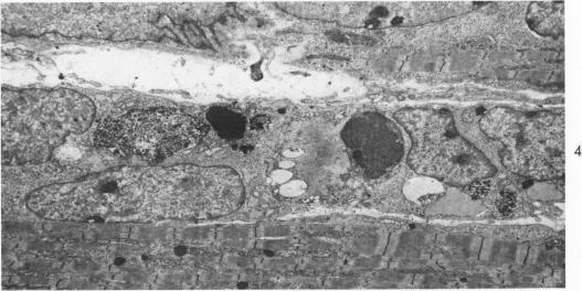
HISTOLOGIC ALTERATIONS IN PRECLINICAL MOUSE MUSCULAR DYSTROPHY.

作者信息

PLATZER A C, CHASE W H

出版信息

Am J Pathol. 1964 Jun;44(6):931-46.

Abstract
摘要
https://cdn.ncbi.nlm.nih.gov/pmc/blobs/db23/1907134/130d6fd832ac/amjpathol00307-0077-a.jpg

文献AI研究员

20分钟写一篇综述,助力文献阅读效率提升50倍。

立即体验

用中文搜PubMed

大模型驱动的PubMed中文搜索引擎

马上搜索

文档翻译

学术文献翻译模型,支持多种主流文档格式。

立即体验