Suppr超能文献

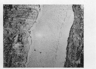
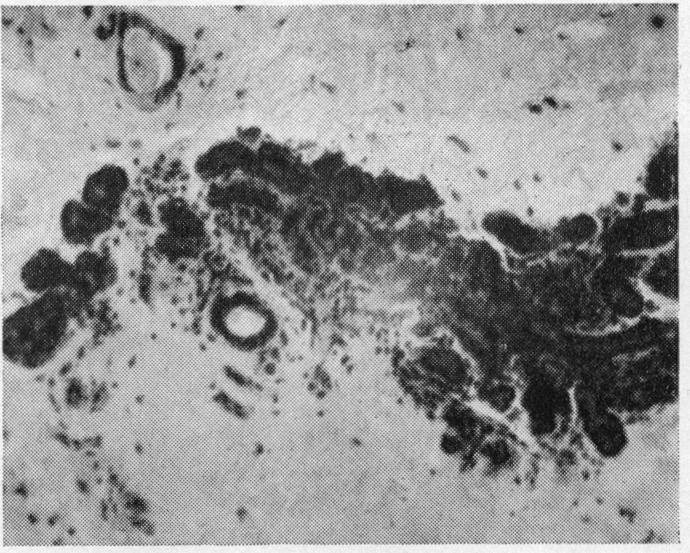
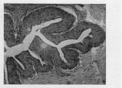
CYST OF DUCT OF KRAUSE'S GLAND.

作者信息

MORTADA A

出版信息

Br J Ophthalmol. 1963 Jun;47(6):375-9. doi: 10.1136/bjo.47.6.375.

Abstract
摘要
https://cdn.ncbi.nlm.nih.gov/pmc/blobs/4c12/505821/e66b89954107/brjopthal00402-0055-a.jpg

相似文献

1
CYST OF DUCT OF KRAUSE'S GLAND.
Br J Ophthalmol. 1963 Jun;47(6):375-9. doi: 10.1136/bjo.47.6.375.
2
LIDS, LACRIMAL APPARATUS, AND CONJUNCTIVA.
Arch Ophthalmol. 1965 Jan;73:131-41. doi: 10.1001/archopht.1965.00970030133028.
3
Congenital cyst of Krause's gland.
Can J Ophthalmol. 1989 Apr;24(3):123-4.
4
[Observations on a case of cyst of Krause's gland].
Pol Tyg Lek (Wars). 1958 Mar 24;13(12):442-4.
5
OCULOSPORIDIOSIS: RHINOSPORIDIOSIS OF THE EYE.
Br J Ophthalmol. 1963 Jun;47(6):346-9. doi: 10.1136/bjo.47.6.346.
7
[Epithelioma of the Krause glands].
Arch Ophtalmol Rev Gen Ophtalmol. 1946;6(2):190.
8
CONJUNCTIVO-DACRYOCYSTO-RHINOSTOMY.
Trans Pac Coast Otoophthalmol Soc Annu Meet. 1964;45:281-304.
9
Accessory lacrimal gland duct cyst: 23 years of experience in the Saudi population.
Ann Saudi Med. 2015 Sep-Oct;35(5):394-9. doi: 10.5144/0256-4947.2015.394.
10
[HUGE WATER CYST OF THE CONJUNCTIVA].
Bull Soc Belge Ophtalmol. 1963;134:332-8.

引用本文的文献

1
Ductal cysts of the accessory lacrimal glands: CT findings.
AJNR Am J Neuroradiol. 1999 Jun-Jul;20(6):1140-2.

本文引用的文献

1
A RETENTION CYST OF UNUSUAL SIZE, PROBABLY OF KRAUSE'S GLAND, SIMULATING ANGIOMA OF THE ORBIT.
Br J Ophthalmol. 1936 Nov;20(11):621-4. doi: 10.1136/bjo.20.11.621.

文献AI研究员

20分钟写一篇综述,助力文献阅读效率提升50倍。

立即体验

用中文搜PubMed

大模型驱动的PubMed中文搜索引擎

马上搜索

文档翻译

学术文献翻译模型,支持多种主流文档格式。

立即体验