Suppr超能文献

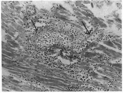
ACUTE FULMINATING PUERPERAL MYOCARDITIS.

作者信息

FARUQUE A A

出版信息

Br Heart J. 1965 Jan;27(1):139-43. doi: 10.1136/hrt.27.1.139.

Abstract
摘要
https://cdn.ncbi.nlm.nih.gov/pmc/blobs/af56/490146/9fc89c36a3d4/brheartj00336-0145-a.jpg

文献AI研究员

20分钟写一篇综述,助力文献阅读效率提升50倍。

立即体验

用中文搜PubMed

大模型驱动的PubMed中文搜索引擎

马上搜索

文档翻译

学术文献翻译模型,支持多种主流文档格式。

立即体验