Suppr超能文献

PERIPHERAL NEUROPATHY IN RHEUMATOID ARTHRITIS.

作者信息

PALLIS C A, SCOTT J T

出版信息

Br Med J. 1965 May 1;1(5443):1141-7. doi: 10.1136/bmj.1.5443.1141.

Abstract
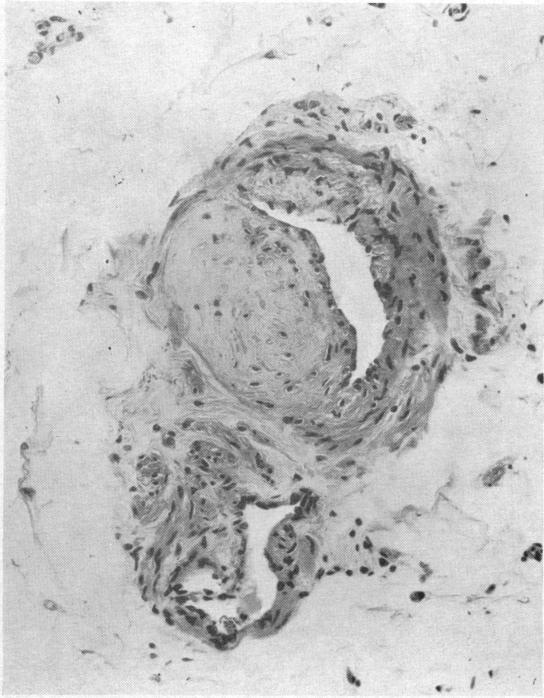
摘要
https://cdn.ncbi.nlm.nih.gov/pmc/blobs/78da/2166472/7dfdaa5868af/brmedj02392-0030-a.jpg

相似文献

1
PERIPHERAL NEUROPATHY IN RHEUMATOID ARTHRITIS.
Br Med J. 1965 May 1;1(5443):1141-7. doi: 10.1136/bmj.1.5443.1141.
4
STUDIES ON MOTOR NERVE CONDUCTION IN RHEUMATOID ARTHRITIS.
Acta Rheumatol Scand. 1964;10:99-108. doi: 10.3109/rhe1.1964.10.issue-1-4.10.
5
Some clinical aspects of peripheral nerve lesions.
Eur Neurol. 1969;2(5):257-68. doi: 10.1159/000113802.
6
Brachial neuropathy after hemodialysis shunt placement under axillary blockade.
Anesth Analg. 1999 Oct;89(4):1025-6. doi: 10.1097/00000539-199910000-00037.
7
RHEUMATOID ARTHRITIS WITH ARTERITIS; REPORT OF A CASE TREATED WITH PENICILLAMINE.
Ann Intern Med. 1964 Sep;61:556-63. doi: 10.7326/0003-4819-61-3-556.
8
MONONEUROPATHIES IN WHITE COLLAR WORKERS.
J Occup Med. 1963 Nov;5:520-7.
9
[Reconstructive surgery in irreparable paralyses of peripheral nerves].
Langenbecks Arch Chir. 1972;332:363-8. doi: 10.1007/BF01282654.
10

引用本文的文献

1
Posterior Interosseous Nerve Palsy in Rheumatoid Arthritis: A Systematic Review.
Hand (N Y). 2024 Jun 22:15589447241260766. doi: 10.1177/15589447241260766.
2
The Neuropathies of Rheumatoid Arthritis.
J R Coll Physicians Lond. 1966 Oct;1(1):19-28.
3
Diagnostic capability of retinal thickness measures in diabetic peripheral neuropathy.
J Optom. 2017 Oct-Dec;10(4):215-225. doi: 10.1016/j.optom.2016.05.003. Epub 2016 Jul 14.
4
Beyond the joints: neurological involvement in rheumatoid arthritis.
Clin Rheumatol. 2012 Jan;31(1):1-12. doi: 10.1007/s10067-011-1841-z. Epub 2011 Sep 20.
5
A clinical, electrophysiological, and pathological study of neuropathy in rheumatoid arthritis.
Clin Rheumatol. 2008 Jul;27(7):841-4. doi: 10.1007/s10067-007-0804-x. Epub 2007 Dec 15.
6
Neurology of the vasculitides and connective tissue diseases.
J Neurol Neurosurg Psychiatry. 1998 Jul;65(1):10-22. doi: 10.1136/jnnp.65.1.10.
7
Bilateral fast MR imaging of the rheumatoid wrist.
Clin Rheumatol. 1996 Jan;15(1):42-6. doi: 10.1007/BF02231683.
8
Neurological involvement in legionellosis.
J Neurol Neurosurg Psychiatry. 1982 Jul;45(7):603-8. doi: 10.1136/jnnp.45.7.603.
9
Rheumatoid cervical myelopathy.
Br Med J (Clin Res Ed). 1982 Jun 12;284(6331):1731-2. doi: 10.1136/bmj.284.6331.1731.
10
Rheumatoid vasculitis: diagnostic and therapeutic decisions.
Clin Rheumatol. 1983 Dec;2(4):321-30. doi: 10.1007/BF02041550.

本文引用的文献

1
Rheumatoid neuropathy.
Br Med J. 1960 May 28;1(5186):1594-600. doi: 10.1136/bmj.1.5186.1594.
2
Growth changes in the myelin sheath of peripheral nerve fibres in fishes.
Proc R Soc Lond B Biol Sci. 1955 Mar 15;143(912):380-91. doi: 10.1098/rspb.1955.0018.
3
MUSCULAR CHANGES IN RHEUMATOID ARTHRITIS.
Ann Rheum Dis. 1963 Sep;22(5):342-7. doi: 10.1136/ard.22.5.342.
5
Digital arteries in rheumatoid disease.
Ann Rheum Dis. 1961 Sep;20(3):224-34. doi: 10.1136/ard.20.3.224.
6
Neuropathy in rheumatoid disease.
Br Med J. 1960 May 28;1(5186):1600-3. doi: 10.1136/bmj.1.5186.1600.
7
Discussion on neuropathies in rheumatic disease and steroid therapy.
Proc R Soc Med. 1960 Jan;53(1):49-53. doi: 10.1177/003591576005300114.
8
Peripheral neuropathy in rheumatoid arthritis.
Bull Rheum Dis. 1961 May;11:251-4.
9
Steroid therapy and vascular lesions in rheumatoid arthritis.
Arthritis Rheum. 1959 Jun;2(3):224-9. doi: 10.1002/1529-0131(195906)2:3<224::aid-art1780020305>3.0.co;2-i.
10
DIAGNOSTIC criteria for rheumatoid arthritis: 1958 revision by a committee of the American Rheumatism Association.
Ann Rheum Dis. 1959 Mar;18(1):49-51; French transl 51-2; Spanish transl 52-3.

文献AI研究员

20分钟写一篇综述,助力文献阅读效率提升50倍。

立即体验

用中文搜PubMed

大模型驱动的PubMed中文搜索引擎

马上搜索

文档翻译

学术文献翻译模型,支持多种主流文档格式。

立即体验