Suppr超能文献

U3长末端重复序列介导的鼠逆转录病毒诱导细胞内免疫:逆转录病毒潜伏的新模型

U3 long terminal repeat-mediated induction of intracellular immunity by a murine retrovirus: a novel model of latency for retroviruses.

作者信息

Gorska-Flipot I, Huang M, Cantin M, Rassart E, Massé G, Jolicoeur P

机构信息

Laboratory of Molecular Biology, Clinical Research Institute of Montréal, Québec, Canada.

出版信息

J Virol. 1992 Dec;66(12):7201-10. doi: 10.1128/JVI.66.12.7201-7210.1992.

Abstract

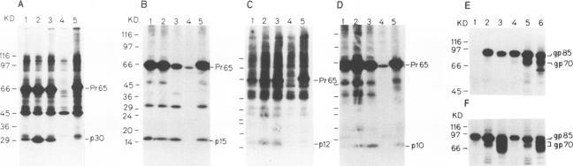
BL/VL3 radiation leukemia virus (RadLV) is a thymotropic, highly leukemogenic murine leukemia virus (MuLV) which is unable to replicate in vitro in mouse fibroblasts. We have previously reported that the U3 long terminal repeat region of its genome is responsible for this block (E. Rassart, Y. Paquette, and P. Jolicoeur, J. Virol. 62:3840-3848, 1988). By using hybrids of permissive and resistant cells infected with BL/VL3 RadLV or fibrotropic MuLV, we found that the resistant phenotype was dominant. Investigation to determine at which step of the virus cycle the block operates revealed that integration, transcription, and translation of the BL/VL3 viral genome occurred at normal levels in nonpermissive cells. The BL/VL3 RadLV Pr65gag proteins made in nonpermissive cells were also myristylated and located at the membrane, and the levels of their cleaved products were similar to those of fibrotropic MuLV. However, processing of BL/VL3 RadLV Pr85env was impaired in nonpermissive cells. Virions were not released into the culture medium of nonpermissive cells, as measured by reverse transcriptase activity and by content in p30 or gp70 protein and as documented by lower levels of budding particles seen by electron microscopy. These results indicate that BL/VL3 RadLV replication is blocked at a late stage of the virus cycle, i.e., at virion assembly. Interestingly, these BL/VL3 RadLV-infected nonpermissive fibroblasts were resistant to superinfection by fibrotropic Moloney MuLV, and this resistance also occurred at a late step of the Moloney virus cycle. Since this block is dominant, it appears that the U3 long terminal repeat region of the BL/VL3 viral genome has the ability to induce a cellular suppressor factor(s), thus bringing intracellular immunity against itself and against other ecotropic MuLVs.

摘要

BL/VL3辐射白血病病毒(RadLV)是一种嗜胸腺、高度致白血病的鼠白血病病毒(MuLV),无法在小鼠成纤维细胞中进行体外复制。我们之前报道过,其基因组的U3长末端重复区域导致了这种复制阻断(E. Rassart、Y. Paquette和P. Jolicoeur,《病毒学杂志》62:3840 - 3848,1988年)。通过使用感染了BL/VL3 RadLV或嗜纤维MuLV的允许性细胞和抗性细胞的杂交细胞,我们发现抗性表型是显性的。为确定阻断作用发生在病毒周期的哪个步骤而进行的研究表明,BL/VL3病毒基因组的整合、转录和翻译在非允许性细胞中以正常水平发生。在非允许性细胞中产生的BL/VL3 RadLV Pr65gag蛋白也进行了肉豆蔻酰化并定位于细胞膜,其裂解产物的水平与嗜纤维MuLV的相似。然而,BL/VL3 RadLV Pr85env的加工在非允许性细胞中受损。通过逆转录酶活性以及p30或gp70蛋白含量测定,并且通过电子显微镜观察到的出芽颗粒水平较低证明,病毒粒子未释放到非允许性细胞的培养基中。这些结果表明,BL/VL3 RadLV复制在病毒周期的后期即病毒粒子组装阶段被阻断。有趣的是,这些感染了BL/VL3 RadLV的非允许性成纤维细胞对嗜纤维莫洛尼MuLV的超感染具有抗性,并且这种抗性也发生在莫洛尼病毒周期的后期。由于这种阻断是显性的,似乎BL/VL3病毒基因组的U3长末端重复区域有能力诱导一种细胞抑制因子,从而产生针对自身和其他亲嗜性MuLV的细胞内免疫。

https://cdn.ncbi.nlm.nih.gov/pmc/blobs/528c/240418/ca8d40952bae/jvirol00043-0379-a.jpg

文献AI研究员

20分钟写一篇综述,助力文献阅读效率提升50倍。

立即体验

用中文搜PubMed

大模型驱动的PubMed中文搜索引擎

马上搜索

文档翻译

学术文献翻译模型,支持多种主流文档格式。

立即体验