Suppr超能文献

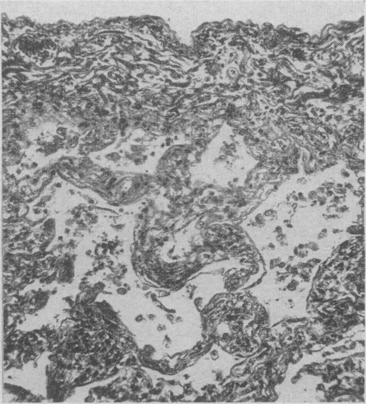
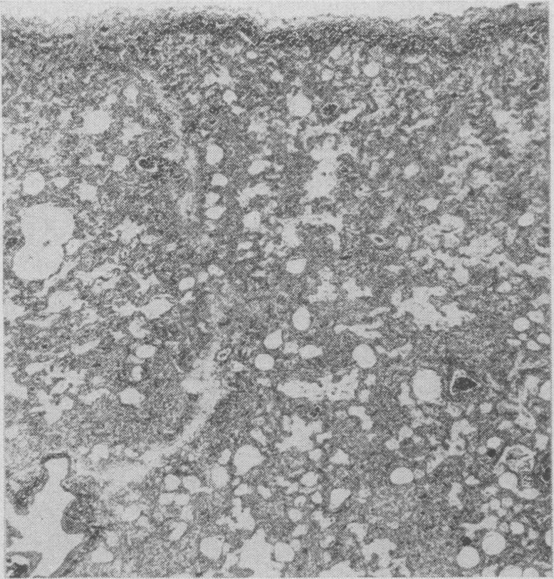
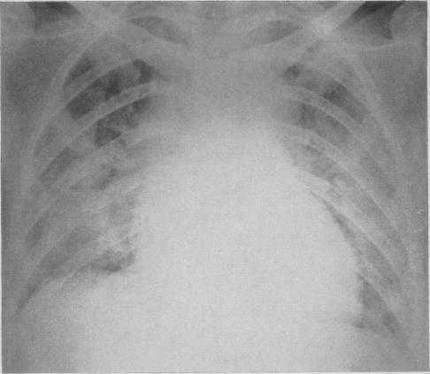
Pulmonary complications during treatment with hexamethonium.

作者信息

ROBILLARD R, RIOPELLE J L, ADAMKIEWICZ L, TREMBLAY G, GENEST J

出版信息

Can Med Assoc J. 1955 Mar 15;72(6):448-51.

Abstract
摘要
https://cdn.ncbi.nlm.nih.gov/pmc/blobs/7593/1825466/431dbf026b8a/canmedaj00705-0037-a.jpg

文献AI研究员

20分钟写一篇综述,助力文献阅读效率提升50倍。

立即体验

用中文搜PubMed

大模型驱动的PubMed中文搜索引擎

马上搜索

文档翻译

学术文献翻译模型,支持多种主流文档格式。

立即体验