Suppr超能文献

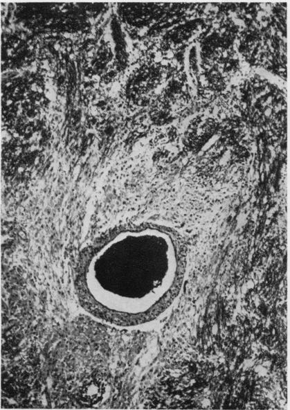
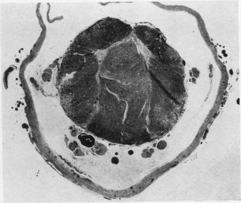
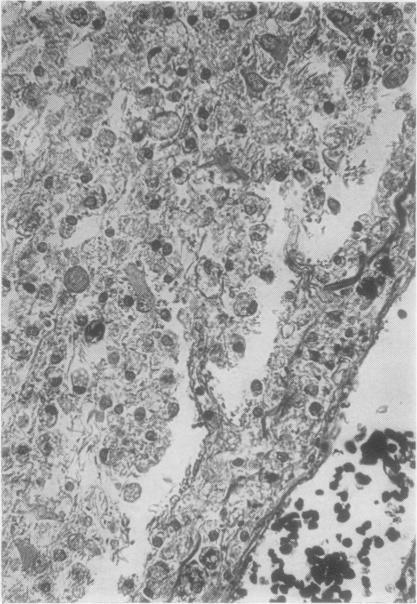
Acute disseminated encephalomyelitis, with massive necrosis of the spinal cord, probably due to antitetanus serum.

作者信息

MILLER A A, RAMSDEN F

出版信息

J Clin Pathol. 1962 Jul;15(4):314-23. doi: 10.1136/jcp.15.4.314.

Abstract

The clinical and pathological findings are described of a fatal case of acute haemorrhagic leucoencephalitis and disseminated encephalomyelitis with acute necrosis of the white matter of the spinal cord. It is suggested that the reaction was a severe immunological response of an allergic nature, probably due to antitetanus serum.

摘要
https://cdn.ncbi.nlm.nih.gov/pmc/blobs/00f3/480405/6244d41811a7/jclinpath00069-0029-a.jpg

文献AI研究员

20分钟写一篇综述,助力文献阅读效率提升50倍。

立即体验

用中文搜PubMed

大模型驱动的PubMed中文搜索引擎

马上搜索

文档翻译

学术文献翻译模型,支持多种主流文档格式。

立即体验