Christian Sven, Pilch Jan, Akerman Maria E, Porkka Kimmo, Laakkonen Pirjo, Ruoslahti Erkki
Cancer Research Center, The Burnham Institute, La Jolla, CA 92037-3198, USA.
J Cell Biol. 2003 Nov 24;163(4):871-8. doi: 10.1083/jcb.200304132.
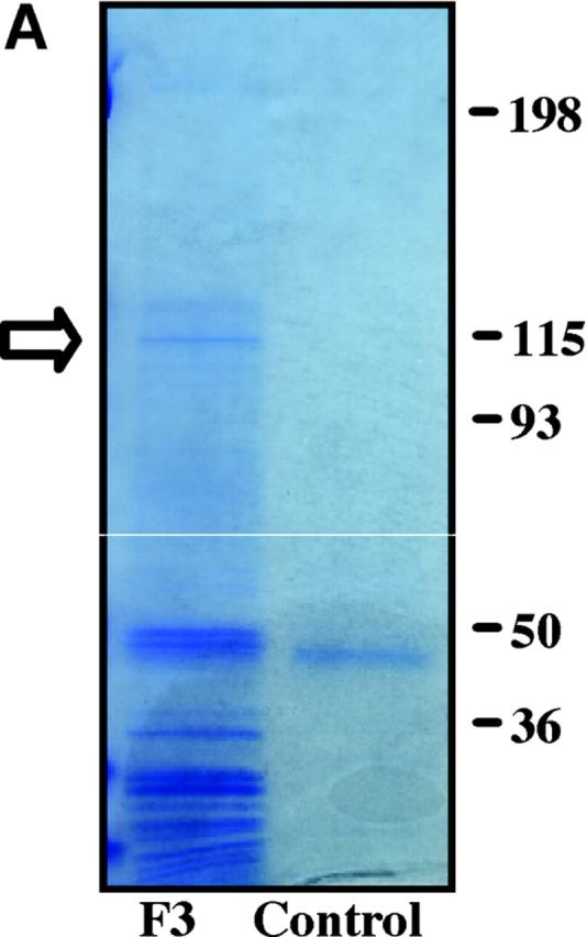
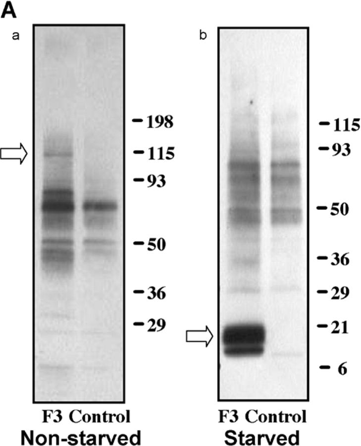
A tumor-homing peptide, F3, selectively binds to endothelial cells in tumor blood vessels and to tumor cells. Here, we show that the cell surface molecule recognized by F3 is nucleolin. Nucleolin specifically bound to an F3 peptide affinity matrix from extracts of cultured breast carcinoma cells. Antibodies and cell surface biotin labeling revealed nucleolin at the surface of actively growing cells, and these cells bound and internalized fluorescein-conjugated F3 peptide, transporting it into the nucleus. In contrast, nucleolin was exclusively nuclear in serum-starved cells, and F3 did not bind to these cells. The binding and subsequent internalization of F3 were blocked by an antinucleolin antibody. Like the F3 peptide, intravenously injected antinucleolin antibodies selectively accumulated in tumor vessels and in angiogenic vessels of implanted "matrigel" plugs. These results show that cell surface nucleolin is a specific marker of angiogenic endothelial cells within the vasculature. It may be a useful target molecule for diagnostic tests and drug delivery applications.
一种肿瘤归巢肽F3可选择性地与肿瘤血管中的内皮细胞及肿瘤细胞结合。在此,我们发现F3识别的细胞表面分子是核仁素。核仁素能特异性地与来自培养乳腺癌细胞提取物的F3肽亲和基质结合。抗体及细胞表面生物素标记显示,在活跃生长的细胞表面存在核仁素,这些细胞能结合并内化荧光素偶联的F3肽,并将其转运至细胞核。相比之下,在血清饥饿的细胞中,核仁素仅存在于细胞核内,且F3不与这些细胞结合。抗核仁素抗体可阻断F3的结合及随后的内化过程。与F3肽一样,静脉注射的抗核仁素抗体也会选择性地在肿瘤血管及植入“基质胶”栓的血管生成血管中蓄积。这些结果表明,细胞表面核仁素是脉管系统中血管生成内皮细胞的特异性标志物。它可能是诊断检测及药物递送应用中一个有用的靶分子。