Suppr超能文献

从内质网过渡区到顺面高尔基体的无细胞囊泡转运的温度和受体特异性。

Temperature- and acceptor-specificity of cell-free vesicular transfer from transitional endoplasmic reticulum to the cis Golgi apparatus.

作者信息

Dunkle S, Reust T, Nowack D D, Waits L, Paulik M, Morre D M, Morre D J

机构信息

Department of Medicinal Chemistry, Purdue University, West Lafayette, IN 47907.

出版信息

Biochem J. 1992 Dec 15;288 ( Pt 3)(Pt 3):969-76. doi: 10.1042/bj2880969.

Abstract

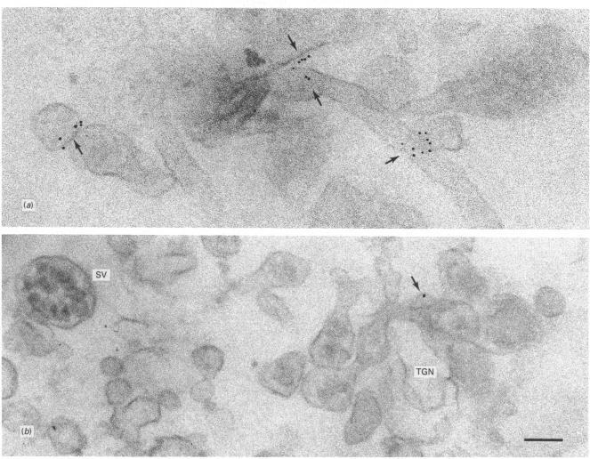
The temperature dependence and specificity of transfer of membrane constituents from donor transitional endoplasmic reticulum to the cis Golgi apparatus were investigated using a cell-free system from rat liver. The radiolabelled transitional endoplasmic reticulum donors were prepared from slices of rat liver prelabelled with [14C]leucine. The acceptor Golgi apparatus elements were unlabelled and immobilized on nitrocellulose. When Golgi apparatus stacks were separated by preparative free-flow electrophoresis into subfractions enriched in cisternae derived from the cis, medial and trans portions of the stack respectively, efficient specific transfer was observed only to cis elements. Trans elements were devoid of specific acceptor capacity. Similarly, when transfer was determined as a function of temperature, a transition was observed in transfer activity between 12 degrees C and 18 degrees C similar to that seen in vivo for formation of the so-called 16 degrees C cis Golgi-located membrane compartment. Transfer at temperatures below 16 degrees C and transfer to trans Golgi apparatus compartments at temperatures either above or below 16 degrees C was similar and unspecific. The unspecific transfer at low temperature was pH independent, whereas specific transfer was greatest at the physiological pH of 7, and was reduced to 10% and 18% of that occurring at pH 8 and pH 5.5 respectively. These findings show that the cell-free system derived from rat liver exhibits a high degree of fidelity to transfer in vivo, an efficiency approaching that observed in vivo, and a nearly absolute acceptor specificity for cis Golgi apparatus. The acceptor-, temperature- and pH-specificity of the cell-free transfer, as well as the saturation kinetics exhibited with respect to acceptor Golgi apparatus, support the concept of transition-vesicle-specific docking sites of finite number associated with cis Golgi apparatus cisternae.

摘要

利用大鼠肝脏的无细胞系统,研究了膜成分从供体过渡性内质网转移至顺面高尔基体的温度依赖性和特异性。用[14C]亮氨酸预标记的大鼠肝脏切片制备放射性标记的过渡性内质网供体。受体高尔基体元件未标记,并固定在硝酸纤维素上。当通过制备性自由流动电泳将高尔基体堆叠分离成分别富含来自堆叠顺面、中间和反面部分的潴泡的亚组分时,仅观察到向顺面元件的有效特异性转移。反面元件没有特异性受体能力。同样,当将转移作为温度的函数进行测定时,在12℃和18℃之间观察到转移活性的转变,类似于在体内形成所谓的位于16℃顺面高尔基体的膜区室时所看到的转变。在16℃以下的温度下转移以及在高于或低于16℃的温度下转移至反面高尔基体区室是相似且非特异性的。低温下的非特异性转移与pH无关,而特异性转移在生理pH 7时最大,在pH 8和pH 5.5时分别降至该值的10%和18%。这些发现表明,源自大鼠肝脏的无细胞系统在体内转移方面表现出高度的保真度、接近体内观察到的效率以及对顺面高尔基体几乎绝对的受体特异性。无细胞转移的受体、温度和pH特异性,以及相对于受体高尔基体表现出的饱和动力学,支持了与顺面高尔基体潴泡相关的有限数量的过渡囊泡特异性对接位点的概念。

https://cdn.ncbi.nlm.nih.gov/pmc/blobs/3cf1/1131982/11564415cc34/biochemj00121-0267-a.jpg

文献检索

告别复杂PubMed语法,用中文像聊天一样搜索,搜遍4000万医学文献。AI智能推荐,让科研检索更轻松。

立即免费搜索

文件翻译

保留排版,准确专业,支持PDF/Word/PPT等文件格式,支持 12+语言互译。

免费翻译文档

深度研究

AI帮你快速写综述,25分钟生成高质量综述,智能提取关键信息,辅助科研写作。

立即免费体验