Suppr超能文献

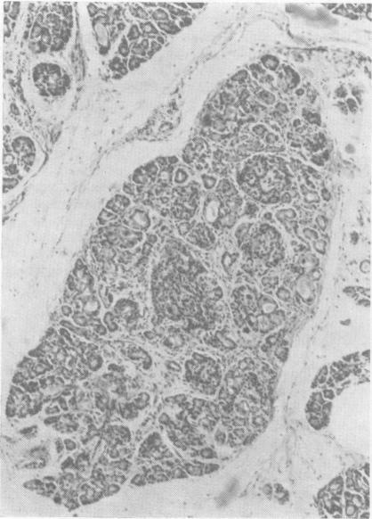
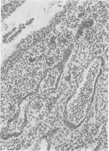
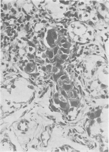
Inclusion disease in childhood.

作者信息

FRANCE N E

出版信息

Arch Dis Child. 1951 Dec;26(130):588-600. doi: 10.1136/adc.26.130.588.

Abstract
摘要
https://cdn.ncbi.nlm.nih.gov/pmc/blobs/ae69/1988476/92976152c4db/archdisch01423-0118-a.jpg

相似文献

1
Inclusion disease in childhood.
Arch Dis Child. 1951 Dec;26(130):588-600. doi: 10.1136/adc.26.130.588.
3
[Cytomegalic inclusion disease].
Toulouse Med. 1960 Jan;61:19-28.
4
[On cytomegalic inclusion disease].
G Veneto Sci Med. 1962 Mar-Apr;17:93-112.
5
[3 Cases of cytomegalic inclusion disease].
Arch Fr Pediatr. 1960;17:129-42.
7
Inclusion disease or generalized salivary gland virus infection; report of five cases.
Acta Pathol Microbiol Scand Suppl (1926). 1952 Jun;93:159-67.
8
[Cytomegalic inclusion disease in a newborn].
Arch Fr Pediatr. 1959;16:940-5.

引用本文的文献

2
Microgyria and cytomegalic inclusion disease in infancy.
J Clin Pathol. 1959 Sep;12(5):427-34. doi: 10.1136/jcp.12.5.427.
3
Neonatal hyperbilirubinaemia.
Br Med J. 1960 May 21;1(5185):1528-34. doi: 10.1136/bmj.1.5185.1528.
4
Congenital absence of the intrahepatic bile ducts.
Arch Dis Child. 1958 Oct;33(171):396-402. doi: 10.1136/adc.33.171.396.
5
[Pathology of the cytomegaly; inclusion body disease, virus disease of the salivary glands].
Virchows Arch Pathol Anat Physiol Klin Med. 1954;325(5):596-623. doi: 10.1007/BF00955188.
6
Postencephalitic porencephaly, hydranencephaly or polymicrogyria. A review.
Acta Neuropathol. 1978 Aug 7;43(1-2):161-8. doi: 10.1007/BF00685011.
7
Double encephalitis with herpes simplex virus and cytomegalovirus in an adult.
Acta Neuropathol. 1975 Dec 8;33(2):153-64. doi: 10.1007/BF00687541.

文献AI研究员

20分钟写一篇综述,助力文献阅读效率提升50倍。

立即体验

用中文搜PubMed

大模型驱动的PubMed中文搜索引擎

马上搜索

文档翻译

学术文献翻译模型,支持多种主流文档格式。

立即体验