• 文献检索
  • 文档翻译
  • 深度研究
  • 学术资讯
  • Suppr Zotero 插件Zotero 插件
  • 邀请有礼
  • 套餐&价格
  • 历史记录
应用&插件
Suppr Zotero 插件Zotero 插件浏览器插件Mac 客户端Windows 客户端微信小程序
定价
高级版会员购买积分包购买API积分包
服务
文献检索文档翻译深度研究API 文档MCP 服务
关于我们
关于 Suppr公司介绍联系我们用户协议隐私条款
关注我们

Suppr 超能文献

核心技术专利:CN118964589B侵权必究
粤ICP备2023148730 号-1Suppr @ 2026

文献检索

告别复杂PubMed语法,用中文像聊天一样搜索,搜遍4000万医学文献。AI智能推荐,让科研检索更轻松。

立即免费搜索

文件翻译

保留排版,准确专业,支持PDF/Word/PPT等文件格式,支持 12+语言互译。

免费翻译文档

深度研究

AI帮你快速写综述,25分钟生成高质量综述,智能提取关键信息,辅助科研写作。

立即免费体验

胃食管交界腺癌中AXIN1基因座频繁缺失但无AXIN1基因突变且伴有细胞核β-连环蛋白表达

Frequent loss of the AXIN1 locus but absence of AXIN1 gene mutations in adenocarcinomas of the gastro-oesophageal junction with nuclear beta-catenin expression.

作者信息

Koppert L B, van der Velden A W, van de Wetering M, Abbou M, van den Ouweland A M W, Tilanus H W, Wijnhoven B P L, Dinjens W N M

机构信息

Department of Pathology, Josephine Nefkens Institute, Erasmus University Medical Center, Rotterdam, The Netherlands.

出版信息

Br J Cancer. 2004 Feb 23;90(4):892-9. doi: 10.1038/sj.bjc.6601589.

DOI:10.1038/sj.bjc.6601589
PMID:14970870
原文链接:https://pmc.ncbi.nlm.nih.gov/articles/PMC3215949/
Abstract

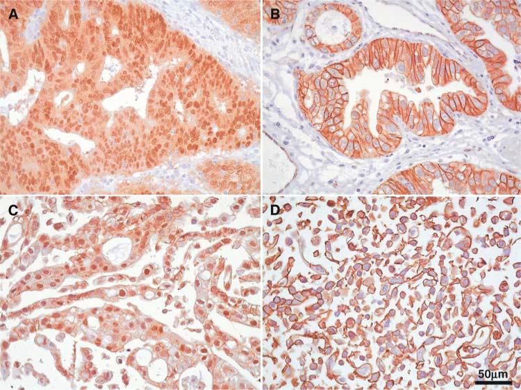
Up to 60% of gastro-oesophageal junction (GEJ) adenocarcinomas show nuclear beta-catenin expression, pointing to activated T-cell factor (TCF)/beta-catenin-driven gene transcription. We demonstrate in five human GEJ adenocarcinoma cell lines that nuclear beta-catenin expression indeed correlates with enhanced TCF-mediated transcription of a reporter gene. In several tumour types, TCF/beta-catenin activation is caused by mutations in either adenomatous polyposis coli (APC), beta-catenin exon 3, AXIN1, AXIN2 or beta-transducin repeat-containing protein (beta-TrCP). In GEJ adenocarcinomas, very few APC and beta-catenin mutations have been found. Therefore, the mechanism of Wnt pathway activation remains unclear. In the present study, we did not find AXIN1 gene mutations in 17 GEJ tumours with nuclear beta-catenin expression (without beta-catenin exon 3 mutations). Six intragenic single nucleotide polymorphisms (SNPs) were identified. One of these, the AXIN1 gene T1942C SNP, has a frequency of 21% but is only very recently described despite numerous AXIN1 gene mutational studies. We provide evidence why this SNP was missed in single strand conformation polymorphism analyses. The AXIN1 gene G2063A variation was previously described as a gene mutation but we demonstrate that this is a polymorphism. With these six SNPs loss of heterozygosity (LOH) was found in 11 of 15 (73%) informative tumours. To investigate a possible AXIN1 gene dosage effect in GEJ tumours expressing nuclear beta-catenin, AXIN1 locus LOH was determined in 20 tumours expressing membranous and no nuclear beta-catenin. LOH was found in 10 of 13 (77%) informative cases. AXIN1 protein immunohistochemistry revealed cytoplasmic expression in all tumours irrespective of the presence of AXIN1 locus LOH. These data indicate that nuclear beta-catenin expression is indicative for activated Wnt signalling and that neither AXIN1 gene mutations nor AXIN1 locus LOH are involved in Wnt pathway activation in GEJ adenocarcinomas.

摘要

高达60%的胃食管交界(GEJ)腺癌显示核β-连环蛋白表达,提示激活的T细胞因子(TCF)/β-连环蛋白驱动的基因转录。我们在五个人类GEJ腺癌细胞系中证明,核β-连环蛋白表达确实与报告基因的TCF介导的转录增强相关。在几种肿瘤类型中,TCF/β-连环蛋白激活是由腺瘤性息肉病(APC)、β-连环蛋白外显子3、AXIN1、AXIN2或含β-转导蛋白重复序列的蛋白(β-TrCP)中的突变引起的。在GEJ腺癌中,很少发现APC和β-连环蛋白突变。因此,Wnt通路激活的机制仍不清楚。在本研究中,我们在17例有核β-连环蛋白表达(无β-连环蛋白外显子3突变)的GEJ肿瘤中未发现AXIN1基因突变。鉴定出六个基因内单核苷酸多态性(SNP)。其中一个,AXIN1基因T1942C SNP,频率为21%,尽管对AXIN1基因进行了大量突变研究,但直到最近才被描述。我们提供了证据说明为什么这个SNP在单链构象多态性分析中被遗漏。AXIN1基因G2063A变异先前被描述为基因突变,但我们证明这是一个多态性。在15例信息充分的肿瘤中的11例(73%)中发现了这六个SNP的杂合性缺失(LOH)。为了研究在表达核β-连环蛋白的GEJ肿瘤中可能的AXIN1基因剂量效应,在20例表达膜性而非核β-连环蛋白的肿瘤中测定了AXIN1基因座LOH。在13例信息充分的病例中的10例(77%)中发现了LOH。AXIN1蛋白免疫组织化学显示所有肿瘤中均有细胞质表达,与AXIN1基因座LOH的存在无关。这些数据表明核β-连环蛋白表达指示Wnt信号激活,并且AXIN1基因突变和AXIN1基因座LOH均不参与GEJ腺癌中的Wnt通路激活。

https://cdn.ncbi.nlm.nih.gov/pmc/blobs/d74a/3215949/7a37445a6ca3/90-6601589f5.jpg
https://cdn.ncbi.nlm.nih.gov/pmc/blobs/d74a/3215949/d72969949e38/90-6601589f1.jpg
https://cdn.ncbi.nlm.nih.gov/pmc/blobs/d74a/3215949/41f5efaa2f8e/90-6601589f2.jpg
https://cdn.ncbi.nlm.nih.gov/pmc/blobs/d74a/3215949/8caa6a188498/90-6601589f3.jpg
https://cdn.ncbi.nlm.nih.gov/pmc/blobs/d74a/3215949/ae8b847c704f/90-6601589f4.jpg
https://cdn.ncbi.nlm.nih.gov/pmc/blobs/d74a/3215949/7a37445a6ca3/90-6601589f5.jpg
https://cdn.ncbi.nlm.nih.gov/pmc/blobs/d74a/3215949/d72969949e38/90-6601589f1.jpg
https://cdn.ncbi.nlm.nih.gov/pmc/blobs/d74a/3215949/41f5efaa2f8e/90-6601589f2.jpg
https://cdn.ncbi.nlm.nih.gov/pmc/blobs/d74a/3215949/8caa6a188498/90-6601589f3.jpg
https://cdn.ncbi.nlm.nih.gov/pmc/blobs/d74a/3215949/ae8b847c704f/90-6601589f4.jpg
https://cdn.ncbi.nlm.nih.gov/pmc/blobs/d74a/3215949/7a37445a6ca3/90-6601589f5.jpg

相似文献

1
Frequent loss of the AXIN1 locus but absence of AXIN1 gene mutations in adenocarcinomas of the gastro-oesophageal junction with nuclear beta-catenin expression.胃食管交界腺癌中AXIN1基因座频繁缺失但无AXIN1基因突变且伴有细胞核β-连环蛋白表达
Br J Cancer. 2004 Feb 23;90(4):892-9. doi: 10.1038/sj.bjc.6601589.
2
Mutational spectrum of beta-catenin, AXIN1, and AXIN2 in hepatocellular carcinomas and hepatoblastomas.肝细胞癌和肝母细胞瘤中β-连环蛋白、AXIN1和AXIN2的突变谱。
Oncogene. 2002 Jul 18;21(31):4863-71. doi: 10.1038/sj.onc.1205591.
3
AXIN1 mutations in hepatocellular carcinomas, and growth suppression in cancer cells by virus-mediated transfer of AXIN1.肝细胞癌中的AXIN1突变,以及通过病毒介导的AXIN1转移对癌细胞生长的抑制作用。
Nat Genet. 2000 Mar;24(3):245-50. doi: 10.1038/73448.
4
Activation of AXIN2 expression by beta-catenin-T cell factor. A feedback repressor pathway regulating Wnt signaling.β-连环蛋白-T细胞因子激活AXIN2表达。一种调节Wnt信号的反馈抑制途径。
J Biol Chem. 2002 Jun 14;277(24):21657-65. doi: 10.1074/jbc.M200139200. Epub 2002 Apr 8.
5
No evidence for involvement of beta-catenin and APC in urothelial carcinomas.没有证据表明β-连环蛋白和腺瘤性息肉病基因(APC)参与尿路上皮癌。
Int J Oncol. 2002 May;20(5):905-11.
6
Abnormalities of the APC/beta-catenin pathway in endometrial cancer.子宫内膜癌中APC/β-连环蛋白信号通路的异常
Oncogene. 2002 Nov 14;21(52):7981-90. doi: 10.1038/sj.onc.1205924.
7
Role of Wnt pathway in medulloblastoma oncogenesis.Wnt信号通路在髓母细胞瘤发生中的作用。
Int J Cancer. 2002 Sep 10;101(2):198-201. doi: 10.1002/ijc.10559.
8
Diverse mechanisms of beta-catenin deregulation in ovarian endometrioid adenocarcinomas.卵巢子宫内膜样腺癌中β-连环蛋白失调的多种机制。
Cancer Res. 2001 Nov 15;61(22):8247-55.
9
Mutations in beta-catenin and APC genes are uncommon in esophageal and esophagogastric junction adenocarcinomas.β-连环蛋白和腺瘤性息肉病(APC)基因的突变在食管腺癌和食管胃交界腺癌中并不常见。
Mod Pathol. 2000 Oct;13(10):1055-9. doi: 10.1038/modpathol.3880194.
10
Mutations of the Wnt antagonist AXIN2 (Conductin) result in TCF-dependent transcription in medulloblastomas.Wnt拮抗剂AXIN2(传导蛋白)的突变导致髓母细胞瘤中依赖TCF的转录。
Int J Cancer. 2007 Jul 15;121(2):284-91. doi: 10.1002/ijc.22675.

引用本文的文献

1
Whole Genome Level Analysis of the Wnt and DIX Gene Families in Mice and Their Coordination Relationship in Regulating Cardiac Hypertrophy.小鼠中Wnt和DIX基因家族的全基因组水平分析及其在调节心脏肥大中的协同关系
Front Genet. 2021 Jun 8;12:608936. doi: 10.3389/fgene.2021.608936. eCollection 2021.
2
Genome-Wide CpG Island Methylation Profiles of Cutaneous Skin with and without HPV Infection.伴有和不伴有 HPV 感染的皮肤组织全基因组 CpG 岛甲基化图谱。
Int J Mol Sci. 2019 Sep 28;20(19):4822. doi: 10.3390/ijms20194822.
3
Modeling Wnt signaling by CRISPR-Cas9 genome editing recapitulates neoplasia in human Barrett epithelial organoids.

本文引用的文献

1
Reduced expression of Axin correlates with tumour progression of oesophageal squamous cell carcinoma.Axin表达降低与食管鳞状细胞癌的肿瘤进展相关。
Br J Cancer. 2003 Jun 2;88(11):1734-9. doi: 10.1038/sj.bjc.6600941.
2
Sequence variants of the Axin gene in hepatoblastoma.
Hepatol Res. 2003 Feb;25(2):174-179. doi: 10.1016/s1386-6346(02)00264-4.
3
AXIN1 mutations but not deletions in cerebellar medulloblastomas.小脑髓母细胞瘤中存在AXIN1突变,但不存在缺失。
Oncogene. 2003 Jan 30;22(4):632-6. doi: 10.1038/sj.onc.1206156.
通过 CRISPR-Cas9 基因组编辑模拟 Wnt 信号转导可重现人类 Barrett 上皮类器官中的肿瘤发生。
Cancer Lett. 2018 Nov 1;436:109-118. doi: 10.1016/j.canlet.2018.08.017. Epub 2018 Aug 23.
4
Integrated molecular analysis reveals complex interactions between genomic and epigenomic alterations in esophageal adenocarcinomas.综合分子分析揭示食管腺癌中基因组和表观基因组改变之间的复杂相互作用。
Sci Rep. 2017 Jan 19;7:40729. doi: 10.1038/srep40729.
5
Identification of New Candidate Genes and Chemicals Related to Esophageal Cancer Using a Hybrid Interaction Network of Chemicals and Proteins.利用化学物质与蛋白质的混合相互作用网络鉴定与食管癌相关的新候选基因和化学物质。
PLoS One. 2015 Jun 9;10(6):e0129474. doi: 10.1371/journal.pone.0129474. eCollection 2015.
6
Radiofrequency ablation for dysplasia in Barrett's esophagus restores β-catenin activation within esophageal progenitor cells.射频消融治疗 Barrett 食管异型增生可恢复食管祖细胞内β-catenin 的激活。
Dig Dis Sci. 2012 Feb;57(2):294-302. doi: 10.1007/s10620-011-1899-0. Epub 2011 Sep 24.
7
Over-expression of FRZB in gastric cancer cell suppresses proliferation and induces differentiation.胃癌细胞中FRZB的过表达抑制增殖并诱导分化。
J Cancer Res Clin Oncol. 2008 Mar;134(3):353-64. doi: 10.1007/s00432-007-0291-0. Epub 2007 Aug 7.
4
Role of Wnt pathway in medulloblastoma oncogenesis.Wnt信号通路在髓母细胞瘤发生中的作用。
Int J Cancer. 2002 Sep 10;101(2):198-201. doi: 10.1002/ijc.10559.
5
Tumour necrosis factor-alpha in Barrett's oesophagus: a potential novel mechanism of action.巴雷特食管中的肿瘤坏死因子-α:一种潜在的新作用机制。
Oncogene. 2002 Sep 5;21(39):6071-81. doi: 10.1038/sj.onc.1205731.
6
Activation of different Wnt/beta-catenin signaling components in mammary epithelium induces transdifferentiation and the formation of pilar tumors.乳腺上皮中不同的Wnt/β-连环蛋白信号成分的激活会诱导转分化和毛发肿瘤的形成。
Oncogene. 2002 Aug 15;21(36):5548-56. doi: 10.1038/sj.onc.1205686.
7
Mutational spectrum of beta-catenin, AXIN1, and AXIN2 in hepatocellular carcinomas and hepatoblastomas.肝细胞癌和肝母细胞瘤中β-连环蛋白、AXIN1和AXIN2的突变谱。
Oncogene. 2002 Jul 18;21(31):4863-71. doi: 10.1038/sj.onc.1205591.
8
ITF-2, a downstream target of the Wnt/TCF pathway, is activated in human cancers with beta-catenin defects and promotes neoplastic transformation.ITF-2是Wnt/TCF信号通路的下游靶点,在伴有β-连环蛋白缺陷的人类癌症中被激活,并促进肿瘤转化。
Cancer Cell. 2002 Mar;1(2):145-55. doi: 10.1016/s1535-6108(02)00035-1.
9
Cadherin and catenin alterations in human cancer.人类癌症中的钙黏蛋白和连环蛋白改变
Genes Chromosomes Cancer. 2002 Jul;34(3):255-68. doi: 10.1002/gcc.10083.
10
APC/CTNNB1 (beta-catenin) pathway alterations in human prostate cancers.人类前列腺癌中APC/CTNNB1(β-连环蛋白)信号通路改变
Genes Chromosomes Cancer. 2002 May;34(1):9-16. doi: 10.1002/gcc.10037.