Suppr超能文献

心肌中的神经生长。

Nerve growth in cardiac muscle.

作者信息

Davies A H, De Souza B A, Glasby M A, Gschmeissner S E, Huang C L

机构信息

Department of Anatomy, The Royal College of Surgeons of England, London.

出版信息

Tex Heart Inst J. 1986 Dec;13(4):447-52.

Abstract

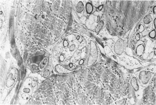
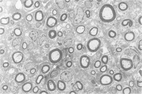
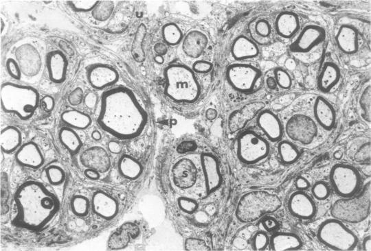
The failure of reinnervation after cardiac transplantation is probably a consequence of scar formation at the suture lines. However, it must be established whether there are any intrinsic properties of the muscle that prevent reinnervation. This is examined in experimental peripheral nerve implants using cardiac muscle isografts. The results show extensive growth of regenerating axons into the implanted cardiac muscle. It is therefore unlikely that the failure of reinnervation depends upon the physical or chemical properties of the muscle itself.

摘要

心脏移植后神经再支配失败可能是缝合线处瘢痕形成的结果。然而,必须确定肌肉是否存在任何阻止神经再支配的内在特性。这在使用心肌同基因移植的实验性外周神经植入中进行了研究。结果显示再生轴突大量生长到植入的心肌中。因此,神经再支配失败不太可能取决于肌肉本身的物理或化学性质。

https://cdn.ncbi.nlm.nih.gov/pmc/blobs/a095/324675/a5209e730dee/thij00070-0096-a.jpg

文献AI研究员

20分钟写一篇综述,助力文献阅读效率提升50倍。

立即体验

用中文搜PubMed

大模型驱动的PubMed中文搜索引擎

马上搜索

文档翻译

学术文献翻译模型,支持多种主流文档格式。

立即体验