Suppr超能文献

没有证据表明SDHD参与神经母细胞瘤的发病机制。

No evidence for involvement of SDHD in neuroblastoma pathogenesis.

作者信息

De Preter Katleen, Vandesompele Jo, Hoebeeck Jasmien, Vandenbroecke Caroline, Smet Jöel, Nuyts Annick, Laureys Geneviève, Combaret Valérie, Van Roy Nadine, Roels Frank, Van Coster Rudy, Praet Marleen, De Paepe Anne, Speleman Frank

机构信息

Center for Medical Genetics, Ghent University Hospital, K5, De Pintelaan 185, B-9000 Ghent, Belgium.

出版信息

BMC Cancer. 2004 Aug 24;4:55. doi: 10.1186/1471-2407-4-55.

Abstract

BACKGROUND

Deletions in the long arm of chromosome 11 are observed in a subgroup of advanced stage neuroblastomas with poor outcome. The deleted region harbours the tumour suppressor gene SDHD that is frequently mutated in paraganglioma and pheochromocytoma, which are, like neuroblastoma, tumours originating from the neural crest. In this study, we sought for evidence for involvement of SDHD in neuroblastoma.

METHODS

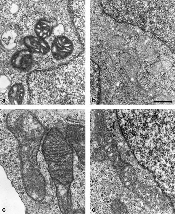
SDHD was investigated on the genome, transcriptome and proteome level using mutation screening, methylation specific PCR, real-time quantitative PCR based homozygous deletion screening and mRNA expression profiling, immunoblotting, functional protein analysis and ultrastructural imaging of the mitochondria.

RESULTS

Analysis at the genomic level of 67 tumour samples and 37 cell lines revealed at least 2 bona-fide mutations in cell lines without allelic loss at 11q23: a 4bp-deletion causing skip of exon 3 resulting in a premature stop codon in cell line N206, and a Y93C mutation in cell line NMB located in a region affected by germline SDHD mutations causing hereditary paraganglioma. No evidence for hypermethylation of the SDHD promotor region was observed, nor could we detect homozygous deletions. Interestingly, SDHD mRNA expression was significantly reduced in SDHD mutated cell lines and cell lines with 11q allelic loss as compared to both cell lines without 11q allelic loss and normal foetal neuroblast cells. However, protein analyses and assessment of mitochondrial morphology presently do not provide clues as to the possible effect of reduced SDHD expression on the neuroblastoma tumour phenotype.

CONCLUSIONS

Our study provides no indications for 2-hit involvement of SDHD in the pathogenesis of neuroblastoma. Also, although a haplo-insufficient mechanism for SDHD involvement in advanced stage neuroblastoma could be considered, the present data do not provide consistent evidence for this hypothesis.

摘要

背景

在预后较差的晚期神经母细胞瘤亚组中观察到11号染色体长臂缺失。缺失区域包含肿瘤抑制基因SDHD,该基因在副神经节瘤和嗜铬细胞瘤中经常发生突变,这两种肿瘤与神经母细胞瘤一样,都起源于神经嵴。在本研究中,我们寻找SDHD参与神经母细胞瘤的证据。

方法

使用突变筛查、甲基化特异性PCR、基于实时定量PCR的纯合缺失筛查和mRNA表达谱分析、免疫印迹、功能蛋白分析以及线粒体超微结构成像,在基因组、转录组和蛋白质组水平上研究SDHD。

结果

对67个肿瘤样本和37个细胞系进行基因组水平分析,发现在11q23无等位基因缺失的细胞系中至少有2个真正的突变:一个4bp缺失导致细胞系N206中外显子3跳跃,产生提前终止密码子;另一个位于受种系SDHD突变影响区域的细胞系NMB中的Y93C突变,该突变导致遗传性副神经节瘤。未观察到SDHD启动子区域高甲基化的证据,也未检测到纯合缺失。有趣的是,与无11q等位基因缺失的细胞系和正常胎儿神经母细胞相比,SDHD突变的细胞系和有11q等位基因缺失的细胞系中SDHD mRNA表达显著降低。然而,目前的蛋白质分析和线粒体形态评估并未提供关于SDHD表达降低对神经母细胞瘤肿瘤表型可能影响的线索。

结论

我们的研究没有表明SDHD在神经母细胞瘤发病机制中存在两次打击参与。此外,虽然可以考虑SDHD参与晚期神经母细胞瘤的单倍体不足机制,但目前的数据并未为这一假设提供一致的证据。

https://cdn.ncbi.nlm.nih.gov/pmc/blobs/ca0f/517501/eea18e840933/1471-2407-4-55-1.jpg

文献AI研究员

20分钟写一篇综述,助力文献阅读效率提升50倍。

立即体验

用中文搜PubMed

大模型驱动的PubMed中文搜索引擎

马上搜索

文档翻译

学术文献翻译模型,支持多种主流文档格式。

立即体验