Suppr超能文献

CCN3(肾母细胞瘤过度表达基因)蛋白的潜在细胞构象。

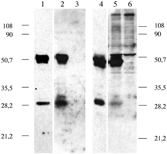
Potential cellular conformations of the CCN3(NOV) protein.

作者信息

Kyurkchiev Stanimir, Yeger Herman, Bleau Anne - Marie, Perbal Bernard

机构信息

Laboratoire d' Oncologie Virale et Moléculaire, UFR de Biochimie, Université Paris 7-D, Diderot, Paris, France.

出版信息

Cell Commun Signal. 2004 Sep 10;2(1):9. doi: 10.1186/1478-811X-2-9.

Abstract

AIM

To study the cellular distribution of CCN3(NOV) and to determine if the carboxyterminus of CCN3 is hidden or masked due to high affinity interactions with other partners. CCN3 was detected using affinity purified antibodies (anti-K19M-AF) as well as a Protein A purified anti-K19M antibodies (anti-K19M IgG) against a C-terminal 19-aminoacid peptide (K19M) of human CCN3 protein. The antibodies were applied in indirect immunofluorescence tests and immunoenzyme assays on glial tumor cell line, G59, and its CCN3-transfected variant G59/540 and the adrenocortical cell line, NCI-H295R. RESULTS: Anti-K19M-AF antibodies reacted against K19M peptide in ELISA and recognized two bands of 51 kDa and 30 kDa in H295R (adrenocortical carcinoma) cell culture supernatants by immunoblotting. H295R culture supernatants which contained CCN3 as shown by immunoblotting did not react with anti-CCN3 antibodies in liquid phase. Anti-CCN3 antibodies stained the surface membranes of non-permeabilized H295R and cytoplasm in permeabilized H295R cells. Similarly, anti-CCN3 stained surface membranes of G59/540, but did not react with G59 cells. Prominent cytoplasmic staining was observed in G59/540, as well as the cell footprints of G59/540 and H295R were strongly labeled. CONCLUSIONS: The K19M-AF antibody directed against the C-terminal 19-aminoacid peptide of CCN3 recognized the secreted protein under denaturing conditions. However, the C-terminal motif of secreted CCN3 was not accessible to K19M-AF in liquid phase. These anti-CCN3 antibodies stained CCN3 protein which was localized to cytoplasmic stores, cell membranes and extracellular matrix. This would suggest that cytoplasmic and cell membrane bound CCN3 has an exposed C-terminus while secreted CCN3 has a sequestered C-terminus which could be due to interaction with other proteins or itself (dimerization). Thus the K19M-AF antibodies revealed at least two conformational states of the native CCN3 protein.

摘要

目的

研究CCN3(NOV)的细胞分布,并确定CCN3的羧基末端是否由于与其他伙伴的高亲和力相互作用而被隐藏或掩盖。使用亲和纯化抗体(抗K19M-AF)以及针对人CCN3蛋白C末端19个氨基酸肽(K19M)的蛋白A纯化抗K19M抗体(抗K19M IgG)检测CCN3。这些抗体应用于胶质细胞瘤细胞系G59及其CCN3转染变体G59/540以及肾上腺皮质细胞系NCI-H295R的间接免疫荧光试验和免疫酶测定。结果:抗K19M-AF抗体在ELISA中与K19M肽反应,并通过免疫印迹在H295R(肾上腺皮质癌)细胞培养上清液中识别出51 kDa和30 kDa的两条带。免疫印迹显示含有CCN3的H295R培养上清液在液相中不与抗CCN3抗体反应。抗CCN3抗体对未通透的H295R细胞的表面膜进行染色,对通透的H295R细胞的细胞质进行染色。同样,抗CCN3对G59/540的表面膜进行染色,但不与G59细胞反应。在G59/540中观察到明显的细胞质染色,并且G59/540和H295R的细胞足迹被强烈标记。结论:针对CCN3 C末端19个氨基酸肽的K19M-AF抗体在变性条件下识别分泌蛋白。然而,分泌的CCN3的C末端基序在液相中不能被K19M-AF识别。这些抗CCN3抗体对定位于细胞质储存、细胞膜和细胞外基质的CCN3蛋白进行染色。这表明细胞质和细胞膜结合的CCN3具有暴露的C末端,而分泌的CCN3具有被隔离的C末端,这可能是由于与其他蛋白质或其自身(二聚化)的相互作用。因此,K19M-AF抗体揭示了天然CCN3蛋白的至少两种构象状态。

https://cdn.ncbi.nlm.nih.gov/pmc/blobs/a268/519031/800732b33b45/1478-811X-2-9-1.jpg

文献AI研究员

20分钟写一篇综述,助力文献阅读效率提升50倍。

立即体验

用中文搜PubMed

大模型驱动的PubMed中文搜索引擎

马上搜索

文档翻译

学术文献翻译模型,支持多种主流文档格式。

立即体验