Suppr超能文献

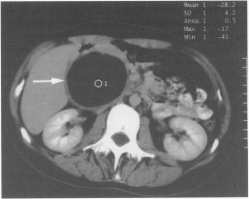
Acute presentation of lymphangioma of the retroperitoneum.

作者信息

Taylor D H, Loughrey C

机构信息

The Ulster Hospital, Dundonald, Belfast BT16 1RH.

出版信息

Ulster Med J. 2004 Nov;73(2):129-31.

Abstract
摘要
https://cdn.ncbi.nlm.nih.gov/pmc/blobs/5a35/2475458/d838ef8b5ad3/ulstermedj00004-0060-a.jpg

文献AI研究员

20分钟写一篇综述,助力文献阅读效率提升50倍。

立即体验

用中文搜PubMed

大模型驱动的PubMed中文搜索引擎

马上搜索

文档翻译

学术文献翻译模型,支持多种主流文档格式。

立即体验