Suppr超能文献

韩国首例原发性腹膜后黏液性囊腺瘤:病例报告

The first case of primary retroperitoneal mucinous cystadenoma in Korea: a case report.

作者信息

Min Byung Wook, Kim Jong Man, Um Jun Won, Lee Eung Seok, Son Gil Soo, Kim Seung Joo, Moon Hong Young

机构信息

Department of Surgery, Korea University College of Medicine, Seoul, Korea.

出版信息

Korean J Intern Med. 2004 Dec;19(4):282-4. doi: 10.3904/kjim.2004.19.4.282.

Abstract

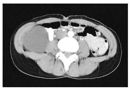
Primary mucinous cystic cystadenomas of the retroperitoneum are very rarely encountered, and there have been only about 30 cases reported in the literature. The histogenesis of primary mucinous cystadenomas is unclear. Most authors suggested that it develops through mucinous metaplasia in a pre-existing mesothelium-lined cyst. Complete surgical excision is the only treatment and it is required for the final diagnosis and cure. We present here a case report of a 38-year-old Korean woman with primary retroperitoneal cystadenoma. It was a thin-walled, multilocular cyst with a dominant loculus that measured 10.0 x 7.5 x 5.5 cm3 in size, and to the best of our knowledge, this is the first such case to be reported in in Korea.

摘要

原发性腹膜后黏液性囊腺瘤非常罕见,文献中仅报道过约30例。原发性黏液性囊腺瘤的组织发生尚不清楚。大多数作者认为它是由先前存在的间皮衬里囊肿中的黏液化生发展而来。完整的手术切除是唯一的治疗方法,也是最终诊断和治愈所必需的。我们在此报告一例38岁韩国女性原发性腹膜后囊腺瘤的病例。这是一个薄壁、多房囊肿,其中一个主腔大小为10.0×7.5×5.5 cm³,据我们所知,这是韩国首例此类病例报告。

https://cdn.ncbi.nlm.nih.gov/pmc/blobs/b3b3/4531569/6082e8fe0f9c/kjim-19-4-282-13f1.jpg

文献AI研究员

20分钟写一篇综述,助力文献阅读效率提升50倍。

立即体验

用中文搜PubMed

大模型驱动的PubMed中文搜索引擎

马上搜索

文档翻译

学术文献翻译模型,支持多种主流文档格式。

立即体验