• 文献检索
  • 文档翻译
  • 深度研究
  • 学术资讯
  • Suppr Zotero 插件Zotero 插件
  • 邀请有礼
  • 套餐&价格
  • 历史记录
应用&插件
Suppr Zotero 插件Zotero 插件浏览器插件Mac 客户端Windows 客户端微信小程序
定价
高级版会员购买积分包购买API积分包
服务
文献检索文档翻译深度研究API 文档MCP 服务
关于我们
关于 Suppr公司介绍联系我们用户协议隐私条款
关注我们

Suppr 超能文献

核心技术专利:CN118964589B侵权必究
粤ICP备2023148730 号-1Suppr @ 2026

文献检索

告别复杂PubMed语法,用中文像聊天一样搜索,搜遍4000万医学文献。AI智能推荐,让科研检索更轻松。

立即免费搜索

文件翻译

保留排版,准确专业,支持PDF/Word/PPT等文件格式,支持 12+语言互译。

免费翻译文档

深度研究

AI帮你快速写综述,25分钟生成高质量综述,智能提取关键信息,辅助科研写作。

立即免费体验

RET/PTC及CK19在甲状腺乳头状癌中的表达及其临床病理相关性

RET/PTC and CK19 expression in papillary thyroid carcinoma and its clinicopathologic correlation.

作者信息

Shin Eunah, Chung Woung Youn, Yang Woo Ick, Park Cheong Soo, Hong Soon Won

机构信息

Department of Pathology, Yonsei University College of Medicine, Seoul, Korea.

出版信息

J Korean Med Sci. 2005 Feb;20(1):98-104. doi: 10.3346/jkms.2005.20.1.98.

DOI:10.3346/jkms.2005.20.1.98
PMID:15716612
原文链接:https://pmc.ncbi.nlm.nih.gov/articles/PMC2808586/
Abstract

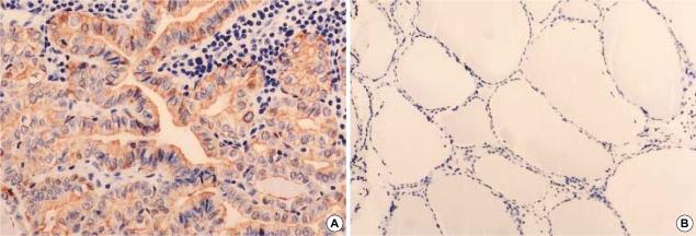
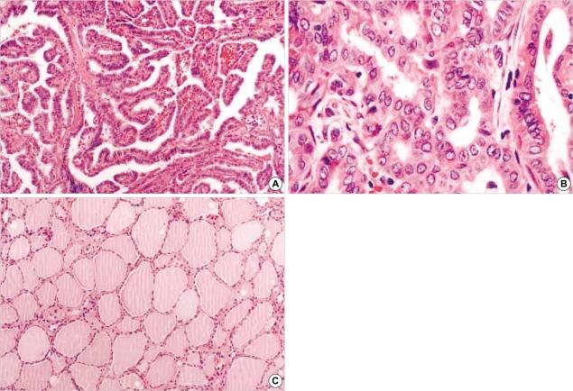
Recently, the rearrangement of RET proto-oncogene has been reported to be the most common genetic change in papillary thyroid carcinoma (PTC). However, its prevalence has been reported variably and its relation to clinical outcome has been controversial. The characteristic nuclear features of PTC usually render the diagnosis, but problem arises with equivocal cytologic features that are present focally. Although there remains some controversy, CK19 has been reported to be a useful ancillary tool for diagnosis of PTC. To evaluate the expression rate of RET/PTC rearrangement and CK19 in PTCs in a Korean population, we studied 115 papillary thyroid carcinomas in 3 mm-core tissue microarray based immunohistochemical analysis. The prevalence of Ret protein expression was 62.6% and the CK19 immunoreactivity was 80.9%. There was no statistically significant association between the Ret positivity and CK19 immunoreactivity, although the percent agreement of the two was relatively high. The clinicopathological variables did not correlate with the expression of Ret. In conclusion, the prevalence of Ret protein expression and its clinicopathological implications in a Korean population are not much different from those reported in previous studies. However, its detection via immunohistochemistry can be a useful diagnostic tool for diagnosing papillary thyroid carcinoma in conjunction with CK19.

摘要

最近,有报道称RET原癌基因重排是甲状腺乳头状癌(PTC)中最常见的基因改变。然而,其发生率的报道各不相同,并且其与临床结局的关系也存在争议。PTC的特征性核特征通常有助于诊断,但局灶性存在的模糊细胞学特征会引发问题。尽管仍存在一些争议,但CK19已被报道是诊断PTC的一种有用辅助工具。为了评估韩国人群中PTC中RET/PTC重排和CK19的表达率,我们基于免疫组织化学分析,在3毫米芯组织微阵列中研究了115例甲状腺乳头状癌。Ret蛋白表达的发生率为62.6%,CK19免疫反应性为80.9%。尽管两者的一致性百分比相对较高,但Ret阳性与CK19免疫反应性之间没有统计学上的显著关联。临床病理变量与Ret的表达无关。总之,韩国人群中Ret蛋白表达的发生率及其临床病理意义与先前研究报道的差异不大。然而,通过免疫组织化学检测Ret结合CK19可成为诊断甲状腺乳头状癌的有用诊断工具。

https://cdn.ncbi.nlm.nih.gov/pmc/blobs/1852/2808586/4abe1670169a/jkms-20-98-g004.jpg
https://cdn.ncbi.nlm.nih.gov/pmc/blobs/1852/2808586/1df11ded690b/jkms-20-98-g001.jpg
https://cdn.ncbi.nlm.nih.gov/pmc/blobs/1852/2808586/c7ea9eff57b9/jkms-20-98-g002.jpg
https://cdn.ncbi.nlm.nih.gov/pmc/blobs/1852/2808586/15a8608d723b/jkms-20-98-g003.jpg
https://cdn.ncbi.nlm.nih.gov/pmc/blobs/1852/2808586/4abe1670169a/jkms-20-98-g004.jpg
https://cdn.ncbi.nlm.nih.gov/pmc/blobs/1852/2808586/1df11ded690b/jkms-20-98-g001.jpg
https://cdn.ncbi.nlm.nih.gov/pmc/blobs/1852/2808586/c7ea9eff57b9/jkms-20-98-g002.jpg
https://cdn.ncbi.nlm.nih.gov/pmc/blobs/1852/2808586/15a8608d723b/jkms-20-98-g003.jpg
https://cdn.ncbi.nlm.nih.gov/pmc/blobs/1852/2808586/4abe1670169a/jkms-20-98-g004.jpg

相似文献

1
RET/PTC and CK19 expression in papillary thyroid carcinoma and its clinicopathologic correlation.RET/PTC及CK19在甲状腺乳头状癌中的表达及其临床病理相关性
J Korean Med Sci. 2005 Feb;20(1):98-104. doi: 10.3346/jkms.2005.20.1.98.
2
RET oncogene expression of papillary thyroid carcinoma in Korea.
Surg Today. 2004;34(6):485-92. doi: 10.1007/s00595-004-2739-z.
3
Diagnostic significance of CK19, RET, galectin-3 and HBME-1 expression for papillary thyroid carcinoma.CK19、RET、半乳糖凝集素-3 和 HBME-1 表达对甲状腺乳头状癌的诊断意义。
J Clin Pathol. 2010 Sep;63(9):786-9. doi: 10.1136/jcp.2010.076901. Epub 2010 Jul 19.
4
Immunohistochemical diagnosis of papillary thyroid carcinoma.甲状腺乳头状癌的免疫组织化学诊断
Mod Pathol. 2001 Apr;14(4):338-42. doi: 10.1038/modpathol.3880312.
5
Prevalence of RET/PTC expression in papillary thyroid carcinoma and its correlation with prognostic factors in a north Indian population.RET/PTC表达在印度北部人群甲状腺乳头状癌中的患病率及其与预后因素的相关性。
J Postgrad Med. 2009 Jul-Sep;55(3):171-5. doi: 10.4103/0022-3859.57390.
6
[Expression of cytokeratins and ret in thyroid papillary carcinoma].[细胞角蛋白和视黄醇在甲状腺乳头状癌中的表达]
Zhonghua Bing Li Xue Za Zhi. 2003 Dec;32(6):530-3.
7
Papillary thyroid carcinoma: 6 cases from 2 families with associated lymphocytic thyroiditis harbouring RET/PTC rearrangements.乳头状甲状腺癌:来自2个家族的6例病例,伴有淋巴细胞性甲状腺炎,存在RET/PTC重排。
Br J Cancer. 2001 Dec 14;85(12):1831-7. doi: 10.1054/bjoc.2001.2187.
8
Immunostaining and RT-PCR: different approaches to search for RET rearrangements in patients with papillary thyroid carcinoma.免疫染色和逆转录聚合酶链反应:在甲状腺乳头状癌患者中寻找RET重排的不同方法。
Int J Oncol. 2003 Oct;23(4):1025-32.
9
Immunohistochemical localisation of RET and p53 mutant protein of thyroid lesions in a North-Eastern Malaysian population and its prognostic implications.马来西亚东北部人群甲状腺病变中RET和p53突变蛋白的免疫组织化学定位及其预后意义。
Pathology. 2004 Apr;36(2):152-9. doi: 10.1080/00313020410001671993.
10
RET protein expression has no prognostic impact on the long-term outcome of papillary thyroid carcinoma.
Eur J Endocrinol. 2001 Nov;145(5):599-604. doi: 10.1530/eje.0.1450599.

引用本文的文献

1
RET EXPRESSION AND ITS CORRELATION WITH CLINICOPATHOLOGIC DATA IN PAPILLARY THYROID CARCINOMA.甲状腺乳头状癌中RET表达及其与临床病理数据的相关性
Acta Clin Croat. 2018 Dec;57(4):646-652. doi: 10.20471/acc.2018.57.04.06.
2
Cytokeratin19 expression discriminates papillary thyroid carcinoma from other thyroid lesions and predicts its aggressive behavior.细胞角蛋白 19 的表达可区分甲状腺乳头状癌与其他甲状腺病变,并预测其侵袭性行为。
Med Oncol. 2013 Mar;30(1):362. doi: 10.1007/s12032-012-0362-1. Epub 2012 Dec 27.
3
Cyclin D1 and p27 expression as prognostic factor in papillary carcinoma of thyroid: association with clinicopathological parameters.

本文引用的文献

1
RET oncogene expression of papillary thyroid carcinoma in Korea.
Surg Today. 2004;34(6):485-92. doi: 10.1007/s00595-004-2739-z.
2
Cytokeratin 19 and galectin-3 immunohistochemistry in the differential diagnosis of solitary thyroid nodules.细胞角蛋白19和半乳糖凝集素-3免疫组织化学在孤立性甲状腺结节鉴别诊断中的应用
Histopathology. 2002 Sep;41(3):236-43. doi: 10.1046/j.1365-2559.2002.01442.x.
3
RET protein expression has no prognostic impact on the long-term outcome of papillary thyroid carcinoma.
Eur J Endocrinol. 2001 Nov;145(5):599-604. doi: 10.1530/eje.0.1450599.
4
细胞周期蛋白D1和p27表达作为甲状腺乳头状癌的预后因素:与临床病理参数的关联
Croat Med J. 2008 Oct;49(5):643-9. doi: 10.3325/cmj.2008.5.643.
4
Immunoexpression of HBME-1, high molecular weight cytokeratin, cytokeratin 19, thyroid transcription factor-1, and E-cadherin in thyroid carcinomas.HBME-1、高分子量细胞角蛋白、细胞角蛋白19、甲状腺转录因子-1和E-钙黏蛋白在甲状腺癌中的免疫表达。
J Korean Med Sci. 2005 Oct;20(5):853-9. doi: 10.3346/jkms.2005.20.5.853.
Cytokeratin 19 immunoreactivity in the diagnosis of papillary thyroid carcinoma: a note of caution.细胞角蛋白19免疫反应性在甲状腺乳头状癌诊断中的应用:一则警示
Am J Clin Pathol. 2001 Nov;116(5):696-702. doi: 10.1309/6D9D-7JCM-X4T5-NNJY.
5
Immunohistochemical diagnosis of papillary thyroid carcinoma.甲状腺乳头状癌的免疫组织化学诊断
Mod Pathol. 2001 Apr;14(4):338-42. doi: 10.1038/modpathol.3880312.
6
Expression of the RET proto-oncogene in papillary thyroid carcinoma and its correlation with clinical outcome.RET原癌基因在甲状腺乳头状癌中的表达及其与临床预后的相关性。
Br J Surg. 2001 Apr;88(4):557-63. doi: 10.1046/j.1365-2168.2001.01734.x.
7
Validation of tissue microarrays for immunohistochemical profiling of cancer specimens using the example of human fibroblastic tumors.以人成纤维细胞肿瘤为例验证用于癌症标本免疫组织化学分析的组织微阵列
Am J Pathol. 2001 Apr;158(4):1245-51. doi: 10.1016/S0002-9440(10)64075-8.
8
Detection of RET/PTC oncogene rearrangements in Korean papillary thyroid carcinomas.
Thyroid. 1999 Dec;9(12):1237-43. doi: 10.1089/thy.1999.9.1237.
9
Differential expression of cytokeratins in follicular variant of papillary carcinoma: an immunohistochemical study and its diagnostic utility.细胞角蛋白在乳头状癌滤泡变异型中的差异表达:一项免疫组织化学研究及其诊断效用
Hum Pathol. 1999 Oct;30(10):1166-71. doi: 10.1016/s0046-8177(99)90033-3.
10
ret/PTC expression may be associated with local invasion of thyroid papillary carcinoma.ret/PTC表达可能与甲状腺乳头状癌的局部侵袭有关。
J Surg Oncol. 1999 Jun;71(2):76-81; discussion 81-2. doi: 10.1002/(sici)1096-9098(199906)71:2<76::aid-jso4>3.0.co;2-0.