Suppr超能文献

ICI 182780对冠毛猕猴附睾中雌激素受体表达、液体吸收及精子活力的影响

Effects of ICI 182780 on estrogen receptor expression, fluid absorption and sperm motility in the epididymis of the bonnet monkey.

作者信息

Shayu Deshpande, ChennaKesava C S, Soundarajan Rama, Rao A Jagannadha

机构信息

Department of Biochemistry, Indian Institute of Science, Bangalore- 560012, India.

出版信息

Reprod Biol Endocrinol. 2005 Mar 2;3:10. doi: 10.1186/1477-7827-3-10.

Abstract

BACKGROUND

The importance of estrogen in regulation of fluid absorption and sperm maturation in the rodent epididymis has been established from studies on estrogen receptor-alpha knockout mice. However, functional studies on the role of estrogen in primate epididymis have been few. The main objective of this study was therefore to extend these observations and systematically analyze the presence and function of estrogen receptors in modulating the function of the primate epididymis, using the bonnet monkey (Macaca radiata) as a model system.

METHODS

A steroidal estrogen receptor (ER) antagonist, ICI 182780 (ICI), was administered to adult male bonnet monkeys via mini-osmotic pumps for a duration of 30 to 180 days. The expression of key estrogen-regulated genes (ER-alpha, Na-K ATPase alpha-1 and Aquaporin-1) was examined at specific time points. Further, the effect of ICI in modulating fluid reabsorption in efferent ductules was monitored, and critical sperm-maturation parameters were also analyzed.

RESULTS

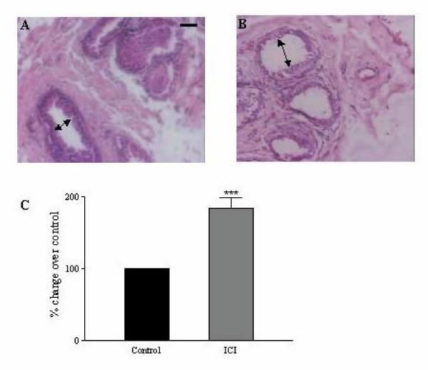
Our studies in the bonnet monkey revealed that both ER-alpha and ER-beta were expressed in all the three regions of the epididymis. We observed an increase in ER-alpha mRNA and protein in the caput of ICI-treated monkeys. Steady state mRNA levels of the water-channel protein, Aquaporin-1, was significantly lower in the caput of ICI-treated monkeys compared to controls, whereas the mRNA levels of Na-K ATPase alpha-1 remained unchanged. In vitro incubation of efferent ductules with ICI resulted in two-fold increase in tubular diameter, indicating affected fluid reabsorption capacity. Furthermore, sperm from ICI-treated monkeys were immotile.

CONCLUSION

Taken together, our results point to an integral role for estrogen in modulating the functions of the bonnet monkey epididymis. This study also demonstrates possible differences in the epididymal physiology of rodents and non-human primates, and thus underscores the significance of reports such as these, that examine the physiology of non-human primates (as opposed to rodents), in an attempt to understand similar events in the human.

摘要

背景

通过对雌激素受体α基因敲除小鼠的研究,已证实雌激素在调节啮齿动物附睾液体吸收和精子成熟方面的重要性。然而,关于雌激素在灵长类动物附睾中作用的功能研究却很少。因此,本研究的主要目的是扩展这些观察结果,并以冠毛猕猴(Macaca radiata)为模型系统,系统分析雌激素受体在调节灵长类动物附睾功能中的存在情况及功能。

方法

通过微型渗透泵向成年雄性冠毛猕猴施用甾体雌激素受体(ER)拮抗剂ICI 182780(ICI),持续30至180天。在特定时间点检测关键雌激素调节基因(ER-α、钠钾ATP酶α-1和水通道蛋白-1)的表达。此外,监测ICI对输出小管液体重吸收调节的影响,并分析关键的精子成熟参数。

结果

我们对冠毛猕猴的研究表明,ER-α和ER-β在附睾的所有三个区域均有表达。我们观察到ICI处理的猕猴附睾头中ER-α mRNA和蛋白增加。与对照组相比,ICI处理的猕猴附睾头中水通道蛋白-1的稳态mRNA水平显著降低,而钠钾ATP酶α-1的mRNA水平保持不变。ICI对输出小管进行体外孵育导致管径增加两倍,表明液体重吸收能力受到影响。此外,ICI处理的猕猴的精子无运动能力。

结论

综上所述,我们的结果表明雌激素在调节冠毛猕猴附睾功能中起不可或缺的作用。本研究还证明了啮齿动物和非人类灵长类动物附睾生理学可能存在差异,因此强调了此类研究(与啮齿动物相对,研究非人类灵长类动物生理学)对于理解人类类似事件的重要性。

https://cdn.ncbi.nlm.nih.gov/pmc/blobs/8bc8/1079944/6fba772b8492/1477-7827-3-10-1.jpg

文献AI研究员

20分钟写一篇综述,助力文献阅读效率提升50倍。

立即体验

用中文搜PubMed

大模型驱动的PubMed中文搜索引擎

马上搜索

文档翻译

学术文献翻译模型,支持多种主流文档格式。

立即体验