Suppr超能文献

猫球状细胞脑白质营养不良的临床病理特征

Clinicopathological features of globoid cell leucodystrophy in cats.

作者信息

Salvadori C, Modenato M, Corlazzoli D S, Arispici M, Cantile C

机构信息

Dipartimento di Patologia Animale, Facoltà di Medicina Veterinaria, Università di Pisa, Italy.

出版信息

J Comp Pathol. 2005 May;132(4):350-6. doi: 10.1016/j.jcpa.2004.12.001. Epub 2005 Mar 29.

Abstract

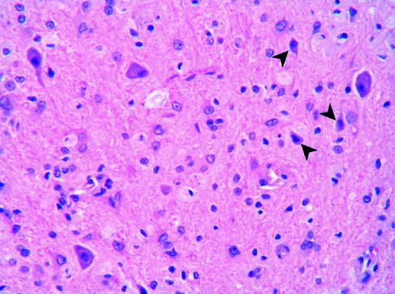
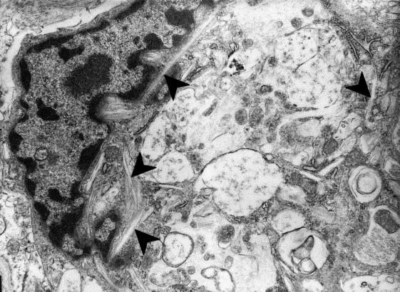
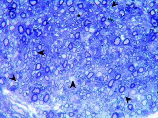
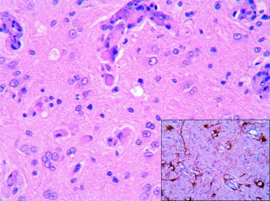
Clinical and pathological findings consistent with globoid cell leucodystrophy (GLD) were evaluated in two domestic shorthaired cats, aged 3 and 4 months. Both showed neurological signs mainly characterized by progressive pelvic limb ataxia, paraplegia with loss of deep pain perception in the pelvic limb, and intentional tremors of the thoracic limbs. Pathological changes affecting the central and peripheral nervous systems were characterised by diffuse, bilateral and symmetrical myelin loss, and marked astrogliosis. In the leucodystrophic areas there was perivascular accumulation of large PAS-positive, non-metachromatic macrophages (globoid cells), with intracytoplasmic accumulation of crystalloid tubular aggregates. Peripheral nerves showed demyelinating features with thin myelin sheaths, myelin splitting, and ballooning; the nerve fibres had bizarre shapes due to the presence of pale inclusions in the Schwann cells. GLD in cats shares clinical and pathological features with the disease described in other animals and human beings. The neurological signs differed from those of other feline inborn neurometabolic diseases and cerebellar hypoplasia.

摘要

对两只3个月和4个月大的家养短毛猫进行了评估,其临床和病理表现符合球状细胞脑白质营养不良(GLD)。两只猫均表现出神经症状,主要特征为进行性盆腔肢共济失调、盆腔肢截瘫伴深部痛觉丧失,以及胸肢意向性震颤。影响中枢和外周神经系统的病理变化特征为弥漫性、双侧性和对称性髓鞘脱失,以及明显的星形胶质细胞增生。在脑白质营养不良区域,有大量PAS阳性、非异染性巨噬细胞(球状细胞)的血管周围积聚,伴有晶体样管状聚集体的胞质内积聚。外周神经表现出脱髓鞘特征,髓鞘薄、髓鞘分裂和气球样变;由于施万细胞中存在浅色内含物,神经纤维形状怪异。猫的GLD与其他动物和人类描述的疾病具有临床和病理特征。其神经症状与其他猫先天性神经代谢疾病和小脑发育不全不同。

https://cdn.ncbi.nlm.nih.gov/pmc/blobs/5961/7172685/00066180e721/gr1.jpg

文献AI研究员

20分钟写一篇综述,助力文献阅读效率提升50倍。

立即体验

用中文搜PubMed

大模型驱动的PubMed中文搜索引擎

马上搜索

文档翻译

学术文献翻译模型,支持多种主流文档格式。

立即体验