Suppr超能文献

Tangier病的病理学。光镜和电镜研究。

The pathology of Tangier disease. A light and electron microscopic study.

作者信息

Ferrans V J, Fredrickson D S

出版信息

Am J Pathol. 1975 Jan;78(1):101-58.

Abstract

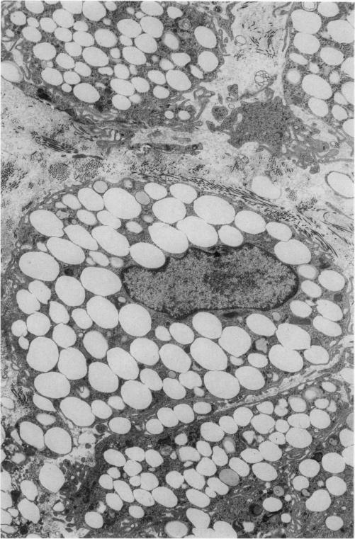
Tangier disease (deficiency of high density plasma lipoproteins) is characterized clinically by: low levels of plasma cholesterol; enlarged, orange-yellow to yellow-gray tonsils and, frequently, peripheral neuropathy. Histologic and ultrastructural studies were made of various tissues from 5 patients with Tangier disease, and comparisons were made of these findings with those in the 12 other patients thus far known to have this disease. Deposits of cholesteryl esters were found in: reticuloendothelial cells (foam cells) in tonsils, bone marrow, skin and jejunal submucosa; Schwann cells in peripheral nerves and myenteric plexus; and in nonvascular smooth muscle cells. These deposits appeared electron lucent and intensely birefringent, varied from spherical to crystalline in shape, often were extensively confluent throughout large areas of cytoplasm, and were not limited by membranes. Certain foam cells in bone marrow also contained membrane-limited clusters of lipid particles resembling chylomicrons. The foam cells in Tangier disease differ morphologically from those in numerous lysosomal enzyme deficiency states, particularly Wolman's disease and cholesteryl ester stroage disease, and in proliferative diseases of the reticuloendothelial system in which cholesteryl esters also accumulate in abnormal histiocytes. Morphologic and biochemical data suggest several hypotheses to explain the accumulation of cholesteryl esters in tissues of patients with Tangier disease. Among these hypotheses, the most likely are considered to be the presence in plasma of abnormal lipoprotein particles that are subject to phagocytic removal by reticuloendothelial cells, and the failure of a process that normally removes locally synthesized cholesterol from cells to plasma. (Am J Pathol 78:101-158, 1975)

摘要

丹吉尔病(高密度血浆脂蛋白缺乏症)的临床特征为:血浆胆固醇水平低;扁桃体肿大,呈橙黄色至黄灰色,且常伴有周围神经病变。对5例丹吉尔病患者的各种组织进行了组织学和超微结构研究,并将这些结果与迄今已知患有该病的其他12例患者的结果进行了比较。在以下组织中发现了胆固醇酯沉积:扁桃体、骨髓、皮肤和空肠黏膜下层的网状内皮细胞(泡沫细胞);周围神经和肌间神经丛中的施万细胞;以及非血管平滑肌细胞。这些沉积物在电子显微镜下呈透亮且强烈双折射,形状从球形到结晶形不等,常常在大片细胞质中广泛融合,且不受膜的限制。骨髓中的某些泡沫细胞还含有膜包绕的类似乳糜微粒的脂质颗粒簇。丹吉尔病中的泡沫细胞在形态上与许多溶酶体酶缺乏症(尤其是沃尔曼病和胆固醇酯贮积病)以及网状内皮系统增殖性疾病中的泡沫细胞不同,在这些疾病中,胆固醇酯也在异常组织细胞中蓄积。形态学和生化数据提出了几种假说来解释丹吉尔病患者组织中胆固醇酯的蓄积。在这些假说中,最有可能的被认为是血浆中存在异常脂蛋白颗粒,这些颗粒会被网状内皮细胞吞噬清除,以及正常情况下将局部合成的胆固醇从细胞转运至血浆的过程出现障碍。(《美国病理学杂志》78:101 - 158, 1975)

https://cdn.ncbi.nlm.nih.gov/pmc/blobs/ff96/1915033/4dde5a642af5/amjpathol00464-0159-a.jpg

文献检索

告别复杂PubMed语法,用中文像聊天一样搜索,搜遍4000万医学文献。AI智能推荐,让科研检索更轻松。

立即免费搜索

文件翻译

保留排版,准确专业,支持PDF/Word/PPT等文件格式,支持 12+语言互译。

免费翻译文档

深度研究

AI帮你快速写综述,25分钟生成高质量综述,智能提取关键信息,辅助科研写作。

立即免费体验