Suppr超能文献

人类动脉粥样硬化斑块细胞和平滑肌瘤细胞。体外生长特性的比较。

Human atherosclerotic plaque cells and leiomyoma cells. Comparison of in vitro growth characteristics.

作者信息

Moss N S, Benditt E P

出版信息

Am J Pathol. 1975 Feb;78(2):175-90.

Abstract

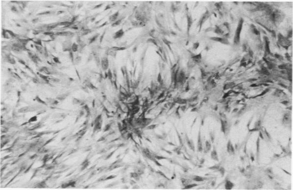
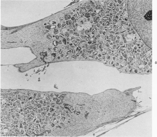
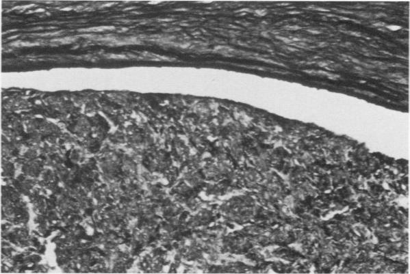
Cells derived from human atherosclerotic plaques and from arterial media were compared with cells obtained from human leiomyomata and myometrium with respect to growth behavior in long-term cell culture. None of numerous variations in culture media, including alterations of serum concentration and source, improved the rate of cell multiplication or in vitro longevity. Both uterine cell types, but neither arterial cell type, multiplied after tissue dissociation with enzymes (elastase, collagenase, hyaluronidase). The replicative life-span of each of eight samples of arterial plaque cells was equal to or less than that of the corresponding medial cells. A similar relationship was observed for eight paired sets of leiomyoma and myometrial cells. The results indicate that, under the conditions of culture in vitro, cells of a bona fide smooth muscle tumor have a finite replicative life-span and smooth muscle cells of atherosclerotic plaques behave in a similar manner.

摘要

就长期细胞培养中的生长行为而言,将源自人类动脉粥样硬化斑块和动脉中层的细胞与源自人类平滑肌瘤和子宫肌层的细胞进行了比较。在包括血清浓度和来源改变在内的多种培养基变化中,没有一种能提高细胞增殖率或体外存活时间。两种子宫细胞类型在经酶(弹性蛋白酶、胶原酶、透明质酸酶)解离组织后都会增殖,但两种动脉细胞类型都不会。八个动脉斑块细胞样本中每个样本的复制寿命等于或小于相应中层细胞的复制寿命。八对平滑肌瘤和子宫肌层细胞也观察到类似关系。结果表明,在体外培养条件下,真正的平滑肌肿瘤细胞具有有限的复制寿命,动脉粥样硬化斑块的平滑肌细胞表现方式类似。

https://cdn.ncbi.nlm.nih.gov/pmc/blobs/096a/1913043/5f3c3a7559ac/amjpathol00465-0023-a.jpg

文献AI研究员

20分钟写一篇综述,助力文献阅读效率提升50倍。

立即体验

用中文搜PubMed

大模型驱动的PubMed中文搜索引擎

马上搜索

文档翻译

学术文献翻译模型,支持多种主流文档格式。

立即体验