Desrochers P E, Jeffrey J J, Weiss S J
Department of Internal Medicine, Simpson Memorial Research Institute, University of Michigan, Ann Arbor 48109.
J Clin Invest. 1991 Jun;87(6):2258-65. doi: 10.1172/JCI115262.
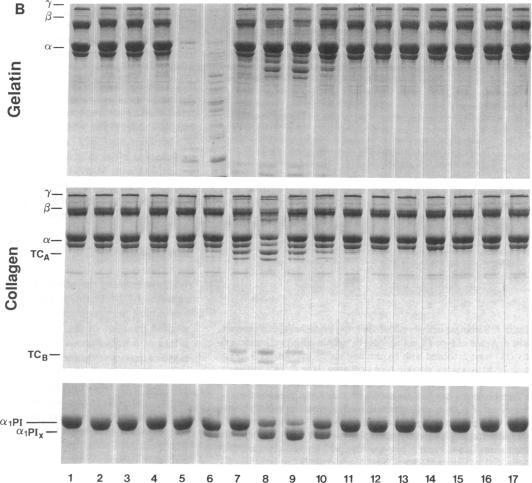
Human endothelial cells treated with either interleukin-1 beta, tumor necrosis factor-alpha, or phorbol myristate acetate secreted a metalloproteinase that hydrolyzed and inactivated the two major serine proteinase inhibitors (Serpins) found in plasma, alpha 1-proteinase inhibitor and alpha 1-antichymotrypsin. Surprisingly, the responsible metalloproteinase was identified as human interstitial collagenase (matrix metalloproteinase-1), an enzyme whose only known physiologic substrate has heretofore been believed to be the extracellular matrix molecule, collagen. The metalloproteinase inactivated the Serpins by cleaving peptide bonds at sites unrelated to those hydrolyzed in collagenous macromolecules. NH2-terminal sequence analysis localized the cleavage sites in the Serpins to regions near their respective reactive site centers at three distinct peptide bonds on the amino-terminal side of bulky, hydrophobic residues. Together, these data indicate that matrix metalloproteinase-1 displays an expanded substrate repertoire that supports the existence of a new interface between connective tissue turnover and Serpin function.
用白细胞介素-1β、肿瘤坏死因子-α或佛波酯肉豆蔻酸酯处理的人内皮细胞分泌一种金属蛋白酶,该酶可水解并使血浆中发现的两种主要丝氨酸蛋白酶抑制剂(丝氨酸蛋白酶抑制剂)失活,即α1-蛋白酶抑制剂和α1-抗糜蛋白酶。令人惊讶的是,这种起作用的金属蛋白酶被鉴定为人间质胶原酶(基质金属蛋白酶-1),一种迄今为止其唯一已知的生理底物一直被认为是细胞外基质分子胶原蛋白的酶。该金属蛋白酶通过在与胶原大分子中水解位点无关的位点切割肽键来使丝氨酸蛋白酶抑制剂失活。氨基末端序列分析将丝氨酸蛋白酶抑制剂中的切割位点定位到其各自反应位点中心附近的区域,这些区域位于大的疏水残基氨基末端一侧的三个不同肽键处。总之,这些数据表明基质金属蛋白酶-1展示了扩展的底物谱,支持结缔组织更新和丝氨酸蛋白酶抑制剂功能之间新界面的存在。