Suppr超能文献

一例羊水穿刺术后并发感染性休克、弥散性血管内凝血并急性心肌梗死的病例。

A case of septic shock and disseminated intravascular coagulation complicated by acute myocardial infarction following amniocentesis.

作者信息

Kim Kye Hun, Jeong Myung Ho, Chung Ik Joo, Cho Jeong Gwan, Song Tae Bok, Park Jong Chun, Kang Jung Chaee

机构信息

Department of Cardiovascular Medicine, Chonnam National University Hospital, Chonnam National University Research Institute of Medical Sciences, Gwangju, Korea.

出版信息

Korean J Intern Med. 2005 Dec;20(4):325-9. doi: 10.3904/kjim.2005.20.4.325.

Abstract

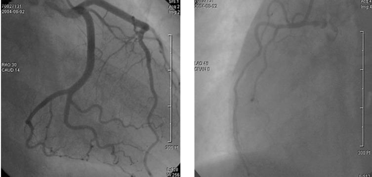
Maternal septic shock and disseminated intravascular coagulation (DIC) following amniocentesis is a relatively rare condition, and its incidence is only 0.03 approximately 0.19%. Acute myocardial infarction (AMI) associated with DIC is also rare. We report here on a 40-year-old female patient who had septic shock and DIC that was complicated by AMI following amniocentesis. The possible mechanism of AMI in this patient may have been coronary artery thrombosis associated with DIC.

摘要

羊膜腔穿刺术后发生的产妇感染性休克和弥散性血管内凝血(DIC)是一种相对罕见的病症,其发病率仅约为0.03%至0.19%。与DIC相关的急性心肌梗死(AMI)也很罕见。我们在此报告一名40岁女性患者,她在羊膜腔穿刺术后发生感染性休克和DIC,并并发AMI。该患者发生AMI的可能机制可能是与DIC相关的冠状动脉血栓形成。

https://cdn.ncbi.nlm.nih.gov/pmc/blobs/6358/3891079/7a29f956e7b8/kjim-20-325-g001.jpg

文献AI研究员

20分钟写一篇综述,助力文献阅读效率提升50倍。

立即体验

用中文搜PubMed

大模型驱动的PubMed中文搜索引擎

马上搜索

文档翻译

学术文献翻译模型,支持多种主流文档格式。

立即体验