Suppr超能文献

地塞米松对肿瘤坏死因子-α诱导的MCF-7细胞死亡的保护作用需要核因子-κB,且与蛋白激酶B无关。

Dexamethasone protection from TNF-alpha-induced cell death in MCF-7 cells requires NF-kappaB and is independent from AKT.

作者信息

Machuca Catalina, Mendoza-Milla Criselda, Córdova Emilio, Mejía Salvador, Covarrubias Luis, Ventura José, Zentella Alejandro

机构信息

Facultad de Estudios Superiores, ZARAGOZA, UNAM, CP 09230, Mexico D.F., Mexico.

出版信息

BMC Cell Biol. 2006 Feb 21;7:9. doi: 10.1186/1471-2121-7-9.

Abstract

BACKGROUND

The biochemical bases for hormone dependence in breast cancer have been recognized as an important element in tumor resistance, proliferation and metastasis. On this respect, dexamethasone (Dex) dependent protection against TNF-alpha-mediated cell death in the MCF-7 cell line has been demonstrated to be a useful model for the study of this type of cancer. Recently, cytoplasmic signaling induced by steroid receptors has been described, such as the activation of the PI3K/Akt and NF-kappaB pathways. We evaluated their possible participation in the Dex-dependent protection against TNF-alpha-mediated cell death.

RESULTS

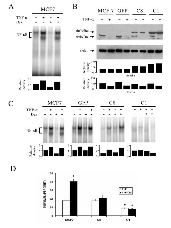
Cellular cultures of the MCF-7 cell line were exposed to either, TNF-alpha or TNF-alpha and Dex, and cell viability was evaluated. Next, negative dominants of PI3K and IkappaB-alpha, designed to block the PI3K/Akt and NF-kappaB pathways, respectively, were transfected and selection and evaluation of several clones overexpressing the mutants were examined. Also, correlation with inhibitor of apoptosis proteins (IAPs) expression was examined. Independent inhibition of these two pathways allowed us to test their participation in Dex-dependent protection against TNF-alpha-cytotoxicity in MCF-7 cells. Expression of the PI3K dominant negative mutant did not alter the protection conferred by Dex against TNF-alpha mediated cell death. Contrariwise, clones expressing the IkappaB-alpha dominant negative mutant lost the Dex-conferred protection against TNF-alpha. In these clones degradation of c-IAP was accelerated, while that of XIAP was remained unaffected.

CONCLUSION

NF-kappaB, but not PI3K/Akt activation, is required for the Dex protective effect against TNF-alpha-mediated cell death, and correlates with lack of degradation of the anti-apoptotic protein c-IAP1.

摘要

背景

乳腺癌中激素依赖性的生化基础已被认为是肿瘤耐药、增殖和转移的重要因素。在这方面,已证明在MCF-7细胞系中地塞米松(Dex)依赖性保护免受TNF-α介导的细胞死亡是研究此类癌症的有用模型。最近,已描述了类固醇受体诱导的细胞质信号传导,例如PI3K/Akt和NF-κB途径的激活。我们评估了它们可能参与Dex依赖性保护免受TNF-α介导的细胞死亡。

结果

将MCF-7细胞系的细胞培养物暴露于TNF-α或TNF-α与Dex中,并评估细胞活力。接下来,分别设计用于阻断PI3K/Akt和NF-κB途径的PI3K和IkappaB-α的负显性突变体进行转染,并对过表达突变体的几个克隆进行筛选和评估。此外,还检测了与凋亡抑制蛋白(IAPs)表达的相关性。对这两条途径的独立抑制使我们能够测试它们参与Dex依赖性保护免受MCF-7细胞中TNF-α细胞毒性的作用。PI3K显性负突变体的表达并未改变Dex对TNF-α介导的细胞死亡的保护作用。相反,表达IkappaB-α显性负突变体的克隆失去了Dex赋予的对TNF-α的保护作用。在这些克隆中,c-IAP的降解加速,而XIAP的降解未受影响。

结论

Dex对TNF-α介导的细胞死亡的保护作用需要NF-κB,而不是PI3K/Akt的激活,并且与抗凋亡蛋白c-IAP1的降解缺乏相关。

https://cdn.ncbi.nlm.nih.gov/pmc/blobs/04cb/1395311/8acc75279bc3/1471-2121-7-9-1.jpg

文献AI研究员

20分钟写一篇综述,助力文献阅读效率提升50倍。

立即体验

用中文搜PubMed

大模型驱动的PubMed中文搜索引擎

马上搜索

文档翻译

学术文献翻译模型,支持多种主流文档格式。

立即体验