Suppr超能文献

严重急性呼吸综合征冠状病毒的核衣壳蛋白通过直接结合核因子κB和CCAAT/增强子结合蛋白的调控元件来激活环氧化酶-2的表达。

Nucleocapsid protein of SARS-CoV activates the expression of cyclooxygenase-2 by binding directly to regulatory elements for nuclear factor-kappa B and CCAAT/enhancer binding protein.

作者信息

Yan Xiaohong, Hao Qian, Mu Yongxin, Timani Khalid Amine, Ye Linbai, Zhu Ying, Wu Jianguo

机构信息

The State Key Laboratory of Virology, College of Life Sciences, Wuhan University, Wuhan 430072, PR China.

出版信息

Int J Biochem Cell Biol. 2006;38(8):1417-28. doi: 10.1016/j.biocel.2006.02.003. Epub 2006 Mar 3.

Abstract

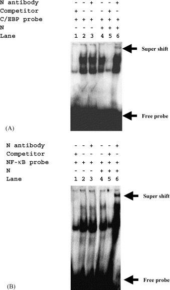
SARS-associated coronavirus (SARS-CoV) causes inflammation and damage to the lungs resulting in severe acute respiratory syndrome. To evaluate the molecular mechanisms behind this event, we investigated the roles of SARS-CoV proteins in regulation of the proinflammatory factor, cyclooxygenase-2 (COX-2). Individual viral proteins were tested for their abilities to regulate COX-2 gene expression. Results showed that the COX-2 promoter was activated by the nucleocapsid (N) protein in a concentration-dependent manner. Western blot analysis indicated that N protein was sufficient to stimulate the production of COX-2 protein in mammalian cells. COX-2 promoter mutations suggested that activation of COX-2 transcription depended on two regulatory elements, a nuclear factor-kappa B (NF-kappaB) binding site, and a CCAAT/enhancer binding protein (C/EBP) binding site. Electrophoretic mobility shift assay (EMSA) and chromatin immunoprecipitation (ChIP) demonstrated that SARS-CoV N protein bound directly to these regulatory sequences. Protein mutation analysis revealed that a Lys-rich motif of N protein acted as a nuclear localization signal and was essential for the activation of COX-2. In addition, a Leu-rich motif was found to be required for the N protein function. A sequence of 68 residuals was identified as a potential DNA-binding domain essential for activating COX-2 expression. We propose that SARS-CoV N protein causes inflammation of the lungs by activating COX-2 gene expression by binding directly to the promoter resulting in inflammation through multiple COX-2 signaling cascades.

摘要

严重急性呼吸综合征相关冠状病毒(SARS-CoV)会引发肺部炎症和损伤,导致严重急性呼吸综合征。为了评估这一过程背后的分子机制,我们研究了SARS-CoV蛋白在促炎因子环氧合酶-2(COX-2)调控中的作用。对单个病毒蛋白调节COX-2基因表达的能力进行了测试。结果显示,核衣壳(N)蛋白以浓度依赖的方式激活COX-2启动子。蛋白质印迹分析表明,N蛋白足以刺激哺乳动物细胞中COX-2蛋白的产生。COX-2启动子突变表明,COX-2转录的激活依赖于两个调控元件,即核因子κB(NF-κB)结合位点和CCAAT/增强子结合蛋白(C/EBP)结合位点。电泳迁移率变动分析(EMSA)和染色质免疫沉淀(ChIP)表明,SARS-CoV N蛋白直接与这些调控序列结合。蛋白质突变分析显示,N蛋白富含赖氨酸的基序作为核定位信号,对COX-2的激活至关重要。此外,发现富含亮氨酸的基序是N蛋白功能所必需的。一段68个残基的序列被确定为激活COX-2表达所必需的潜在DNA结合结构域。我们提出,SARS-CoV N蛋白通过直接结合启动子激活COX-2基因表达,从而通过多个COX-2信号级联反应导致肺部炎症。

https://cdn.ncbi.nlm.nih.gov/pmc/blobs/9aa5/7108415/91621ca345a6/gr2.jpg

文献AI研究员

20分钟写一篇综述,助力文献阅读效率提升50倍。

立即体验

用中文搜PubMed

大模型驱动的PubMed中文搜索引擎

马上搜索

文档翻译

学术文献翻译模型,支持多种主流文档格式。

立即体验