Suppr超能文献

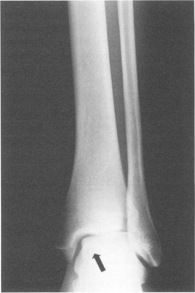
踝部 Maisonneuve 骨折脱位。

Maisonneuve fracture dislocation of the ankle.

出版信息

J Athl Train. 1992;27(3):268-9.

Abstract

Ligamentous injuries of the ankle are usually benign and may be managed satisfactorily by nonoperative measures. This is not true, however, of the Maisonneuve variant. In this paper we present a case report of a high school athlete who sustained a Maisonneuve fracture dislocation of the ankle. The diagnosis was missed initially, because of an incomplete examination. The subsequent physical and radiographic examination revealed the proper diagnosis. Guidelines for the evaluation and appropriate treatment are discussed.

摘要

踝关节韧带损伤通常为良性,通过非手术治疗可获得满意的效果。然而, Maisonneuve 变异型并非如此。本文报告了 1 例高中运动员踝关节 Maisonneuve 骨折-脱位的病例。由于检查不完整,最初漏诊。随后的体格检查和影像学检查显示了正确的诊断。讨论了评估和适当治疗的指南。

https://cdn.ncbi.nlm.nih.gov/pmc/blobs/37bb/1317258/2b0218db4b7c/jathtrain00035-0078-a.jpg

文献AI研究员

20分钟写一篇综述,助力文献阅读效率提升50倍。

立即体验

用中文搜PubMed

大模型驱动的PubMed中文搜索引擎

马上搜索

文档翻译

学术文献翻译模型,支持多种主流文档格式。

立即体验