• 文献检索
  • 文档翻译
  • 深度研究
  • 学术资讯
  • Suppr Zotero 插件Zotero 插件
  • 邀请有礼
  • 套餐&价格
  • 历史记录
应用&插件
Suppr Zotero 插件Zotero 插件浏览器插件Mac 客户端Windows 客户端微信小程序
定价
高级版会员购买积分包购买API积分包
服务
文献检索文档翻译深度研究API 文档MCP 服务
关于我们
关于 Suppr公司介绍联系我们用户协议隐私条款
关注我们

Suppr 超能文献

核心技术专利:CN118964589B侵权必究
粤ICP备2023148730 号-1Suppr @ 2026

文献检索

告别复杂PubMed语法,用中文像聊天一样搜索,搜遍4000万医学文献。AI智能推荐,让科研检索更轻松。

立即免费搜索

文件翻译

保留排版,准确专业,支持PDF/Word/PPT等文件格式,支持 12+语言互译。

免费翻译文档

深度研究

AI帮你快速写综述,25分钟生成高质量综述,智能提取关键信息,辅助科研写作。

立即免费体验

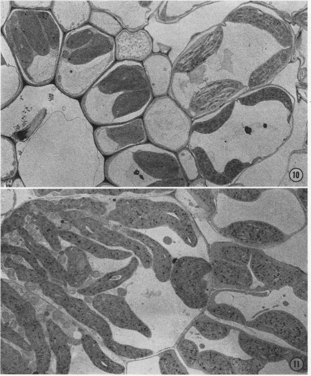
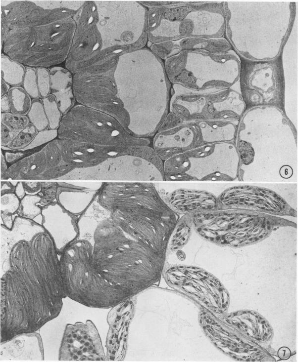
不同光合作用速率叶片中叶绿体和其他细胞器的结构和分布。

Structure and distribution of chloroplasts and other organelles in leaves with various rates of photosynthesis.

机构信息

Department of Biochemistry, University of Georgia, Athens, Georgia 30601.

出版信息

Plant Physiol. 1971 Jan;47(1):15-23. doi: 10.1104/pp.47.1.15.

DOI:10.1104/pp.47.1.15
PMID:16657572
原文链接:https://pmc.ncbi.nlm.nih.gov/articles/PMC365804/
Abstract

The ultrastructure and distribution of chloroplasts, mitochondria, peroxisomes, and other cellular constituents have been examined in cross sections of leaves from plants with either high or low photosynthetic capacity. Photosynthetic capacity of a given plant cannot be correlated with the presence or absence of grana in bundle sheath cell chloroplasts, the presence or absence of starch grains in bundle sheath or mesophyll cell chloroplasts, the chloroplast size in bundle sheath or mesophyll cells, or the location of chloroplasts within bundle sheath cells. We conclude that the number and concentration of chloroplasts, mitochondria, and peroxisomes in bundle sheath cells is the most reliable anatomical criterion presently available for determining the photosynthetic capacity of a given plant.

摘要

已经在高光合能力和低光合能力植物的叶片横切面上检查了叶绿体、线粒体、过氧化物酶体和其他细胞成分的超微结构和分布。 特定植物的光合能力不能与束鞘细胞叶绿体中嵴的存在或不存在、束鞘或叶肉细胞叶绿体中淀粉粒的存在或不存在、束鞘或叶肉细胞中叶绿体的大小或叶绿体在束鞘细胞内的位置相关联。 我们得出结论,束鞘细胞中叶绿体、线粒体和过氧化物酶体的数量和浓度是目前确定给定植物光合能力的最可靠的解剖学标准。

https://cdn.ncbi.nlm.nih.gov/pmc/blobs/e987/365804/848ef033840a/plntphys00250-0028-a.jpg
https://cdn.ncbi.nlm.nih.gov/pmc/blobs/e987/365804/9ddade125348/plntphys00250-0023-a.jpg
https://cdn.ncbi.nlm.nih.gov/pmc/blobs/e987/365804/181dba95913c/plntphys00250-0024-a.jpg
https://cdn.ncbi.nlm.nih.gov/pmc/blobs/e987/365804/be3f68fdef79/plntphys00250-0025-a.jpg
https://cdn.ncbi.nlm.nih.gov/pmc/blobs/e987/365804/287048ef8cbb/plntphys00250-0026-a.jpg
https://cdn.ncbi.nlm.nih.gov/pmc/blobs/e987/365804/4444b1effe3f/plntphys00250-0027-a.jpg
https://cdn.ncbi.nlm.nih.gov/pmc/blobs/e987/365804/848ef033840a/plntphys00250-0028-a.jpg
https://cdn.ncbi.nlm.nih.gov/pmc/blobs/e987/365804/9ddade125348/plntphys00250-0023-a.jpg
https://cdn.ncbi.nlm.nih.gov/pmc/blobs/e987/365804/181dba95913c/plntphys00250-0024-a.jpg
https://cdn.ncbi.nlm.nih.gov/pmc/blobs/e987/365804/be3f68fdef79/plntphys00250-0025-a.jpg
https://cdn.ncbi.nlm.nih.gov/pmc/blobs/e987/365804/287048ef8cbb/plntphys00250-0026-a.jpg
https://cdn.ncbi.nlm.nih.gov/pmc/blobs/e987/365804/4444b1effe3f/plntphys00250-0027-a.jpg
https://cdn.ncbi.nlm.nih.gov/pmc/blobs/e987/365804/848ef033840a/plntphys00250-0028-a.jpg

相似文献

1
Structure and distribution of chloroplasts and other organelles in leaves with various rates of photosynthesis.不同光合作用速率叶片中叶绿体和其他细胞器的结构和分布。
Plant Physiol. 1971 Jan;47(1):15-23. doi: 10.1104/pp.47.1.15.
2
Localization of photosynthetic electron transport components in mesophyll and bundle sheath chloroplasts of Zea mays.玉米叶肉细胞和维管束鞘叶绿体中光合电子传递组分的定位
Arch Biochem Biophys. 1983 Jul 1;224(1):19-28. doi: 10.1016/0003-9861(83)90186-8.
3
Organization of the photosynthetic membrane in maize mesophyll and bundle sheath chloroplasts.玉米叶肉细胞和维管束鞘叶绿体中光合膜的组织方式。
Biochim Biophys Acta. 1977 Feb 7;459(2):145-56. doi: 10.1016/0005-2728(77)90018-4.
4
Post-transcriptional control of cell type-specific gene expression in bundle sheath and mesophyll chloroplasts of Amaranthus hypochondriacus.苋属植物叶肉和维管束鞘叶绿体中细胞类型特异性基因表达的转录后调控
Plant Mol Biol. 1993 Jun;22(3):397-410. doi: 10.1007/BF00015971.
5
Photosystem II Activity in Agranal Bundle Sheath Chloroplasts from Zea mays.玉米无基粒维管束鞘叶绿体中的光系统II活性
Plant Physiol. 1972 Apr;49(4):461-6. doi: 10.1104/pp.49.4.461.
6
Photosynthesis of Grass Species Differing in Carbon Dioxide Fixation Pathways : VIII. Ultrastructural Characteristics of Panicum Species in the Laxa Group.具有不同二氧化碳固定途径的禾本科植物的光合作用:VIII. 拉克斯组黍属植物的超微结构特征
Plant Physiol. 1983 Feb;71(2):425-31. doi: 10.1104/pp.71.2.425.
7
Isolation of Intact and Functional Chloroplasts from Mesophyll and Bundle Sheath Protoplasts of the C(4) Plant Panicum miliaceum.从C4植物黍的叶肉和维管束鞘原生质体中分离完整且有功能的叶绿体
Plant Physiol. 1979 May;63(5):821-7. doi: 10.1104/pp.63.5.821.
8
Fluorescence and Delayed Light Emission from Mesophyll and Bundle Sheath Cells in Leaves of Normal and Salt-Treated Panicum miliaceum.正常和盐处理粟叶片中叶肉细胞和维管束鞘细胞的荧光与延迟发光
Plant Physiol. 1989 Jan;89(1):211-9. doi: 10.1104/pp.89.1.211.
9
Photosynthesis-related characteristics of the midrib and the interveinal lamina in leaves of the C3-CAM intermediate plant Mesembryanthemum crystallinum.C3-CAM中间型植物冰叶日中花叶片中脉和叶脉间叶片的光合作用相关特性
Ann Bot. 2016 Jun;117(7):1141-51. doi: 10.1093/aob/mcw049. Epub 2016 Apr 18.
10
Photochemical properties of mesophyll and bundle sheath chloroplasts of maize.玉米叶肉和维管束鞘叶绿体的光化学特性
Plant Physiol. 1973 Sep;52(3):257-62. doi: 10.1104/pp.52.3.257.

引用本文的文献

1
Exploring natural variation of photosynthesis in a site-specific manner: evolution, progress, and prospects.探究光合作用的种内特异性自然变异:演化、进展与展望。
Planta. 2019 Oct;250(4):1033-1050. doi: 10.1007/s00425-019-03223-1. Epub 2019 Jun 28.
2
The Rubisco Chaperone BSD2 May Regulate Chloroplast Coverage in Maize Bundle Sheath Cells.Rubisco 伴侣蛋白 BSD2 可能调节玉米叶鞘细胞中的叶绿体覆盖度。
Plant Physiol. 2017 Dec;175(4):1624-1633. doi: 10.1104/pp.17.01346. Epub 2017 Oct 31.
3
Plant-herbivore interactions : The indigestibility of C bundle sheath cells by grasshoppers.

本文引用的文献

1
Photosynthesis: Temperate and Tropical Characteristics within a Single Grass Genus.光合作用:单一草属内的温带和热带特性。
Science. 1969 Jan 3;163(3862):78-9. doi: 10.1126/science.163.3862.78.
2
Cellular Localization of CO(2) Fixation and Translocation of Metabolites.CO2 固定和代谢产物转运的细胞定位。
Plant Physiol. 1969 Jul;44(7):1063-8. doi: 10.1104/pp.44.7.1063.
3
Photosynthetic Activity of Chloroplasts Isolated From Bermudagrass (Cynodon dactylon L.), a Species With a High Photosynthetic Capacity.从具有高光合能力的物种狗牙根(Cynodon dactylon L.)中分离出的叶绿体的光合活性。
植物-食草动物的相互作用:蝗虫对维管束鞘细胞的难消化性。
Oecologia. 1976 Jun;26(2):151-156. doi: 10.1007/BF00582893.
4
Biochemical and cytological relationships in C4 plants.C4 植物的生化和细胞学关系。
Planta. 1974 Dec;119(4):279-300. doi: 10.1007/BF00388331.
5
Leaf anatomical characteristics in Flaveria trinervia (C4), Flaveria brownii (C 4-like) and their F 1 hybrid.三脉紫菀(C4)、佛氏紫菀(C4-样)及其 F1 杂种的叶解剖特征。
Photosynth Res. 1990 Oct;26(1):49-57. doi: 10.1007/BF00048976.
6
Systematics of disakisperma (poaceae, chloridoideae, chlorideae).双稃草属(禾本科,虎尾草亚科,虎尾草族)的系统学
PhytoKeys. 2013 Sep 27(26):21-70. doi: 10.3897/phytokeys.26.5649. eCollection 2013.
7
C4GEM, a genome-scale metabolic model to study C4 plant metabolism.C4GEM,一个用于研究 C4 植物代谢的基因组规模代谢模型。
Plant Physiol. 2010 Dec;154(4):1871-85. doi: 10.1104/pp.110.166488. Epub 2010 Oct 25.
8
Leaf anatomy of c(3)-c(4) species as related to evolution of c(4) photosynthesis.C3-C4 种叶片解剖结构与 C4 光合作用进化的关系。
Plant Physiol. 1989 Dec;91(4):1543-50. doi: 10.1104/pp.91.4.1543.
9
Regulation of Starch Synthesis in the Bundle Sheath and Mesophyll of Zea mays L. : Intercellular Compartmentalization of Enzymes of Starch Metabolism and the Properties of the ADPglucose Pyrophosphorylases.玉米束鞘和叶肉中淀粉合成的调节:淀粉代谢酶的细胞间区室化和 ADP-葡萄糖焦磷酸化酶的性质。
Plant Physiol. 1987 Mar;83(3):621-7. doi: 10.1104/pp.83.3.621.
10
Photosynthesis of Grass Species Differing in Carbon Dioxide Fixation Pathways : VIII. Ultrastructural Characteristics of Panicum Species in the Laxa Group.具有不同二氧化碳固定途径的禾本科植物的光合作用:VIII. 拉克斯组黍属植物的超微结构特征
Plant Physiol. 1983 Feb;71(2):425-31. doi: 10.1104/pp.71.2.425.
Plant Physiol. 1969 May;44(5):649-54. doi: 10.1104/pp.44.5.649.
4
Continuity of the Chloroplast Membrane Systems in Zea mays L.叶绿体膜系统在玉米中的连续性
Plant Physiol. 1968 Sep;43(9):1325-31. doi: 10.1104/pp.43.9.1325.
5
Photosynthesis by sugar-cane leaves. A new carboxylation reaction and the pathway of sugar formation.甘蔗叶片的光合作用。一种新的羧化反应和糖分形成途径。
Biochem J. 1966 Oct;101(1):103-11. doi: 10.1042/bj1010103.
6
Carbon dioxide compensation points in related plant species.相关植物物种的二氧化碳补偿点。
Science. 1969 Apr 11;164(3876):187-8. doi: 10.1126/science.164.3876.187.