Suppr超能文献

小鼠β1,4-半乳糖基转移酶:在精子发生过程中,mRNA的数量和结构均受到调控。

Murine beta 1,4-galactosyltransferase: both the amounts and structure of the mRNA are regulated during spermatogenesis.

作者信息

Shaper N L, Wright W W, Shaper J H

机构信息

Cell Structure and Function Laboratory, Oncology Center, Johns Hopkins University, Baltimore, MD 21205.

出版信息

Proc Natl Acad Sci U S A. 1990 Jan;87(2):791-5. doi: 10.1073/pnas.87.2.791.

Abstract

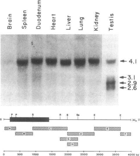
Previously we have shown that the gene encoding murine beta 1,4-galactosyltransferase (beta 1,4-GT; UDPgalactose:N-acetyl-D-glucosaminyl-glycopeptide 4-beta-D-galactosyltransferase, EC 2.4.1.38) is unusual in that it specifies two sets of mRNAs of about 3.9 and 4.1 kilobases (kb). Translation of the 3.9- and 4.1-kb mRNAs results in the predicted synthesis of two related membrane-bound forms of the protein of 386 amino acids (short form) and 399 amino acids (long form), respectively. In this study we have examined the expression of beta 1,4-GT during murine spermatogenesis. Spermatogonia contain a 4.1-kb transcript that is comparable in size to the beta 1,4-GT mRNA identified in somatic cells. During differentiation from spermatogonia (2n) to pachytene spermatocytes (4n), the amount of beta 1,4-GT mRNA is reduced to barely detectable levels. Continued differentiation to round spermatids (n) is coincident with a renewed production of beta 1,4-GT mRNA to levels comparable with those detected in spermatogonia. However, the characteristic 4.1-kb mRNA detected in spermatogonia is replaced by two truncated transcripts of 2.9 and 3.1 kb. By S1 nuclease analysis, the 2.9- and 3.1-kb transcripts were shown to encode the same open reading frame as the 4.1-kb transcript found in somatic cells. The shorter round spermatid transcripts arise as a consequence of the use of alternative poly(A) signals. Lastly, we show that, in direct contrast to all somatic tissues and cell lines examined to date, male germ cells synthesize only the long form of the beta 1,4-GT polypeptide.

摘要

此前我们已经表明,编码小鼠β1,4-半乳糖基转移酶(β1,4-GT;UDP-半乳糖:N-乙酰-D-葡糖胺基糖肽4-β-D-半乳糖基转移酶,EC 2.4.1.38)的基因不同寻常,因为它可产生两组约3.9和4.1千碱基(kb)的mRNA。3.9 kb和4.1 kb mRNA的翻译分别导致预测合成两种相关的膜结合形式的蛋白质,即386个氨基酸的短形式和399个氨基酸的长形式。在本研究中,我们检测了β1,4-GT在小鼠精子发生过程中的表达。精原细胞含有一个4.1 kb的转录本,其大小与在体细胞中鉴定出的β1,4-GT mRNA相当。在从精原细胞(2n)分化为粗线期精母细胞(4n)的过程中,β1,4-GT mRNA的量减少到几乎检测不到的水平。继续分化为圆形精子细胞(n)时,β1,4-GT mRNA又重新产生,其水平与在精原细胞中检测到的相当。然而,在精原细胞中检测到的特征性4.1 kb mRNA被两个2.9 kb和3.1 kb的截短转录本所取代。通过S1核酸酶分析表明,2.9 kb和3.1 kb的转录本与在体细胞中发现的4.1 kb转录本编码相同的开放阅读框。较短的圆形精子细胞转录本是由于使用了替代的聚腺苷酸化信号而产生的。最后,我们表明,与迄今为止检测的所有体细胞组织和细胞系形成直接对比的是,雄性生殖细胞仅合成β1,4-GT多肽的长形式。

https://cdn.ncbi.nlm.nih.gov/pmc/blobs/f9c7/53352/d20caa53d5cc/pnas01027-0298-a.jpg

文献检索

告别复杂PubMed语法,用中文像聊天一样搜索,搜遍4000万医学文献。AI智能推荐,让科研检索更轻松。

立即免费搜索

文件翻译

保留排版,准确专业,支持PDF/Word/PPT等文件格式,支持 12+语言互译。

免费翻译文档

深度研究

AI帮你快速写综述,25分钟生成高质量综述,智能提取关键信息,辅助科研写作。

立即免费体验