• 文献检索
  • 文档翻译
  • 深度研究
  • 学术资讯
  • Suppr Zotero 插件Zotero 插件
  • 邀请有礼
  • 套餐&价格
  • 历史记录
应用&插件
Suppr Zotero 插件Zotero 插件浏览器插件Mac 客户端Windows 客户端微信小程序
定价
高级版会员购买积分包购买API积分包
服务
文献检索文档翻译深度研究API 文档MCP 服务
关于我们
关于 Suppr公司介绍联系我们用户协议隐私条款
关注我们

Suppr 超能文献

核心技术专利:CN118964589B侵权必究
粤ICP备2023148730 号-1Suppr @ 2026

文献检索

告别复杂PubMed语法,用中文像聊天一样搜索,搜遍4000万医学文献。AI智能推荐,让科研检索更轻松。

立即免费搜索

文件翻译

保留排版,准确专业,支持PDF/Word/PPT等文件格式,支持 12+语言互译。

免费翻译文档

深度研究

AI帮你快速写综述,25分钟生成高质量综述,智能提取关键信息,辅助科研写作。

立即免费体验

150例非霍奇金淋巴瘤患者的nm23-H1蛋白表达及基因突变情况

nm23-H1 protein expression and gene mutation in 150 patients with non-Hodgkin's lymphomas.

作者信息

Lee Ju-Han, Cho Su Jin, Zhang Xianglan, Zheng Zhenlong, Lee Eung Seok, Kim Aeree, Kim Young-Sik, Chae Yang-Seok, Kim Insun

机构信息

Department of Pathology, College of Medicine, Korea University, Guro-gu, Seoul, Korea.

出版信息

J Korean Med Sci. 2006 Aug;21(4):645-51. doi: 10.3346/jkms.2006.21.4.645.

DOI:10.3346/jkms.2006.21.4.645
PMID:16891807
原文链接:https://pmc.ncbi.nlm.nih.gov/articles/PMC2729885/
Abstract

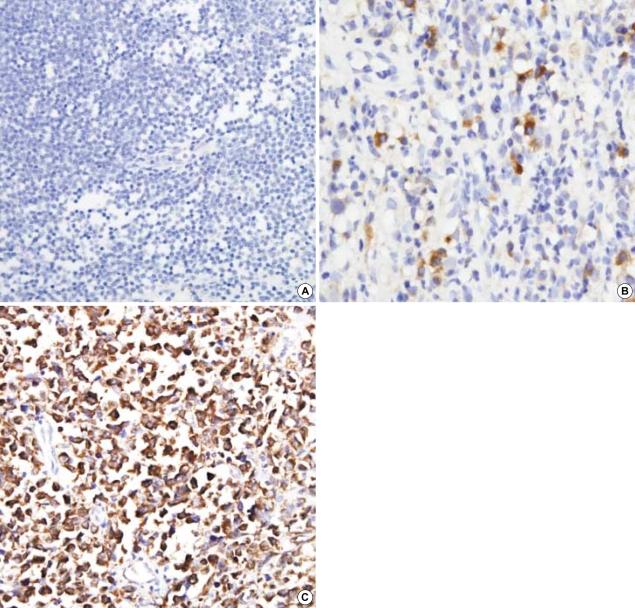
The metastasis-suppressing role of the nm23 gene in the metastatic spread of malignant tumor is still debated. We examined the nm23-H1 protein expression and gene mutation in non-Hodgkin's lymphomas to compare with the clinicopathologic parameters. The expression of nm23-H1 protein was immunohistochemically examined in 150 cases of non-Hodgkin's lymphomas; 85 diffuse large B cell lymphomas (DL-BCL), 18 marginal zone B cell lymphomas (MZL), 3 mantle cell lymphomas, 25 peripheral T cell lymphomas, not otherwise specified (TCLNOS), and 19 NK/T cell lymphomas (NK/T). Eighty-one cases (58 DLBCL, 6 MZL, 4 TCLNOS, and 13 NK/T) were studied for nm23-H1 gene mutation in exon 1 to 5. The high expression of nm23-H1 protein was associated with the high IPI score (p=0.019) and the low survival rate of the patients (p=0.0039). The gene mutation of nm23-H1 was detected in 10.3% of DLBCL and 30.7% of NK/T; but none in MZL and TCLNOS. The mutation was found in exon 1 in 5 cases, exon 2 in two cases, exon 4 in one case and both exon 1 and 2 in two cases. Our results suggest that the expression of nm23-H1 protein can be used as a poor prognostic marker in non-Hodgkin's lymphomas, and the mutational change of gene may operate in the lymphomagenesis.

摘要

nm23基因在恶性肿瘤转移扩散中的抑转移作用仍存在争议。我们检测了非霍奇金淋巴瘤中nm23-H1蛋白的表达及基因突变情况,并与临床病理参数进行比较。采用免疫组织化学方法检测了150例非霍奇金淋巴瘤中nm23-H1蛋白的表达,其中包括85例弥漫性大B细胞淋巴瘤(DL-BCL)、18例边缘区B细胞淋巴瘤(MZL)、3例套细胞淋巴瘤、25例未另行特指的外周T细胞淋巴瘤(TCLNOS)和19例NK/T细胞淋巴瘤(NK/T)。对81例患者(58例DLBCL、6例MZL、4例TCLNOS和13例NK/T)的nm23-H1基因外显子1至5进行了基因突变检测。nm23-H1蛋白的高表达与高国际预后指数(IPI)评分相关(p=0.019),且与患者低生存率相关(p=0.0039)。在10.3%的DLBCL和30.7%的NK/T中检测到nm23-H1基因突变,而在MZL和TCLNOS中未检测到。突变分别发生在外显子1的5例、外显子2的2例、外显子4的1例以及外显子1和2的2例。我们的数据表明,nm23-H1蛋白的表达可作为非霍奇金淋巴瘤预后不良的标志物,且基因的突变改变可能在淋巴瘤发生过程中起作用。

https://cdn.ncbi.nlm.nih.gov/pmc/blobs/4416/2729885/cbcdeed42d72/jkms-21-645-g005.jpg
https://cdn.ncbi.nlm.nih.gov/pmc/blobs/4416/2729885/d0bda1398a4a/jkms-21-645-g001.jpg
https://cdn.ncbi.nlm.nih.gov/pmc/blobs/4416/2729885/4f003cf5e6ef/jkms-21-645-g002.jpg
https://cdn.ncbi.nlm.nih.gov/pmc/blobs/4416/2729885/f4fa3bb1807b/jkms-21-645-g003.jpg
https://cdn.ncbi.nlm.nih.gov/pmc/blobs/4416/2729885/d7e412b9bf8a/jkms-21-645-g004.jpg
https://cdn.ncbi.nlm.nih.gov/pmc/blobs/4416/2729885/cbcdeed42d72/jkms-21-645-g005.jpg
https://cdn.ncbi.nlm.nih.gov/pmc/blobs/4416/2729885/d0bda1398a4a/jkms-21-645-g001.jpg
https://cdn.ncbi.nlm.nih.gov/pmc/blobs/4416/2729885/4f003cf5e6ef/jkms-21-645-g002.jpg
https://cdn.ncbi.nlm.nih.gov/pmc/blobs/4416/2729885/f4fa3bb1807b/jkms-21-645-g003.jpg
https://cdn.ncbi.nlm.nih.gov/pmc/blobs/4416/2729885/d7e412b9bf8a/jkms-21-645-g004.jpg
https://cdn.ncbi.nlm.nih.gov/pmc/blobs/4416/2729885/cbcdeed42d72/jkms-21-645-g005.jpg

相似文献

1
nm23-H1 protein expression and gene mutation in 150 patients with non-Hodgkin's lymphomas.150例非霍奇金淋巴瘤患者的nm23-H1蛋白表达及基因突变情况
J Korean Med Sci. 2006 Aug;21(4):645-51. doi: 10.3346/jkms.2006.21.4.645.
2
Clinical significance of nm23-H1 proteins expressed on cell surface in non-Hodgkin's lymphoma.非霍奇金淋巴瘤细胞表面表达的nm23-H1蛋白的临床意义
Leukemia. 2003 Jan;17(1):196-202. doi: 10.1038/sj.leu.2402699.
3
Frequent alteration of MDM2 and p53 in the molecular progression of recurring non-Hodgkin's lymphoma.复发性非霍奇金淋巴瘤分子进展中MDM2和p53的频繁改变。
Histopathology. 2002 Oct;41(4):322-30. doi: 10.1046/j.1365-2559.2002.01506.x.
4
Variability of nm23-H1/NDPK-A expression in human lymphomas and its relation to tumour aggressiveness.nm23-H1/NDPK-A在人类淋巴瘤中的表达变异性及其与肿瘤侵袭性的关系。
Br J Cancer. 1996 Dec;74(11):1693-8. doi: 10.1038/bjc.1996.616.
5
Clinical significance of intracytoplasmic nm23-H1 expression in diffuse large B-cell lymphoma.弥漫性大B细胞淋巴瘤中细胞质nm23-H1表达的临床意义
Clin Cancer Res. 2004 Apr 1;10(7):2482-90. doi: 10.1158/1078-0432.ccr-03-0085.
6
Expression of CD95 antigen and Bcl-2 protein in non-Hodgkin's lymphomas and Hodgkin's disease.非霍奇金淋巴瘤和霍奇金病中CD95抗原与Bcl-2蛋白的表达
Am J Pathol. 1996 Mar;148(3):847-53.
7
Expression of nm23-H1 is associated with poor prognosis in peripheral T-cell lymphoma.nm23-H1的表达与外周T细胞淋巴瘤的不良预后相关。
Br J Haematol. 2003 Nov;123(4):621-30. doi: 10.1046/j.1365-2141.2003.04668.x.
8
Prognostic implications of the differentiation inhibitory factor nm23-H1 protein in the plasma of aggressive non-Hodgkin's lymphoma.侵袭性非霍奇金淋巴瘤患者血浆中分化抑制因子nm23-H1蛋白的预后意义
Blood. 1999 Nov 15;94(10):3541-50.
9
Centroblastic and centroblastic/centrocytic lymphoma associated with a prominent epithelioid granulomatous response: a clinicopathologic study of 50 cases.伴有显著上皮样肉芽肿反应的中心母细胞性和中心母细胞性/中心细胞性淋巴瘤:50例临床病理研究
Mod Pathol. 2002 Jul;15(7):750-8. doi: 10.1097/01.MP.0000018980.83088.D3.
10
Serum nm23-H1 protein as a prognostic factor in hematological malignancies.血清nm23-H1蛋白作为血液系统恶性肿瘤的预后因素。
Leuk Lymphoma. 2002 Apr;43(4):859-67. doi: 10.1080/10428190290017006.

引用本文的文献

1
Molecular Pathogenesis of Peripheral T Cell Lymphoma.外周T细胞淋巴瘤的分子发病机制
Curr Hematol Malig Rep. 2015 Dec;10(4):429-37. doi: 10.1007/s11899-015-0289-7.

本文引用的文献

1
Clinical significance of intracytoplasmic nm23-H1 expression in diffuse large B-cell lymphoma.弥漫性大B细胞淋巴瘤中细胞质nm23-H1表达的临床意义
Clin Cancer Res. 2004 Apr 1;10(7):2482-90. doi: 10.1158/1078-0432.ccr-03-0085.
2
Expression of nm23-H1 is associated with poor prognosis in peripheral T-cell lymphoma.nm23-H1的表达与外周T细胞淋巴瘤的不良预后相关。
Br J Haematol. 2003 Nov;123(4):621-30. doi: 10.1046/j.1365-2141.2003.04668.x.
3
Protein interactions provide new insight into Nm23/nucleoside diphosphate kinase functions.
蛋白质相互作用为Nm23/核苷二磷酸激酶的功能提供了新的见解。
J Bioenerg Biomembr. 2003 Feb;35(1):67-71. doi: 10.1023/a:1023445907439.
4
Clinical significance of nm23-H1 proteins expressed on cell surface in non-Hodgkin's lymphoma.非霍奇金淋巴瘤细胞表面表达的nm23-H1蛋白的临床意义
Leukemia. 2003 Jan;17(1):196-202. doi: 10.1038/sj.leu.2402699.
5
Serum nm23-H1 protein as a prognostic factor in aggressive non-Hodgkin lymphoma.血清nm23-H1蛋白作为侵袭性非霍奇金淋巴瘤的预后因素。
Blood. 2001 Mar 1;97(5):1202-10. doi: 10.1182/blood.v97.5.1202.
6
Loss of nm23 expression predicts distal metastases and poorer survival for breast cancer.nm23表达缺失预示着乳腺癌的远处转移及较差的生存率。
Int J Oncol. 2001 Mar;18(3):587-91. doi: 10.3892/ijo.18.3.587.
7
Mutational analysis of the NM23.H1 gene in human breast cancer.
Cancer Genet Cytogenet. 2000 Sep;121(2):181-5. doi: 10.1016/s0165-4608(00)00250-8.
8
Increased activity of nm23-H1 gene in squamous cell carcinoma of the head and neck is associated with advanced disease and poor prognosis.头颈部鳞状细胞癌中nm23-H1基因活性增加与疾病进展和预后不良相关。
J Mol Med (Berl). 2000;78(2):111-8. doi: 10.1007/s001090000081.
9
nm23: unraveling its biological function in cell differentiation.nm23:揭示其在细胞分化中的生物学功能
J Cell Physiol. 2000 Feb;182(2):144-9. doi: 10.1002/(SICI)1097-4652(200002)182:2<144::AID-JCP2>3.0.CO;2-6.
10
Prognostic implications of the differentiation inhibitory factor nm23-H1 protein in the plasma of aggressive non-Hodgkin's lymphoma.侵袭性非霍奇金淋巴瘤患者血浆中分化抑制因子nm23-H1蛋白的预后意义
Blood. 1999 Nov 15;94(10):3541-50.