Udrisar D, Rodbell M
Laboratory of Cellular and Molecular Pharmacology, National Institute of Environmental Health Sciences, Research Triangle Park, NC 27709.
Proc Natl Acad Sci U S A. 1990 Aug;87(16):6321-5. doi: 10.1073/pnas.87.16.6321.
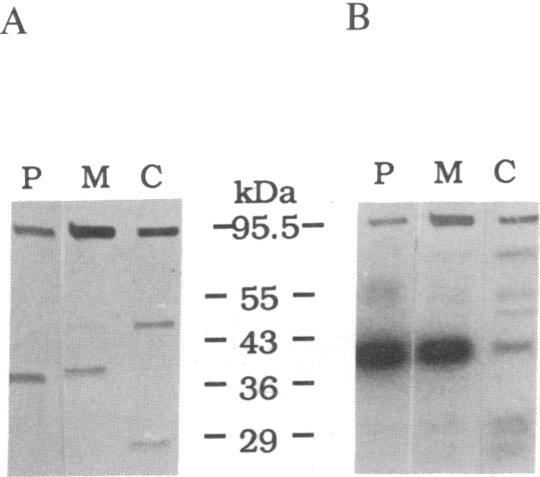
Guinea pig hepatocytes fractionated by differential centrifugation into plasma membrane-enriched, microsomal, and cytosolic fractions were examined for their content of alpha and beta subunits of heterotrimeric GTP-binding proteins (G proteins) involved in signal transduction. alpha subunits of stimulatory (Gs) and inhibitory (Gi) proteins were detected by immunoblots with antisera reactive with the carboxyl-terminal decapeptide regions of these proteins. Unexpectedly, antisera (including immunopurified) to the alpha subunit but not the beta subunit reacted with a band of 100-kDa proteins in both the microsomal and cytosolic fractions. The immunoreactive 100-kDa proteins are not substrates for ADP-ribosylation catalyzed by pertussis toxin, cholera toxin, or diptheria toxin. Protease digests of the 100-kDa proteins yielded immunoreactive peptides that are distinctly different from those obtained from protease digests of alpha subunits of heterotrimeric G proteins. The 100-kDa protein(s) reactive with antisera to Gi alpha subunit bind to GTP-agarose but not to ATP-agarose. It is concluded that the immunoreactive 100-kDa proteins in microsomal and cytosolic fractions are structurally distinct G proteins from those linked to receptors in the plasma membrane and other G proteins such as elongation factor 2. Conceivably, the 100-kDa proteins represent a new class of G proteins.
通过差速离心将豚鼠肝细胞分离为富含质膜、微粒体和胞质溶胶的组分,检测这些组分中参与信号转导的异源三聚体GTP结合蛋白(G蛋白)的α和β亚基含量。用与这些蛋白羧基末端十肽区域反应的抗血清通过免疫印迹法检测刺激性(Gs)和抑制性(Gi)蛋白的α亚基。出乎意料的是,针对α亚基而非β亚基的抗血清(包括免疫纯化的抗血清)与微粒体和胞质溶胶组分中的一条100 kDa蛋白条带发生反应。免疫反应性100 kDa蛋白不是百日咳毒素、霍乱毒素或白喉毒素催化的ADP核糖基化的底物。100 kDa蛋白的蛋白酶消化产生的免疫反应性肽与异源三聚体G蛋白α亚基的蛋白酶消化产物明显不同。与抗Giα亚基抗血清反应的100 kDa蛋白与GTP琼脂糖结合,但不与ATP琼脂糖结合。得出的结论是,微粒体和胞质溶胶组分中的免疫反应性100 kDa蛋白在结构上与质膜中与受体相连的G蛋白以及其他G蛋白(如延伸因子2)不同。可以想象,100 kDa蛋白代表一类新的G蛋白。