• 文献检索
  • 文档翻译
  • 深度研究
  • 学术资讯
  • Suppr Zotero 插件Zotero 插件
  • 邀请有礼
  • 套餐&价格
  • 历史记录
应用&插件
Suppr Zotero 插件Zotero 插件浏览器插件Mac 客户端Windows 客户端微信小程序
定价
高级版会员购买积分包购买API积分包
服务
文献检索文档翻译深度研究API 文档MCP 服务
关于我们
关于 Suppr公司介绍联系我们用户协议隐私条款
关注我们

Suppr 超能文献

核心技术专利:CN118964589B侵权必究
粤ICP备2023148730 号-1Suppr @ 2026

文献检索

告别复杂PubMed语法,用中文像聊天一样搜索,搜遍4000万医学文献。AI智能推荐,让科研检索更轻松。

立即免费搜索

文件翻译

保留排版,准确专业,支持PDF/Word/PPT等文件格式,支持 12+语言互译。

免费翻译文档

深度研究

AI帮你快速写综述,25分钟生成高质量综述,智能提取关键信息,辅助科研写作。

立即免费体验

内源性胰岛素样生长因子(IGF)结合蛋白在一名身材矮小患者的培养成纤维细胞中导致IGF-1抵抗。

Endogenous insulin-like growth factor (IGF) binding proteins cause IGF-1 resistance in cultured fibroblasts from a patient with short stature.

作者信息

Tollefsen S E, Heath-Monnig E, Cascieri M A, Bayne M L, Daughaday W H

机构信息

Edward Mallinckrodt Department of Pediatrics, Washington University School of Medicine, St.Louis, Missouri 63110.

出版信息

J Clin Invest. 1991 Apr;87(4):1241-50. doi: 10.1172/JCI115125.

DOI:10.1172/JCI115125
PMID:1707060
原文链接:https://pmc.ncbi.nlm.nih.gov/articles/PMC295145/
Abstract

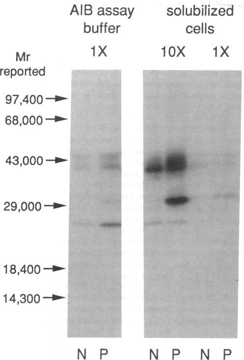
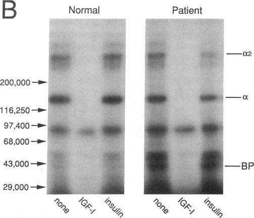
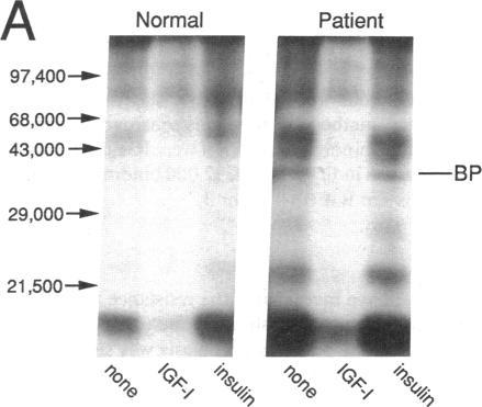
The ED50 of insulin-like growth factor (IGF)-I-stimulated alpha-aminoisobutyric acid (AIB) uptake (mean +/- SD) in cultured fibroblasts from a child with short stature that we have reported (1.40 +/- 0.24 nM), is significantly higher than the ED50 of IGF-I-stimulated AIB uptake in fibroblasts from 11 normal subjects (0.42 +/- 0.12 nM) and from 127 short children (0.35 +/- 0.11 nM). Similarly, the ED50 of IGF-I-stimulated thymidine incorporation in fibroblasts from this child is 2.8 times higher than that in fibroblasts from four normal subjects. To minimize potential modulation of IGF-I action by endogenous IGF binding proteins in these assays, fibroblast responsiveness to [Q3,A4,Y15,L16]IGF-I, an IGF-I variant that has a 600-fold reduced affinity for serum IGF binding proteins, has been examined. The biological activity of this variant is comparable in the patient's and normal fibroblasts, suggesting that the resistance to IGF-I action cannot be attributed to a defective IGF-I receptor. To investigate directly the possibility that IGF-I sensitivity in the patient's fibroblasts is reduced by endogenous IGF binding proteins (IGFBP), binding proteins that are secreted into AIB assay buffer during a 3-h collection and that are cell-associated at the end of the collection have been analyzed. Ligand blot analysis of conditioned AIB assay buffer demonstrates that fibroblasts from the patient secrete 1.3-2.2 times more of Mr 46,400/42,900, 32,000, and 26,800 binding proteins than normal fibroblasts. The major difference between fibroblasts from the patient and from normal subjects is a striking 10-fold increase in the amount of a cell surface Mr 32,000 binding protein in the patient's fibroblasts. The Mr 32,000 binding protein is similar in size to IGFB-1 and different from IGFBP-2 and IGFBP-3, but it does not cross-react with an antibody against IGFBP-1. We conclude that the resistance to IGF-I action in the patient's fibroblasts is caused by an abnormal production and/or cell association of IGF binding proteins.

摘要

我们曾报道过一名身材矮小儿童,其培养的成纤维细胞中胰岛素样生长因子(IGF)-I刺激的α-氨基异丁酸(AIB)摄取的半数有效剂量(ED50,均值±标准差)为(1.40±0.24 nM),显著高于11名正常受试者(0.42±0.12 nM)及127名身材矮小儿童(0.35±0.11 nM)的成纤维细胞中IGF-I刺激的AIB摄取的ED50。同样,该儿童成纤维细胞中IGF-I刺激的胸苷掺入的ED50比4名正常受试者的成纤维细胞中的高2.8倍。为了在这些检测中尽量减少内源性IGF结合蛋白对IGF-I作用的潜在调节,已检测了成纤维细胞对[Q3,A4,Y15,L16]IGF-I(一种对血清IGF结合蛋白亲和力降低600倍的IGF-I变体)的反应性。该变体在患者和成纤维细胞中的生物活性相当,这表明对IGF-I作用的抵抗不能归因于IGF-I受体缺陷。为了直接研究患者成纤维细胞中IGF-I敏感性降低是否由内源性IGF结合蛋白(IGFBP)引起,已分析了在3小时收集过程中分泌到AIB检测缓冲液中且在收集结束时与细胞相关的结合蛋白。对条件性AIB检测缓冲液的配体印迹分析表明,患者的成纤维细胞分泌的分子量为46,400/42,900、32,000和26,800的结合蛋白比正常成纤维细胞多1.3 - 2.2倍。患者和成纤维细胞之间的主要差异在于患者成纤维细胞中一种细胞表面分子量为32,000的结合蛋白的量显著增加了10倍。分子量为32,

https://cdn.ncbi.nlm.nih.gov/pmc/blobs/3ced/295145/7357a364cb6c/jcinvest00058-0122-b.jpg
https://cdn.ncbi.nlm.nih.gov/pmc/blobs/3ced/295145/3f7140de230d/jcinvest00058-0119-a.jpg
https://cdn.ncbi.nlm.nih.gov/pmc/blobs/3ced/295145/1c4c5200a943/jcinvest00058-0120-a.jpg
https://cdn.ncbi.nlm.nih.gov/pmc/blobs/3ced/295145/4245303ba675/jcinvest00058-0121-a.jpg
https://cdn.ncbi.nlm.nih.gov/pmc/blobs/3ced/295145/f4103ed1e0f1/jcinvest00058-0121-b.jpg
https://cdn.ncbi.nlm.nih.gov/pmc/blobs/3ced/295145/e0b6f61cb5d2/jcinvest00058-0121-c.jpg
https://cdn.ncbi.nlm.nih.gov/pmc/blobs/3ced/295145/d6d91c872fb2/jcinvest00058-0122-a.jpg
https://cdn.ncbi.nlm.nih.gov/pmc/blobs/3ced/295145/7357a364cb6c/jcinvest00058-0122-b.jpg
https://cdn.ncbi.nlm.nih.gov/pmc/blobs/3ced/295145/3f7140de230d/jcinvest00058-0119-a.jpg
https://cdn.ncbi.nlm.nih.gov/pmc/blobs/3ced/295145/1c4c5200a943/jcinvest00058-0120-a.jpg
https://cdn.ncbi.nlm.nih.gov/pmc/blobs/3ced/295145/4245303ba675/jcinvest00058-0121-a.jpg
https://cdn.ncbi.nlm.nih.gov/pmc/blobs/3ced/295145/f4103ed1e0f1/jcinvest00058-0121-b.jpg
https://cdn.ncbi.nlm.nih.gov/pmc/blobs/3ced/295145/e0b6f61cb5d2/jcinvest00058-0121-c.jpg
https://cdn.ncbi.nlm.nih.gov/pmc/blobs/3ced/295145/d6d91c872fb2/jcinvest00058-0122-a.jpg
https://cdn.ncbi.nlm.nih.gov/pmc/blobs/3ced/295145/7357a364cb6c/jcinvest00058-0122-b.jpg

相似文献

1
Endogenous insulin-like growth factor (IGF) binding proteins cause IGF-1 resistance in cultured fibroblasts from a patient with short stature.内源性胰岛素样生长因子(IGF)结合蛋白在一名身材矮小患者的培养成纤维细胞中导致IGF-1抵抗。
J Clin Invest. 1991 Apr;87(4):1241-50. doi: 10.1172/JCI115125.
2
Glycosylation of insulin-like growth factor binding protein-3 (IGFBP-3) is not required for potentiation of IGF-I action: evidence for processing of cell-bound IGFBP-3.胰岛素样生长因子结合蛋白-3(IGFBP-3)的糖基化对于增强IGF-I活性并非必需:细胞结合型IGFBP-3加工的证据
Endocrinology. 1991 Dec;129(6):3259-68. doi: 10.1210/endo-129-6-3259.
3
Insulin-like growth factor (IGF)-binding protein-3 blocks IGF-I-induced receptor down-regulation and cell desensitization in cultured bovine fibroblasts.胰岛素样生长因子(IGF)结合蛋白-3可阻断IGF-I诱导的培养牛成纤维细胞中的受体下调和细胞脱敏。
Endocrinology. 1991 Aug;129(2):710-6. doi: 10.1210/endo-129-2-710.
4
Structural and biological characterization of bovine insulin-like growth factor binding protein-3.牛胰岛素样生长因子结合蛋白-3的结构与生物学特性
Endocrinology. 1990 Dec;127(6):2795-803. doi: 10.1210/endo-127-6-2795.
5
Regulation of amino acid uptake and deoxyribonucleic acid synthesis in isolated human fetal fibroblasts and myoblasts: effect of human placental lactogen, somatomedin-C, multiplication-stimulating activity, and insulin.人胎儿成纤维细胞与成肌细胞中氨基酸摄取及脱氧核糖核酸合成的调节:人胎盘催乳素、生长调节素-C、增殖刺激活性及胰岛素的作用
J Clin Endocrinol Metab. 1986 Apr;62(4):753-60. doi: 10.1210/jcem-62-4-753.
6
Potentiation of insulin-like growth factor (IGF) action by IGF-binding protein-3: studies of underlying mechanism.胰岛素样生长因子结合蛋白-3对胰岛素样生长因子(IGF)作用的增强:潜在机制研究
Endocrinology. 1992 Jun;130(6):3191-9. doi: 10.1210/endo.130.6.1375895.
7
Factors regulating insulin-like growth factor-binding protein-3 binding, processing, and potentiation of insulin-like growth factor action.调节胰岛素样生长因子结合蛋白-3结合、加工及胰岛素样生长因子作用增强的因素。
Endocrinology. 1996 Jun;137(6):2286-92. doi: 10.1210/endo.137.6.8641177.
8
A unique receptor-independent mechanism by which insulinlike growth factor I regulates the availability of insulinlike growth factor binding proteins in normal and transformed human fibroblasts.胰岛素样生长因子I通过一种独特的不依赖受体的机制来调节正常和转化的人成纤维细胞中胰岛素样生长因子结合蛋白的可用性。
J Clin Invest. 1991 Oct;88(4):1354-61. doi: 10.1172/JCI115441.
9
Measurement of insulin-like growth factor I (IGF-I) responsiveness of fibroblasts of children with short stature: identification of a patient with IGF-I resistance.身材矮小儿童成纤维细胞胰岛素样生长因子I(IGF-I)反应性的测定:一例IGF-I抵抗患者的鉴定
J Clin Endocrinol Metab. 1987 Mar;64(3):501-7. doi: 10.1210/jcem-64-3-501.
10
Insulin-like growth factors (IGFs) reduce IGF-binding protein-4 (IGFBP-4) concentration and stimulate IGFBP-3 independently of IGF receptors in human fibroblasts and epidermal cells.胰岛素样生长因子(IGFs)可降低胰岛素样生长因子结合蛋白4(IGFBP - 4)的浓度,并在人成纤维细胞和表皮细胞中独立于IGF受体刺激胰岛素样生长因子结合蛋白3(IGFBP - 3)。
Endocrinology. 1992 Feb;130(2):985-93. doi: 10.1210/endo.130.2.1370799.

引用本文的文献

1
In premenopausal women with idiopathic osteoporosis, lower bone formation rate is associated with higher body fat and higher IGF-1.在特发性骨质疏松的绝经前妇女中,较低的骨形成率与较高的体脂肪和较高的 IGF-1 相关。
Osteoporos Int. 2022 Mar;33(3):659-672. doi: 10.1007/s00198-021-06196-8. Epub 2021 Oct 19.
2
Conventional and unconventional secretory proteins expressed with silkworm bombyxin signal peptide display functional fidelity.用家蚕抑咽侧体素信号肽表达的常规和非常规分泌蛋白表现出功能保真度。
Sci Rep. 2017 Nov 3;7(1):14499. doi: 10.1038/s41598-017-14833-8.
3
Clinical examples of disturbed IGF signaling: intrauterine and postnatal growth retardation due to mutations of the insulin-like growth factor I receptor (IGF-IR) gene.

本文引用的文献

1
Monoclonal antibodies to receptors for insulin and somatomedin-C.针对胰岛素和生长调节素-C受体的单克隆抗体。
J Biol Chem. 1983 May 25;258(10):6561-6.
2
Receptors for insulinlike growth factor I are defective in fibroblasts cultured from a patient with leprechaunism.一名妖精貌综合征患者培养的成纤维细胞中,胰岛素样生长因子I受体存在缺陷。
J Clin Invest. 1981 Nov;68(5):1356-65. doi: 10.1172/jci110383.
3
Ligand: a versatile computerized approach for characterization of ligand-binding systems.配体:一种用于表征配体结合系统的通用计算机化方法。
IGF信号紊乱的临床实例:由于胰岛素样生长因子I受体(IGF-IR)基因突变导致的宫内和出生后生长迟缓。
Rev Endocr Metab Disord. 2005 Aug;6(3):183-7. doi: 10.1007/s11154-005-3049-5.
Anal Biochem. 1980 Sep 1;107(1):220-39. doi: 10.1016/0003-2697(80)90515-1.
4
Pseudopituitary dwarfism due to resistance to somatomedin: a new syndrome.
Eur J Pediatr. 1984 Aug;142(3):186-8. doi: 10.1007/BF00442446.
5
Cleavage of structural proteins during the assembly of the head of bacteriophage T4.在噬菌体T4头部组装过程中结构蛋白的切割
Nature. 1970 Aug 15;227(5259):680-5. doi: 10.1038/227680a0.
6
Measurement of insulin-like growth factor I (IGF-I) responsiveness of fibroblasts of children with short stature: identification of a patient with IGF-I resistance.身材矮小儿童成纤维细胞胰岛素样生长因子I(IGF-I)反应性的测定:一例IGF-I抵抗患者的鉴定
J Clin Endocrinol Metab. 1987 Mar;64(3):501-7. doi: 10.1210/jcem-64-3-501.
7
Insulin-like growth factor-binding protein from human plasma. Purification and characterization.人血浆中的胰岛素样生长因子结合蛋白。纯化与特性鉴定。
J Biol Chem. 1986 Jul 5;261(19):8754-60.
8
Monoclonal antibody to the type I insulin-like growth factor (IGF-I) receptor blocks IGF-I receptor-mediated DNA synthesis: clarification of the mitogenic mechanisms of IGF-I and insulin in human skin fibroblasts.抗I型胰岛素样生长因子(IGF-I)受体的单克隆抗体可阻断IGF-I受体介导的DNA合成:对人皮肤成纤维细胞中IGF-I和胰岛素促有丝分裂机制的阐明。
Proc Natl Acad Sci U S A. 1986 Feb;83(3):664-8. doi: 10.1073/pnas.83.3.664.
9
Clarification of signaling pathways mediated by insulin and insulin-like growth factor I receptors in fibroblasts from patients with specific defect in insulin receptor.胰岛素受体存在特定缺陷的患者成纤维细胞中胰岛素和胰岛素样生长因子I受体介导的信号通路的阐明
Diabetes. 1988 Nov;37(11):1515-23. doi: 10.2337/diab.37.11.1515.
10
Growth hormone-dependent insulin-like growth factor (IGF) binding protein both inhibits and potentiates IGF-I-stimulated DNA synthesis in human skin fibroblasts.生长激素依赖性胰岛素样生长因子(IGF)结合蛋白既能抑制又能增强IGF-I刺激的人皮肤成纤维细胞中的DNA合成。
Biochem Biophys Res Commun. 1988 Oct 14;156(1):199-204. doi: 10.1016/s0006-291x(88)80824-6.