Suppr超能文献

神经嵴中ALK5信号缺陷会导致迁移后神经嵴细胞凋亡增加以及严重的流出道缺陷。

Defective ALK5 signaling in the neural crest leads to increased postmigratory neural crest cell apoptosis and severe outflow tract defects.

作者信息

Wang Jikui, Nagy Andre, Larsson Jonas, Dudas Marek, Sucov Henry M, Kaartinen Vesa

机构信息

Developmental Biology Program, The Saban Research Institute of Childrens Hospital Los Angeles, Department of Pathology, Keck School of Medicine, University of Southern California, Los Angeles, CA 90027, USA.

出版信息

BMC Dev Biol. 2006 Nov 1;6:51. doi: 10.1186/1471-213X-6-51.

Abstract

BACKGROUND

Congenital cardiovascular diseases are the most common form of birth defects in humans. A substantial portion of these defects has been associated with inappropriate induction, migration, differentiation and patterning of pluripotent cardiac neural crest stem cells. While TGF-beta-superfamily signaling has been strongly implicated in neural crest cell development, the detailed molecular signaling mechanisms in vivo are still poorly understood.

RESULTS

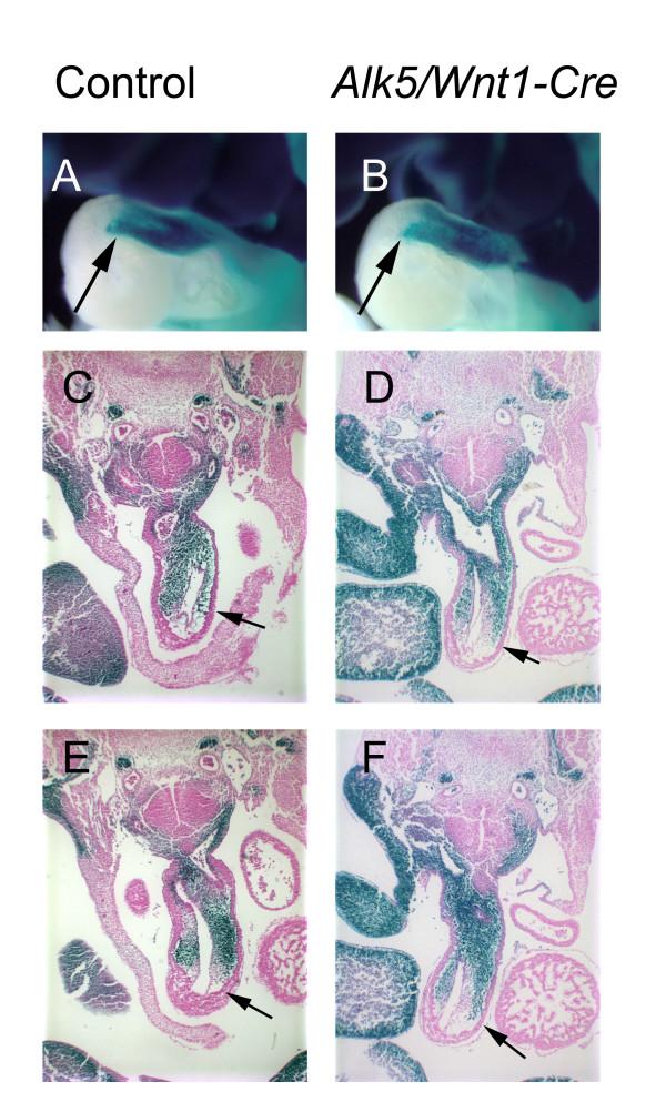
We deleted the TGF-beta type I receptor Alk5 specifically in the mouse neural crest cell lineage. Failure in signaling via ALK5 leads to severe cardiovascular and pharyngeal defects, including inappropriate remodeling of pharyngeal arch arteries, abnormal aortic sac development, failure in pharyngeal organ migration and persistent truncus arteriosus. While ALK5 is not required for neural crest cell migration, our results demonstrate that it plays an important role in the survival of post-migratory cardiac neural crest cells.

CONCLUSION

Our results demonstrate that ALK5-mediated signaling in neural crest cells plays an essential cell-autonomous role in the pharyngeal and cardiac outflow tract development.

摘要

背景

先天性心血管疾病是人类最常见的出生缺陷形式。这些缺陷中的很大一部分与多能心脏神经嵴干细胞的诱导、迁移、分化和模式形成不当有关。虽然转化生长因子-β超家族信号传导与神经嵴细胞发育密切相关,但体内详细的分子信号传导机制仍知之甚少。

结果

我们在小鼠神经嵴细胞谱系中特异性删除了转化生长因子-β I型受体Alk5。通过ALK5的信号传导失败会导致严重的心血管和咽部缺陷,包括咽弓动脉重塑不当、主动脉囊发育异常、咽器官迁移失败和永存动脉干。虽然ALK5不是神经嵴细胞迁移所必需的,但我们的结果表明它在迁移后心脏神经嵴细胞的存活中起重要作用。

结论

我们的结果表明,神经嵴细胞中ALK5介导的信号传导在咽部和心脏流出道发育中起着至关重要的细胞自主作用。

https://cdn.ncbi.nlm.nih.gov/pmc/blobs/7a97/1635039/c343cadafab9/1471-213X-6-51-1.jpg

文献AI研究员

20分钟写一篇综述,助力文献阅读效率提升50倍。

立即体验

用中文搜PubMed

大模型驱动的PubMed中文搜索引擎

马上搜索

文档翻译

学术文献翻译模型,支持多种主流文档格式。

立即体验