Suppr超能文献

表现为神经周围蔓延至海绵窦的腭部腺样囊性癌。

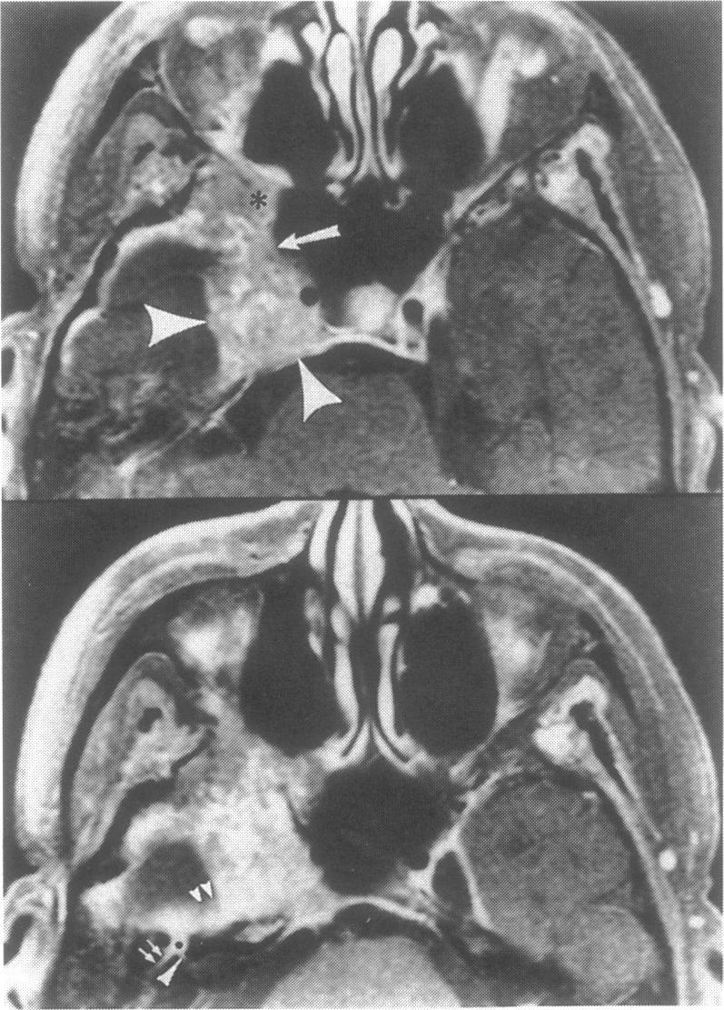
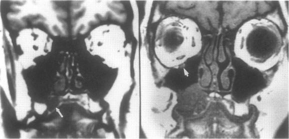
Palatal adenoid cystic carcinoma presenting as perineural spread to the cavernous sinus.

作者信息

Ginsberg L E, Demonte F

出版信息

Skull Base Surg. 1998;8(1):39-43. doi: 10.1055/s-2008-1058589.

Abstract

Adenoid cystic carcinoma of the hard or soft palate is a slow-growing, insidious disease with a tendency to spread via a perineural mechanism along the palatine branches of the maxillary division of the trigeminal nerve. Such spread may present first as a tumor in the pterygopalatine fossa or cavernous sinus. The purpose of this manuscript is to report three cases of palatal adenoid cystic carcinoma which presented as a mass in the cavernous sinus prior to discovery of the palate primary tumor. The imaging features of these cases are emphasized as is the need to search for a head and neck primary lesion when faced with a cavernous sinus mass.

摘要

硬腭或软腭的腺样囊性癌是一种生长缓慢、隐匿性疾病,有通过神经周围机制沿三叉神经上颌支的腭支扩散的倾向。这种扩散最初可能表现为翼腭窝或海绵窦内的肿瘤。本文的目的是报告三例腭腺样囊性癌病例,这些病例在发现腭部原发肿瘤之前,表现为海绵窦内的肿块。强调了这些病例的影像学特征,以及面对海绵窦肿块时寻找头颈部原发病变的必要性。

https://cdn.ncbi.nlm.nih.gov/pmc/blobs/bde3/1656665/076978ae67aa/skullbasesurg00010-0043-a.jpg

文献AI研究员

20分钟写一篇综述,助力文献阅读效率提升50倍。

立即体验

用中文搜PubMed

大模型驱动的PubMed中文搜索引擎

马上搜索

文档翻译

学术文献翻译模型,支持多种主流文档格式。

立即体验