Suppr超能文献

脑转移作为一名60岁男性黑素细胞性恶性外周神经鞘瘤的主要表现。

Brain metastases as primary manifestation of a melanocytic malignant peripheral nerve sheath tumor in a 60-year-old man.

作者信息

Tilgner Johannes, Müller Klaus, Ghanem Nadir, Lutterbach Johannes, Vesper Jan

机构信息

Dept. of Stereotactic Neurosurgery, Universitätsklinik Freiburg, Germany.

出版信息

BMC Neurol. 2007 Jan 16;7:2. doi: 10.1186/1471-2377-7-2.

Abstract

BACKGROUND

Malignant peripheral nerve sheath tumors are rare tumor entities that originate from peripheral nerve sheaths and have an unfavorable prognosis. Metastatic spread to the cerebral parenchyma is absolutely rare. This case report describes the clinical course in a 60-year-old man whose tumor came to medical attention because of a seizure.

CASE PRESENTATION

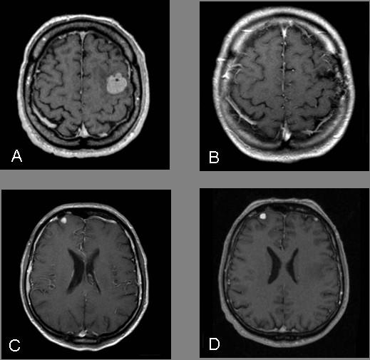
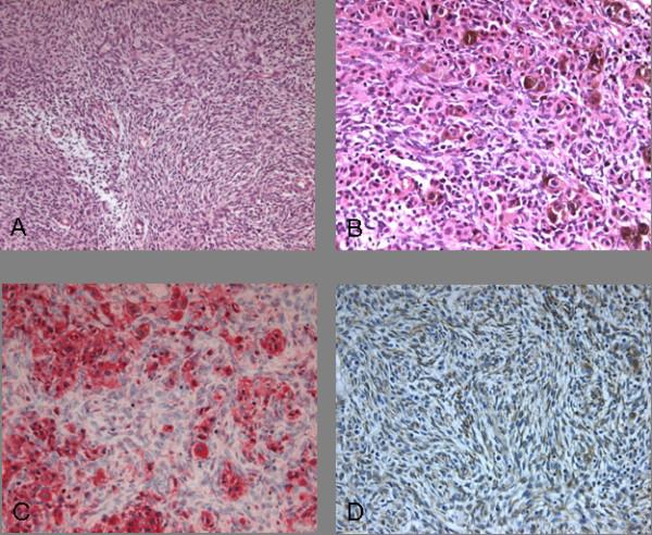
Magnetic resonance imaging demonstrated two intracerebral lesions. The symptomatic lesion was removed microneurosurgically and histology demonstrated a metastasis from a malignant peripheral nerve sheath tumor. Postoperatively, whole-brain irradiation was performed. The primary tumor was identified in the area of the sciatic nerve on the right. Follow-up 14 months after resection showed that there was no progression of the intracerebral lesions but an increase in size and number of distant metastases.

CONCLUSION

There are no generally accepted guidelines for the treatment of malignant peripheral nerve sheath tumors with cerebral metastases. This case report presents and discusses one possible therapeutic approach. Due to the poor overall prognosis, the least invasive therapy should be chosen.

摘要

背景

恶性外周神经鞘瘤是一种罕见的肿瘤实体,起源于外周神经鞘,预后不良。转移至脑实质极为罕见。本病例报告描述了一名60岁男性的临床病程,其肿瘤因癫痫发作而就医。

病例介绍

磁共振成像显示两个脑内病变。有症状的病变通过显微神经外科手术切除,组织学检查显示为恶性外周神经鞘瘤转移。术后进行了全脑照射。原发肿瘤在右侧坐骨神经区域被发现。切除术后14个月的随访显示,脑内病变无进展,但远处转移灶的大小和数量增加。

结论

对于伴有脑转移的恶性外周神经鞘瘤,尚无普遍接受的治疗指南。本病例报告提出并讨论了一种可能的治疗方法。鉴于总体预后较差,应选择创伤最小的治疗方法。

https://cdn.ncbi.nlm.nih.gov/pmc/blobs/7a6c/1780055/26bde87321b9/1471-2377-7-2-1.jpg

文献AI研究员

20分钟写一篇综述,助力文献阅读效率提升50倍。

立即体验

用中文搜PubMed

大模型驱动的PubMed中文搜索引擎

马上搜索

文档翻译

学术文献翻译模型,支持多种主流文档格式。

立即体验