Leppä S, Mali M, Miettinen H M, Jalkanen M
Department of Medical Biochemistry, University of Turku, Finland.
Proc Natl Acad Sci U S A. 1992 Feb 1;89(3):932-6. doi: 10.1073/pnas.89.3.932.
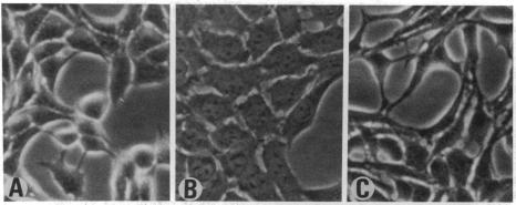
S115 mouse mammary epithelial cells lose their epithelial morphology and become tumorigenic when exposed to steroids. We have recently reported that testosterone exposure results in the suppression of syndecan expression, suggesting that this cell surface proteoglycan may influence S115 cell phenotype. We now report that a similar suppression and morphological response of S115 cells can be achieved by glucocorticoid exposure. We introduced into S115 cells an exogenous gene construct containing the full-length human syndecan cDNA under the control of a glucocorticoid-inducible retroviral promoter, in order to study the effect of syndecan expression on S115 cell behavior. Glucocorticoid-induced re-expression of syndecan in S115 cells restored an epithelial phenotype, while control transfectants and parental S115 cells exhibited an altered, nonepithelial phenotype. Moreover, the S115 cells expressing exogenous syndecan revealed a reduced ability to form colonies in soft agar. Therefore, the maintenance of epithelial morphology and normal growth of S115 cells are dependent on syndecan expression.