Suppr超能文献

Asceptic necrosis of bone in a dog.

作者信息

Doige C E, Crowe S, Farrow C S

出版信息

Can Vet J. 1986 Feb;27(2):70-3.

Abstract

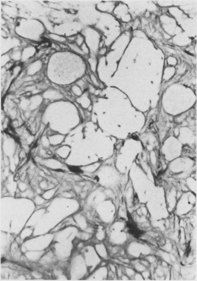
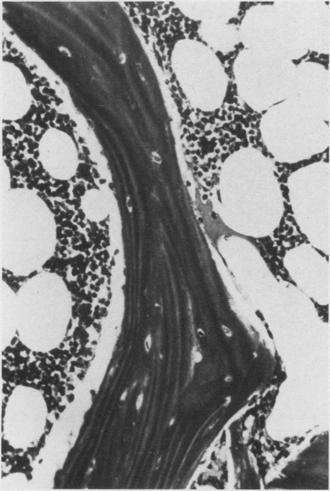
Necrosis of intramedullary bone and bone marrow elements is reported in the long bones of a dog. Radiographically lesions were evident as an irregular increase in intramedullary density. On gross postmortem examination necrotic tissue appeared as yellow-white deposits on the endosteal surface and in the medullary cavity. Microscopically, necrotic bone had empty lacunae and was often covered by basophilic, woven bone. The cause and pathogenesisof aseptic necrosis of bone are discussed.

摘要
https://cdn.ncbi.nlm.nih.gov/pmc/blobs/b6f9/1680192/7594200bce6f/canvetj00590-0018-a.jpg

文献AI研究员

20分钟写一篇综述,助力文献阅读效率提升50倍。

立即体验

用中文搜PubMed

大模型驱动的PubMed中文搜索引擎

马上搜索

文档翻译

学术文献翻译模型,支持多种主流文档格式。

立即体验