Suppr超能文献

Ruptured internal iliac artery aneurysm: staged emergency endovascular treatment in the interventional radiology suite.

作者信息

van Kelckhoven Bas-Jeroen, Bruijninckx Boy M A, Knippenberg Bob, van Overhagen Hans

机构信息

Department of Radiology, HagaZiekenhuis, Location Leyenburg, Leyweg 275, 2545 CH, Den Haag, The Netherlands.

出版信息

Cardiovasc Intervent Radiol. 2007 Jul-Aug;30(4):774-7. doi: 10.1007/s00270-007-9013-x.

Abstract

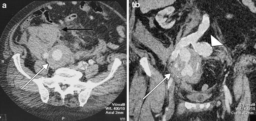
Ruptured aneurysms of the internal iliac artery (IIA) are rare and challenging to treat surgically. Due to their anatomic location they are difficult to operate on and perioperative morbidity is high. An endovascular approach can be helpful. We recently treated a patient with a ruptured IIA aneurysm in the interventional radiology suite with embolization of the side-branch of the IIA and placement of a covered stent in the ipsilateral common and external iliac arteries. A suitable stent-graft was not available initially and had to be brought in from elsewhere. An angioplasty balloon was temporarily placed across the ostium of the IIA to obtain hemostasis. Two hours later, the procedure was finished by placing the stent-graft.

摘要
https://cdn.ncbi.nlm.nih.gov/pmc/blobs/8cd9/1964782/c6de548bae0d/270_2007_9013_Fig1_HTML.jpg

文献AI研究员

20分钟写一篇综述,助力文献阅读效率提升50倍。

立即体验

用中文搜PubMed

大模型驱动的PubMed中文搜索引擎

马上搜索

文档翻译

学术文献翻译模型,支持多种主流文档格式。

立即体验