Mihailovich Marija, Thermann Rolf, Grohovaz Fabio, Hentze Matthias W, Zacchetti Daniele
San Raffaele Scientific Institute, via Olgettina 58, 20132 Milano, Italy.
Nucleic Acids Res. 2007;35(9):2975-85. doi: 10.1093/nar/gkm191. Epub 2007 Apr 16.
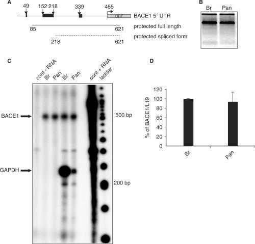
BACE1 is the protease responsible for the production of amyloid-beta peptides that accumulate in the brain of Alzheimer's disease (AD) patients. BACE1 expression is regulated at the transcriptional, as well as post-transcriptional level. Very high BACE1 mRNA levels have been observed in pancreas, but the protein and activity were found mainly in brain. An up-regulation of the protein has been described in some AD patients without a change in transcript levels. The features of BACE1 5' untranslated region (5' UTR), such as the length, GC content, evolutionary conservation and presence of upstream AUGs (uAUGs), indicate an important regulatory role of this 5' UTR in translational control. We demonstrate that, in brain and pancreas, almost all of the native BACE1 mRNA contains the full-length 5' UTR. RNA transfection and in vitro translation show that translation is mainly inhibited by the presence of the uAUGs. We provide a mutational analysis that highlight the second uAUG as the main inhibitory element while mutations of all four uAUGs fully de-repress translation. Furthermore, we have evidence that a sequence within the region 222-323 of the BACE1 5' UTR has a stimulatory effect on translation that might depend on the presence of trans-acting factors.
β-分泌酶1(BACE1)是一种蛋白酶,负责生成在阿尔茨海默病(AD)患者大脑中积累的β淀粉样肽。BACE1的表达在转录水平以及转录后水平均受到调控。在胰腺中观察到非常高的BACE1 mRNA水平,但蛋白质和活性主要在大脑中发现。在一些AD患者中已描述了该蛋白质的上调,而转录本水平没有变化。BACE1 5'非翻译区(5'UTR)的特征,如长度、GC含量、进化保守性以及上游AUG(uAUG)的存在,表明该5'UTR在翻译控制中具有重要的调节作用。我们证明,在大脑和胰腺中,几乎所有天然的BACE1 mRNA都包含全长5'UTR。RNA转染和体外翻译表明,翻译主要受到uAUG存在的抑制。我们提供了一项突变分析,突出显示第二个uAUG是主要的抑制元件,而所有四个uAUG的突变可完全解除对翻译的抑制。此外,我们有证据表明,BACE1 5'UTR区域222 - 323内的一个序列对翻译有刺激作用,这可能取决于反式作用因子的存在。