Chandramohan K, Agarwal Mudit, Gurjar Gopal, Gatti Rohan C, Patel Mahesh H, Trivedi Preeti, Kothari Kiran C
Department of Surgical Oncology, Gujarat Cancer and Research Centre, Ahmedabad, Gujarat, India.
World J Surg Oncol. 2007 May 12;5:50. doi: 10.1186/1477-7819-5-50.
Meckel's Diverticulum is the most commonly encountered congenital anomaly of the small intestine, occurring in approximately 2% of the population. Occasionally Meckel's diverticulum harbors neoplasms.
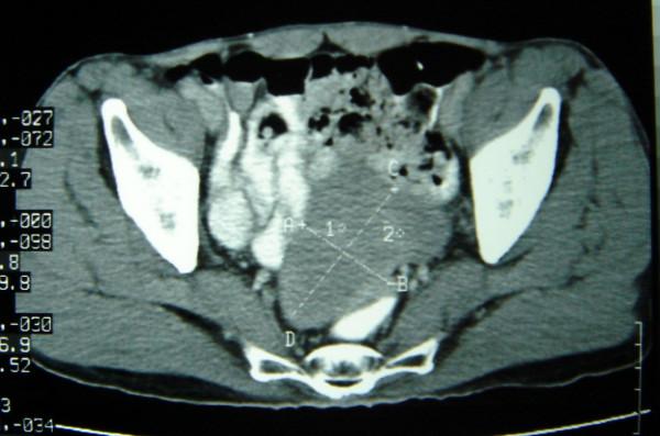
A 65 year old gentleman, presented with a pelvic mass. On exploratory laparotomy, it turned out to be gastrointestinal stromal tumour (GIST) arising from Meckel's diverticulum. Short history and review of literature are discussed.
Neoplasms occurring from Meckel's diverticulum, even though rare, should be considered as differential diagnosis of pelvic masses arising from bowel, wherever imaging modalities fail to give a definitive diagnosis.
梅克尔憩室是小肠最常见的先天性异常,发生率约为2%。梅克尔憩室偶尔会发生肿瘤。
一名65岁男性,因盆腔肿块就诊。剖腹探查发现是起源于梅克尔憩室的胃肠道间质瘤(GIST)。讨论了简短病史及文献复习情况。
尽管起源于梅克尔憩室的肿瘤罕见,但在影像学检查无法做出明确诊断时,应将其视为肠道来源盆腔肿块的鉴别诊断之一。